Skip to Content
Merck
CN

HPA003596

Anti-AGTR1 antibody produced in rabbit

Prestige Antibodies® Powered by Atlas Antibodies, affinity isolated antibody, buffered aqueous glycerol solution

Synonym(s):

Anti-AT1, Anti-AT1AR, Anti-AT1BR, Anti-Type-1 angiotensin II receptor

Sign In to View Organizational & Contract Pricing.

Select a Size


About This Item

UNSPSC Code:
12352203
Human Protein Atlas Number:
Conjugate:
unconjugated
Clone:
polyclonal
Application:
IHC
Citations:
6
Technical Service
Need help? Our team of experienced scientists is here for you.
Let Us Assist
Technical Service
Need help? Our team of experienced scientists is here for you.
Let Us Assist

biological source

rabbit

conjugate

unconjugated

antibody form

affinity isolated antibody

antibody product type

primary antibodies

clone

polyclonal

product line

Prestige Antibodies® Powered by Atlas Antibodies

form

buffered aqueous glycerol solution

species reactivity

human

technique(s)

immunohistochemistry: 1:50- 1:200

immunogen sequence

LQLLKYIPPKAKSHSNLSTKMSTLSYRPSDNVSSSTKKP

UniProt accession no.

shipped in

wet ice

storage temp.

−20°C

target post-translational modification

unmodified

Quality Level

Gene Information

human ... AGTR1(185)

Looking for similar products? Visit Product Comparison Guide

General description

AGTR1 (angiotensin II receptor, type 1) is a receptor for the peptide hormone called angiotensin II. This gene is localized to human chromosome 3q, and is composed of five exons.

Immunogen

Type-1 angiotensin II receptor recombinant protein epitope signature tag (PrEST)

Application

Applications in which this antibody has been used successfully, and the associated peer-reviewed papers, are given below.
Immunohistochemistry (1 paper)
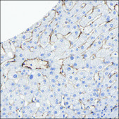
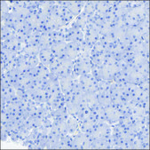
Anti-AGTR1 antibody produced in rabbit, a Prestige Antibody, is developed and validated by the Human Protein Atlas (HPA) project . Each antibody is tested by immunohistochemistry against hundreds of normal and disease tissues. These images can be viewed on the Human Protein Atlas (HPA) site by clicking on the Image Gallery link. The antibodies are also tested using immunofluorescence and western blotting. To view these protocols and other useful information about Prestige Antibodies and the HPA, visit sigma.com/prestige.

Biochem/physiol Actions

Angiotensin II receptor, type 1 (AGTR1) possesses potential anti-fibrotic activity. Its expression is found to reduce TGF-β1 expression and epithelial-to-mesenchymal transition-like change, while tumor proliferation and stromal fibrosis are seen to be impaired. AGTR1 pathway is activated by angiotensin II (Ang II) further activating IKKα/β and NF-κB, resulting in enhanced expression of MMP-2,-9 and migration in human breast cancer cells. Targeting this signaling could be a novel anti-metastatic therapy for breast cancer. Polymorphism in this gene can be considered as an additional factor determining efficacy of antihypertensive treatment (AHT).

Features and Benefits

Prestige Antibodies® are highly characterized and extensively validated antibodies with the added benefit of all available characterization data for each target being accessible via the Human Protein Atlas portal linked just below the product name at the top of this page. The uniqueness and low cross-reactivity of the Prestige Antibodies® to other proteins are due to a thorough selection of antigen regions, affinity purification, and stringent selection. Prestige antigen controls are available for every corresponding Prestige Antibody and can be found in the linkage section.

Every Prestige Antibody is tested in the following ways:
  • IHC tissue array of 44 normal human tissues and 20 of the most common cancer type tissues.
  • Protein array of 364 human recombinant protein fragments.

Physical form

Solution in phosphate-buffered saline, pH 7.2, containing 40% glycerol and 0.02% sodium azide

Other Notes

Corresponding Antigen APREST85202.

Legal Information

Prestige Antibodies is a registered trademark of Merck KGaA, Darmstadt, Germany

Disclaimer

Unless otherwise stated in our catalog or other company documentation accompanying the product(s), our products are intended for research use only and are not to be used for any other purpose, which includes but is not limited to, unauthorized commercial uses, in vitro diagnostic uses, ex vivo or in vivo therapeutic uses or any type of consumption or application to humans or animals.

Not finding the right product?  

Try our Product Selector Tool.

Storage Class

12 - Non Combustible Liquids

wgk

WGK 1

flash_point_f

Not applicable

flash_point_c

Not applicable

ppe

Eyeshields, Gloves, multi-purpose combination respirator cartridge (US)

Regulatory Information

新产品
This item has

Choose from one of the most recent versions:

Certificates of Analysis (COA)

Lot/Batch Number

Don't see the Right Version?

If you require a particular version, you can look up a specific certificate by the Lot or Batch number.

Already Own This Product?

Find documentation for the products that you have recently purchased in the Document Library.

Visit the Document Library

S E Lozinskiĭ
Kardiologiia, 53(11), 49-54 (2013-01-01)
to elucidate the prognostic role of angiotensin receptor (ATR1) gene polymorphism relative to progression of the disease and effectiveness of antihypertensive therapy. We included in this study 132 consecutive patients (48 women [36.4%, mean age 51.6 years] and 84 men
Sudhir Chandra et al.
PloS one, 9(7), e101502-e101502 (2014-07-06)
Hypertension is one of the major cardiovascular diseases. It affects nearly 1.56 billion people worldwide. The present study is about a particular genetic polymorphism (A1166C), gene expression and protein expression of the angiotensin II type I receptor (AT1R) (SNP ID:
Joseph L Unthank et al.
Physiological reports, 1(2), e0005-e0005 (2013-12-05)
Analysis of global gene expression in mesenteric control and collateral arteries was used to investigate potential molecules, pathways, and mechanisms responsible for impaired collateral growth in the Spontaneously Hypertensive Rat (SHR). A fundamental difference was observed in overall gene expression
Yanbin Zhao et al.
Journal of cellular physiology, 229(11), 1855-1862 (2014-04-03)
Angiotensin II (Ang II), a biologically active peptide of the renin-angiotensin system (RAS), plays an important role in promoting cell migration via Angiotensin II type 1 receptor (AT1R). In this study, we examined the mechanisms by which Ang II affected
Shuhei Murase et al.
Nature biomedical engineering, 7(11), 1350-1373 (2023-07-07)
The mechanisms by which physical exercise benefits brain functions are not fully understood. Here, we show that vertically oscillating head motions mimicking mechanical accelerations experienced during fast walking, light jogging or treadmill running at a moderate velocity reduce the blood

Our team of scientists has experience in all areas of research including Life Science, Material Science, Chemical Synthesis, Chromatography, Analytical and many others.

Contact Technical Service