Skip to Content
Merck
CN

HPA003996

Anti-RAB13 antibody produced in rabbit

Prestige Antibodies® Powered by Atlas Antibodies, affinity isolated antibody, buffered aqueous glycerol solution

Synonym(s):

Anti-Cell growth-inhibiting gene 4 protein antibody produced in rabbit, Anti-Ras-related protein Rab-13 antibody produced in rabbit

Sign In to View Organizational & Contract Pricing.

Select a Size


About This Item

UNSPSC Code:
12352203
NACRES:
NA.43
Human Protein Atlas Number:
Conjugate:
unconjugated
Clone:
polyclonal
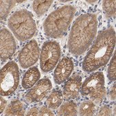
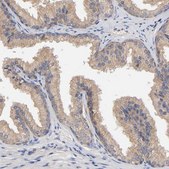
Application:
IF, IHC
Citations:
3
Technical Service
Need help? Our team of experienced scientists is here for you.
Let Us Assist
Technical Service
Need help? Our team of experienced scientists is here for you.
Let Us Assist

biological source

rabbit

conjugate

unconjugated

antibody form

affinity isolated antibody

antibody product type

primary antibodies

clone

polyclonal

product line

Prestige Antibodies® Powered by Atlas Antibodies

form

buffered aqueous glycerol solution

species reactivity

human

enhanced validation

RNAi knockdown
Learn more about Antibody Enhanced Validation

technique(s)

immunoblotting: 0.04-0.4 μg/mL, immunofluorescence: 0.25-2 μg/mL, immunohistochemistry: 1:50-1:200

immunogen sequence

AMGIILVYDITDEKSFENIQNWMKSIKENASAGVERLLLGNKCDMEAKRKVQKEQADKLAREHGIRFFETSAKSSMNVDEAFSSLARDILLKSGGRRSGNGNKPPSTDLKTCDKKNTNKCS

UniProt accession no.

shipped in

wet ice

storage temp.

−20°C

target post-translational modification

unmodified

Quality Level

Gene Information

human ... RAB13(5872)

Looking for similar products? Visit Product Comparison Guide

Immunogen

Ras-related protein Rab-13 recombinant protein epitope signature tag (PrEST)

Application

All Prestige Antibodies Powered by Atlas Antibodies are developed and validated by the Human Protein Atlas (HPA) project and as a result, are supported by the most extensive characterization in the industry.

The Human Protein Atlas project can be subdivided into three efforts: Human Tissue Atlas, Cancer Atlas, and Human Cell Atlas. The antibodies that have been generated in support of the Tissue and Cancer Atlas projects have been tested by immunohistochemistry against hundreds of normal and disease tissues and through the recent efforts of the Human Cell Atlas project, many have been characterized by immunofluorescence to map the human proteome not only at the tissue level but now at the subcellular level. These images and the collection of this vast data set can be viewed on the Human Protein Atlas (HPA) site by clicking on the Image Gallery link. We also provide Prestige Antibodies® protocols and other useful information.

Biochem/physiol Actions

Ras-related protein Rab-13 is a protein encoded by the RAB13 gene in humans. Its expression is highly up-regulated during differentiation of human peripheral blood monocytic cells into osteoclasts. The protein is localized to small vesicular structures at the superior parts of the osteoclast between the trans-Golgi network and basolateral membrane domain. It is not involved in endocytosis or transcytosis of bone degradation products. It is associated with a putative secretory function in osteoclasts. It interacts with CasL-like 2 (MICAL-L2) complexes in the regulation of epithelial apical junctions. The protein may regulate membrane trafficking between trans-Golgi network (TGN) and recycling endosomes (RE).

Features and Benefits

Prestige Antibodies® are highly characterized and extensively validated antibodies with the added benefit of all available characterization data for each target being accessible via the Human Protein Atlas portal linked just below the product name at the top of this page. The uniqueness and low cross-reactivity of the Prestige Antibodies® to other proteins are due to a thorough selection of antigen regions, affinity purification, and stringent selection. Prestige antigen controls are available for every corresponding Prestige Antibody and can be found in the linkage section.

Every Prestige Antibody is tested in the following ways:
  • IHC tissue array of 44 normal human tissues and 20 of the most common cancer type tissues.
  • Protein array of 364 human recombinant protein fragments.

Physical form

Solution in phosphate-buffered saline, pH 7.2, containing 40% glycerol and 0.02% sodium azide

Other Notes

Corresponding Antigen APREST86543

Legal Information

Prestige Antibodies is a registered trademark of Merck KGaA, Darmstadt, Germany

Disclaimer

Unless otherwise stated in our catalog or other company documentation accompanying the product(s), our products are intended for research use only and are not to be used for any other purpose, which includes but is not limited to, unauthorized commercial uses, in vitro diagnostic uses, ex vivo or in vivo therapeutic uses or any type of consumption or application to humans or animals.

Not finding the right product?  

Try our Product Selector Tool.

Storage Class

10 - Combustible liquids

wgk

WGK 1

flash_point_f

Not applicable

flash_point_c

Not applicable

ppe

Eyeshields, Gloves, multi-purpose combination respirator cartridge (US)

Regulatory Information

常规特殊物品
低风险生物材料
This item has

Choose from one of the most recent versions:

Certificates of Analysis (COA)

Lot/Batch Number

Don't see the Right Version?

If you require a particular version, you can look up a specific certificate by the Lot or Batch number.

Already Own This Product?

Find documentation for the products that you have recently purchased in the Document Library.

Visit the Document Library

Noriyuki Nishimura et al.
Frontiers in bioscience (Landmark edition), 14, 2115-2129 (2009-03-11)
Tight junctions (TJs) and adherens junctions (AJs) comprise epithelial apical junctions that adhere neighboring epithelial cells and determine tissue organization. They are highly dynamic structures that undergo continuous remodeling during physiological morphogenesis and under pathological conditions. The assembly and disassembly
Mirkka J Hirvonen et al.
The journal of histochemistry and cytochemistry : official journal of the Histochemistry Society, 60(7), 537-549 (2012-05-09)
Osteoclasts are bone-resorbing multinucleated cells that undergo drastic changes in their polarization due to heavy vesicular trafficking during the resorption cycle. These events require the precise orchestration of membrane traffic in order to maintain the unique characteristics of the different
Rita L Nokes et al.
The Journal of cell biology, 182(5), 845-853 (2008-09-10)
To maintain polarity, epithelial cells continuously sort transmembrane proteins to the apical or basolateral membrane domains during biosynthetic delivery or after internalization. During biosynthetic delivery, some cargo proteins move from the trans-Golgi network (TGN) into recycling endosomes (RE) before being

Our team of scientists has experience in all areas of research including Life Science, Material Science, Chemical Synthesis, Chromatography, Analytical and many others.

Contact Technical Service