Skip to Content
Merck
CN

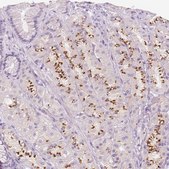
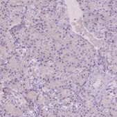
HPA008017

Anti-A4GNT antibody produced in rabbit

Prestige Antibodies® Powered by Atlas Antibodies, affinity isolated antibody, buffered aqueous glycerol solution

Synonym(s):

Anti-α-1,4-N-Acetylglucosaminyltransferase antibody produced in rabbit, Anti-α4GnT antibody produced in rabbit

Sign In to View Organizational & Contract Pricing.

Select a Size


About This Item

UNSPSC Code:
12352203
NACRES:
NA.41
Human Protein Atlas Number:
Conjugate:
unconjugated
Clone:
polyclonal
Application:
IHC
Citations:
3
Technical Service
Need help? Our team of experienced scientists is here for you.
Let Us Assist
Technical Service
Need help? Our team of experienced scientists is here for you.
Let Us Assist

biological source

rabbit

conjugate

unconjugated

antibody form

affinity isolated antibody

antibody product type

primary antibodies

clone

polyclonal

product line

Prestige Antibodies® Powered by Atlas Antibodies

form

buffered aqueous glycerol solution

species reactivity

human

enhanced validation

orthogonal RNAseq
Learn more about Antibody Enhanced Validation

technique(s)

immunohistochemistry: 1:1000- 1:2500

immunogen sequence

NFVEHYNSAIWGNQGPELMTRMLRVWCKLEDFQEVSDLRCLNISFLHPQRFYPISYREWRRYYEVWDTEPSFNVSYALHLWNHMNQEGRAVIRGSNTLVENLYRKHCPRTYRDLIKGPEGSVTGELG

UniProt accession no.

shipped in

wet ice

storage temp.

−20°C

target post-translational modification

unmodified

Quality Level

Gene Information

human ... A4GNT(51146)

Looking for similar products? Visit Product Comparison Guide

Immunogen

α-1,4-N-Acetylglucosaminyltransferase recombinant protein epitope signature tag (PrEST)

Application

All Prestige Antibodies Powered by Atlas Antibodies are developed and validated by the Human Protein Atlas (HPA) project and as a result, are supported by the most extensive characterization in the industry.

The Human Protein Atlas project can be subdivided into three efforts: Human Tissue Atlas, Cancer Atlas, and Human Cell Atlas. The antibodies that have been generated in support of the Tissue and Cancer Atlas projects have been tested by immunohistochemistry against hundreds of normal and disease tissues and through the recent efforts of the Human Cell Atlas project, many have been characterized by immunofluorescence to map the human proteome not only at the tissue level but now at the subcellular level. These images and the collection of this vast data set can be viewed on the Human Protein Atlas (HPA) site by clicking on the Image Gallery link. We also provide Prestige Antibodies® protocols and other useful information.

Biochem/physiol Actions

A4GNT (α-1,4-N-acetylglucosaminyltransferase) gene encodes a protein belonging to the glycosyltransferase 32 family. It catalyzes the transfer of GlcNAc from UDP-GlcNAc to β-Gal residues with α-1,4 linkage on core 2 branched O-glycans to form GlcNAcα1-->4Galβ-->R. It plays a crucial role in the synthesis of αGlcNAc in gland mucin and is essential for the synthesis of type III mucin. Genetic variation in A4GNT may have relevance to H. pylori infection.

Features and Benefits

Prestige Antibodies® are highly characterized and extensively validated antibodies with the added benefit of all available characterization data for each target being accessible via the Human Protein Atlas portal linked just below the product name at the top of this page. The uniqueness and low cross-reactivity of the Prestige Antibodies® to other proteins are due to a thorough selection of antigen regions, affinity purification, and stringent selection. Prestige antigen controls are available for every corresponding Prestige Antibody and can be found in the linkage section.

Every Prestige Antibody is tested in the following ways:
  • IHC tissue array of 44 normal human tissues and 20 of the most common cancer type tissues.
  • Protein array of 364 human recombinant protein fragments.

Physical form

Solution in phosphate-buffered saline, pH 7.2, containing 40% glycerol and 0.02% sodium azide

Other Notes

Corresponding Antigen APREST71840

Legal Information

Prestige Antibodies is a registered trademark of Merck KGaA, Darmstadt, Germany

Disclaimer

Unless otherwise stated in our catalog or other company documentation accompanying the product(s), our products are intended for research use only and are not to be used for any other purpose, which includes but is not limited to, unauthorized commercial uses, in vitro diagnostic uses, ex vivo or in vivo therapeutic uses or any type of consumption or application to humans or animals.

Not finding the right product?  

Try our Product Selector Tool.

Storage Class

10 - Combustible liquids

wgk

WGK 1

flash_point_f

Not applicable

flash_point_c

Not applicable

ppe

Eyeshields, Gloves, multi-purpose combination respirator cartridge (US)

Regulatory Information

新产品
This item has

Choose from one of the most recent versions:

Certificates of Analysis (COA)

Lot/Batch Number

Don't see the Right Version?

If you require a particular version, you can look up a specific certificate by the Lot or Batch number.

Already Own This Product?

Find documentation for the products that you have recently purchased in the Document Library.

Visit the Document Library

α-1, 4-N-Acetylglucosaminyltransferase (A4GNT).
Nakayama, J
Handbook of Glycosyltransferases and Related Genes?, 379-391 (2014)
Jessica Sinha et al.
PloS one, 11(12), e0167070-e0167070 (2016-12-20)
Molecular indicators to specify the risk posed by a pancreatic cyst would benefit patients. Previously we showed that most cancer-precursor cysts, termed mucinous cysts, produce abnormal glycoforms of the proteins MUC5AC and endorepellin. Here we sought to validate the glycoforms
Zongli Zheng et al.
Helicobacter, 14(5), 120-125 (2009-09-16)
Helicobacter pylori, a known risk factor of gastric cancer, rarely colonize the deeper portion of normal gastric glands, where the mucus is rich in alpha-1,4-linked N-acetylglucosamine capped O-glycans, that strongly inhibit H. pylori growth in vitro. We investigated the association

Our team of scientists has experience in all areas of research including Life Science, Material Science, Chemical Synthesis, Chromatography, Analytical and many others.

Contact Technical Service