Skip to Content
Merck
CN

HPA003903

Anti-VSIG4 antibody produced in rabbit

affinity isolated antibody, buffered aqueous glycerol solution

Synonym(s):

Anti-Protein Z39Ig, Anti-V-set and immunoglobulin domain-containing protein 4

Sign In to View Organizational & Contract Pricing.

Select a Size


About This Item

UNSPSC Code:
12352203
NACRES:
NA.43
Human Protein Atlas Number:
Technique(s):
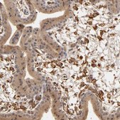
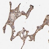
immunohistochemistry: 1:200-1:500
Uniprot accession no.:
Application:
IHC
Citations:
7
Technical Service
Need help? Our team of experienced scientists is here for you.
Let Us Assist
Technical Service
Need help? Our team of experienced scientists is here for you.
Let Us Assist

technique(s)

immunohistochemistry: 1:200-1:500

immunogen sequence

PPISYIWYKQQTNNQEPIKVATLSTLLFKPAVIADSGSYFCTAKGQVGSEQHSDIVKFVVKDSSKLLKTKTEAPTTMTYPLKATSTVKQSWDWTTDMDGYL

UniProt accession no.

shipped in

wet ice

storage temp.

−20°C

target post-translational modification

unmodified

enhanced validation

orthogonal RNAseq
Learn more about Antibody Enhanced Validation

biological source

rabbit

conjugate

unconjugated

antibody form

affinity isolated antibody

antibody product type

primary antibodies

clone

polyclonal

form

buffered aqueous glycerol solution

species reactivity

human

Quality Level

Gene Information

human ... VSIG4(11326)

Looking for similar products? Visit Product Comparison Guide

Immunogen

V-set and immunoglobulin domain-containing protein 4 Precursor recombinant protein epitope signature tag (PrEST)

Application

All Prestige Antibodies Powered by Atlas Antibodies are developed and validated by the Human Protein Atlas (HPA) project and as a result, are supported by the most extensive characterization in the industry.

The Human Protein Atlas project can be subdivided into three efforts: Human Tissue Atlas, Cancer Atlas, and Human Cell Atlas. The antibodies that have been generated in support of the Tissue and Cancer Atlas projects have been tested by immunohistochemistry against hundreds of normal and disease tissues and through the recent efforts of the Human Cell Atlas project, many have been characterized by immunofluorescence to map the human proteome not only at the tissue level but now at the subcellular level. These images and the collection of this vast data set can be viewed on the Human Protein Atlas (HPA) site by clicking on the Image Gallery link. We also provide Prestige Antibodies® protocols and other useful information.

Biochem/physiol Actions

V-set and immunoglobulin domain containing 4 (VSIG4) is a new inhibitor of the B7 superfamily. It is referred to as CRIg and Z39IG. It is implicated in the clearance of systemic pathogens and autologous cells. It is exclusively expressed on tissue resident macrophages and binds to multimers of C3b and iC3b that are covalently attached to particle surfaces. Its extracellular domain inhibits complement activation through the alternative pathways and function as an important clearance receptor. It also acts as a potential diagnostic marker of severe preeclampsia.

Features and Benefits

Prestige Antibodies® are highly characterized and extensively validated antibodies with the added benefit of all available characterization data for each target being accessible via the Human Protein Atlas portal linked just below the product name at the top of this page. The uniqueness and low cross-reactivity of the Prestige Antibodies® to other proteins are due to a thorough selection of antigen regions, affinity purification, and stringent selection. Prestige antigen controls are available for every corresponding Prestige Antibody and can be found in the linkage section.

Every Prestige Antibody is tested in the following ways:
  • IHC tissue array of 44 normal human tissues and 20 of the most common cancer type tissues.
  • Protein array of 364 human recombinant protein fragments.

Physical form

Solution in phosphate-buffered saline, pH 7.2, containing 40% glycerol and 0.02% sodium azide

Other Notes

Corresponding Antigen APREST74396

Legal Information

Prestige Antibodies is a registered trademark of Merck KGaA, Darmstadt, Germany

Disclaimer

Unless otherwise stated in our catalog or other company documentation accompanying the product(s), our products are intended for research use only and are not to be used for any other purpose, which includes but is not limited to, unauthorized commercial uses, in vitro diagnostic uses, ex vivo or in vivo therapeutic uses or any type of consumption or application to humans or animals.

Not finding the right product?  

Try our Product Selector Tool.

Storage Class

10 - Combustible liquids

wgk

WGK 1

flash_point_f

Not applicable

flash_point_c

Not applicable

Regulatory Information

低风险生物材料
常规特殊物品
常规特殊物品
This item has

Choose from one of the most recent versions:

Certificates of Analysis (COA)

Lot/Batch Number

Don't see the Right Version?

If you require a particular version, you can look up a specific certificate by the Lot or Batch number.

Already Own This Product?

Find documentation for the products that you have recently purchased in the Document Library.

Visit the Document Library

Yik Yan Chong et al.
Scientific reports, 14(1), 17522-17522 (2024-07-31)
Peritoneal metastasis (PM), the regional progression of intra-abdominal malignancies, is a common sequelae of colorectal cancer (CRC). Immunotherapy is slated to be effective in generating long-lasting anti-tumour response as it utilizes the specificity and memory of the immune system. In
Jin Roh et al.
Oncotarget, 8(35), 58122-58132 (2017-09-25)
Multiple myeloma (MM) remains as an incurable disease, despite recent substantial improvements in treatment. Therefore, development of novel biomarkers for risk stratification and new therapeutic targets are imperative. One of the emerging treatments for MM is the immune checkpoint blockades.
So-Woon Kim et al.
Gastric cancer : official journal of the International Gastric Cancer Association and the Japanese Gastric Cancer Association, 24(2), 327-340 (2020-09-15)
Recent clinical studies on immune checkpoint (IC) inhibitors in the context of advanced gastric cancer (AGC) have failed to show significant survival benefits but have suggested the possible role of IC inhibitors in anti-AGC immunity. Considering the low efficacy of
Julien Textoris et al.
PloS one, 8(12), e82638-e82638 (2013-12-19)
Preeclampsia is a placental disease characterized by hypertension and proteinuria in pregnant women, and it is associated with a high maternal and neonatal morbidity. However, circulating biomarkers that are able to predict the prognosis of preeclampsia are lacking. Thirty-eight women
Shuxiong Xu et al.
Immunology letters, 128(1), 46-50 (2009-11-17)
VSIG4 has been recently described as a B7 family-related protein. The immunotherapeutic potential of dendritic cells (DCs) transfected with VSIG4 recombinant adenovirus has not been characterized. In the present study, DCs were transfected with human VSIG4 (hVSIG4) recombinant adenovirus, a

Our team of scientists has experience in all areas of research including Life Science, Material Science, Chemical Synthesis, Chromatography, Analytical and many others.

Contact Technical Service