Skip to Content
Merck
CN

HPA004796

Anti-TNFRSF1B antibody produced in rabbit

Prestige Antibodies® Powered by Atlas Antibodies, affinity isolated antibody, buffered aqueous glycerol solution

Synonym(s):

Anti-CD120b antigen antibody produced in rabbit, Anti-Etanercept antibody produced in rabbit, Anti-TNF-R2 antibody produced in rabbit, Anti-Tumor necrosis factor receptor 2 antibody produced in rabbit, Anti-Tumor necrosis factor receptor superfamily member 1B precursor antibody produced in rabbit, Anti-Tumor necrosis factor receptor type II antibody produced in rabbit, Anti-p75 antibody produced in rabbit, Anti-p80 TNF-α receptor antibody produced in rabbit

Sign In to View Organizational & Contract Pricing.

Select a Size


About This Item

UNSPSC Code:
12352203
Human Protein Atlas Number:
MDL number:
Conjugate:
unconjugated
Clone:
polyclonal
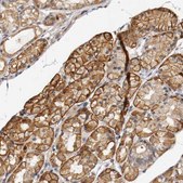
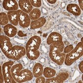
Application:
IHC
Citations:
3
Technical Service
Need help? Our team of experienced scientists is here for you.
Let Us Assist
Technical Service
Need help? Our team of experienced scientists is here for you.
Let Us Assist

biological source

rabbit

conjugate

unconjugated

antibody form

affinity isolated antibody

antibody product type

primary antibodies

clone

polyclonal

product line

Prestige Antibodies® Powered by Atlas Antibodies

form

buffered aqueous glycerol solution

species reactivity

human

technique(s)

immunohistochemistry: 1:50-1:200

immunogen sequence

HAKVFCTKTSDTVCDSCEDSTYTQLWNWVPECLSCGSRCSSDQVETQACTREQNRICTCRPGWYCALSKQEGCRLCAPLRKCRPGFGVARPGTETSDVVCKPCAPGTFSNTTSSTDICRPHQICNVV

UniProt accession no.

shipped in

wet ice

storage temp.

−20°C

target post-translational modification

unmodified

Gene Information

human ... TNFRSF1B(7133)

Looking for similar products? Visit Product Comparison Guide

General description

TNFRSF1B (tumor necrosis factor receptor superfamily, member 1B) is a member of tumor necrosis factor (TNF) receptor (TNFR) superfamily. It plays a vital role in the immune homeostasis by controlling cell death or apoptosis.

Immunogen

Tumor necrosis factor receptor superfamily member 1B precursor recombinant protein epitope signature tag (PrEST)

Application

All Prestige Antibodies Powered by Atlas Antibodies are developed and validated by the Human Protein Atlas (HPA) project and as a result, are supported by the most extensive characterization in the industry.

The Human Protein Atlas project can be subdivided into three efforts: Human Tissue Atlas, Cancer Atlas, and Human Cell Atlas. The antibodies that have been generated in support of the Tissue and Cancer Atlas projects have been tested by immunohistochemistry against hundreds of normal and disease tissues and through the recent efforts of the Human Cell Atlas project, many have been characterized by immunofluorescence to map the human proteome not only at the tissue level but now at the subcellular level. These images and the collection of this vast data set can be viewed on the Human Protein Atlas (HPA) site by clicking on the Image Gallery link. We also provide Prestige Antibodies® protocols and other useful information.

Biochem/physiol Actions

TNFRSF1B (tumor necrosis factor receptor superfamily, member 1B) facilitates TNF-induced programmed necrosis. The activated TNFR-2 recruits RIP (receptor-interacting protein). It cannot participate directly in the cell death signaling. But it enhances the cell death signaling for TNF-1 via TRAF2 (TNFR-associated factor-2) degradation. It facilitates TNF-induced programmed necrosis. It cannot participate directly in the cell death signaling. But it can enhance the cell death signaling for TNF-1 via TRAF2 (TNFR-associated factor-2) degradation.

Features and Benefits

Prestige Antibodies® are highly characterized and extensively validated antibodies with the added benefit of all available characterization data for each target being accessible via the Human Protein Atlas portal linked just below the product name at the top of this page. The uniqueness and low cross-reactivity of the Prestige Antibodies® to other proteins are due to a thorough selection of antigen regions, affinity purification, and stringent selection. Prestige antigen controls are available for every corresponding Prestige Antibody and can be found in the linkage section.

Every Prestige Antibody is tested in the following ways:
  • IHC tissue array of 44 normal human tissues and 20 of the most common cancer type tissues.
  • Protein array of 364 human recombinant protein fragments.

Physical form

Solution in phosphate-buffered saline, pH 7.2, containing 40% glycerol and 0.02% sodium azide

Other Notes

Corresponding Antigen APREST86776

Legal Information

Prestige Antibodies is a registered trademark of Merck KGaA, Darmstadt, Germany

Disclaimer

Unless otherwise stated in our catalog or other company documentation accompanying the product(s), our products are intended for research use only and are not to be used for any other purpose, which includes but is not limited to, unauthorized commercial uses, in vitro diagnostic uses, ex vivo or in vivo therapeutic uses or any type of consumption or application to humans or animals.

Not finding the right product?  

Try our Product Selector Tool.

Storage Class

10 - Combustible liquids

wgk

WGK 1

flash_point_f

Not applicable

flash_point_c

Not applicable

ppe

Eyeshields, Gloves, multi-purpose combination respirator cartridge (US)

Regulatory Information

低风险生物材料
常规特殊物品
This item has

Choose from one of the most recent versions:

Certificates of Analysis (COA)

Lot/Batch Number

Don't see the Right Version?

If you require a particular version, you can look up a specific certificate by the Lot or Batch number.

Already Own This Product?

Find documentation for the products that you have recently purchased in the Document Library.

Visit the Document Library

Francis Ka-Ming Chan et al.
The Journal of biological chemistry, 278(51), 51613-51621 (2003-10-09)
Members of the tumor necrosis factor (TNF) receptor (TNFR) superfamily are potent regulators of apoptosis, a process that is important for the maintenance of immune homeostasis. Recent evidence suggests that TNFR-1 and Fas and TRAIL receptors can also trigger an
Minna Christiansen Lund et al.
Biology, 12(6) (2023-06-28)
Clinical and animal model studies have implicated inflammation and glial and peripheral immune cell responses in the pathophysiology of spinal cord injury (SCI). A key player in the inflammatory response after SCI is the pleiotropic cytokine tumor necrosis factor (TNF)
Minna Christiansen Lund et al.
Biology, 11(6) (2022-06-25)
Spinal cord injury (SCI) initiates detrimental cellular and molecular events that lead to acute and delayed neuroinflammation. Understanding the role of the inflammatory response in SCI requires insight into the temporal and cellular synthesis of inflammatory mediators. We subjected C57BL/6J

Our team of scientists has experience in all areas of research including Life Science, Material Science, Chemical Synthesis, Chromatography, Analytical and many others.

Contact Technical Service