Skip to Content
Merck
CN

HPA003479

Anti-ELF3 antibody produced in rabbit

Ab2, Prestige Antibodies® Powered by Atlas Antibodies, affinity isolated antibody, buffered aqueous glycerol solution

Synonym(s):

Anti-E74-like factor 3 antibody produced in rabbit, Anti-ets domain transcription factor, epithelial-specific antibody produced in rabbit

Sign In to View Organizational & Contract Pricing.

Select a Size


About This Item

UNSPSC Code:
12352203
NACRES:
NA.43
Human Protein Atlas Number:
Conjugate:
unconjugated
Clone:
polyclonal
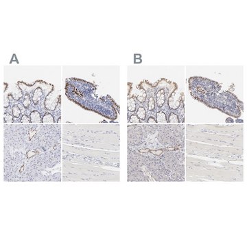
Application:
IHC
Citations:
9
Technical Service
Need help? Our team of experienced scientists is here for you.
Let Us Assist
Technical Service
Need help? Our team of experienced scientists is here for you.
Let Us Assist

biological source

rabbit

conjugate

unconjugated

antibody form

affinity isolated antibody

antibody product type

primary antibodies

clone

polyclonal

product line

Prestige Antibodies® Powered by Atlas Antibodies

form

buffered aqueous glycerol solution

species reactivity

human

enhanced validation

orthogonal RNAseq
recombinant expression
independent
Learn more about Antibody Enhanced Validation

technique(s)

immunoblotting: 0.04-0.4 μg/mL, immunohistochemistry: 1:200-1:500

immunogen sequence

ATCEISNIFSNYFSAMYSSEDSTLASVPPAATFGADDLVLTLSNPQMSLEGTEKASWLGEQPQFWSKTQVLDWISYQVEKNKYDASAIDFSRCDMDGATLCNCALEELRLVFGPLGDQLHAQLRDLTSSSSDELSWIIELLEKDGMA

UniProt accession no.

shipped in

wet ice

storage temp.

−20°C

target post-translational modification

unmodified

Quality Level

Gene Information

human ... ELF3(1999)

Looking for similar products? Visit Product Comparison Guide

General description

ELF3 (E74-like factor 3) is also known as ERT, ESX, EPR-1 and ESE-1. It is an epithelially restricted member of the ETS transcription factor family, which is involved in a wide range of normal cellular processes. It is expressed in several cancers, including breast cancer. The gene consists of a DNA binding domain (ETS domain), which influences Elf3 binding to DNA and the transactivation domain (that behaves as an autoinhibitory domain). The N- and C-terminal sides of the ETS domain of Elf3 are crucial for its binding to DNA.

Immunogen

E74-like factor 3 recombinant protein epitope signature tag (PrEST)

Application

All Prestige Antibodies Powered by Atlas Antibodies are developed and validated by the Human Protein Atlas (HPA) project and as a result, are supported by the most extensive characterization in the industry.

The Human Protein Atlas project can be subdivided into three efforts: Human Tissue Atlas, Cancer Atlas, and Human Cell Atlas. The antibodies that have been generated in support of the Tissue and Cancer Atlas projects have been tested by immunohistochemistry against hundreds of normal and disease tissues and through the recent efforts of the Human Cell Atlas project, many have been characterized by immunofluorescence to map the human proteome not only at the tissue level but now at the subcellular level. These images and the collection of this vast data set can be viewed on the Human Protein Atlas (HPA) site by clicking on the Image Gallery link. We also provide Prestige Antibodies® protocols and other useful information.

Biochem/physiol Actions

The gene ELF3 (E74-like factor 3) acts as a pivotal driver for β-catenin signaling in colorectal cancer (CRC) and act as a gene marker for Lymph node (LN) metastases of CRC.

Features and Benefits

Prestige Antibodies® are highly characterized and extensively validated antibodies with the added benefit of all available characterization data for each target being accessible via the Human Protein Atlas portal linked just below the product name at the top of this page. The uniqueness and low cross-reactivity of the Prestige Antibodies® to other proteins are due to a thorough selection of antigen regions, affinity purification, and stringent selection. Prestige antigen controls are available for every corresponding Prestige Antibody and can be found in the linkage section.

Every Prestige Antibody is tested in the following ways:
  • IHC tissue array of 44 normal human tissues and 20 of the most common cancer type tissues.
  • Protein array of 364 human recombinant protein fragments.

Physical form

Solution in phosphate-buffered saline, pH 7.2, containing 40% glycerol and 0.02% sodium azide

Other Notes

Corresponding Antigen APREST84789

Legal Information

Prestige Antibodies is a registered trademark of Merck KGaA, Darmstadt, Germany

Disclaimer

Unless otherwise stated in our catalog or other company documentation accompanying the product(s), our products are intended for research use only and are not to be used for any other purpose, which includes but is not limited to, unauthorized commercial uses, in vitro diagnostic uses, ex vivo or in vivo therapeutic uses or any type of consumption or application to humans or animals.

Not finding the right product?  

Try our Product Selector Tool.

Storage Class

10 - Combustible liquids

wgk

WGK 1

flash_point_f

Not applicable

flash_point_c

Not applicable

ppe

Eyeshields, Gloves, multi-purpose combination respirator cartridge (US)

Regulatory Information

常规特殊物品
低风险生物材料
This item has

Choose from one of the most recent versions:

Certificates of Analysis (COA)

Lot/Batch Number

Don't see the Right Version?

If you require a particular version, you can look up a specific certificate by the Lot or Batch number.

Already Own This Product?

Find documentation for the products that you have recently purchased in the Document Library.

Visit the Document Library

Single cell transcriptomic analysis of HPV16-infected epithelium identifies a keratinocyte subpopulation implicated in cancer.
Bedard, et al.
Nature Communications, 14, 1975-1975 (2023)
D Liu et al.
Cancer biology & therapy, 20(1), 90-100 (2018-08-28)
Background: Epithelial-to-mesenchymal transition (EMT) is a key step in the transformation of epithelial cells into migratory and invasive tumour cells. Intricate positive and negative regulatory processes regulate EMT. Many oncogenic signalling pathways can induce EMT, but the specific mechanisms of
Janel L Kopp et al.
The Journal of biological chemistry, 282(5), 3027-3041 (2006-12-07)
Elf3 is an epithelially restricted member of the ETS transcription factor family, which is involved in a wide range of normal cellular processes. Elf3 is also aberrantly expressed in several cancers, including breast cancer. To better understand the molecular mechanisms
Chiaki Nakarai et al.
Anticancer research, 32(9), 3753-3758 (2012-09-21)
Lymph node (LN) evaluation is an important factor for the prognosis of colorectal cancer (CRC). The purpose of our study was to investigate the effectiveness of E74-like factor 3 (ELF3) and carcinoembryonic antigen (CEA) as useful markers to detect LN
J-L Wang et al.
Cell death & disease, 5, e1263-e1263 (2014-05-31)
Aberrant regulation of the Wnt/β-catenin pathway plays important roles in colorectal carcinogenesis, with over 90% of cases of sporadic colon cancer featuring β-catenin accumulation. While ubiquitination-mediated degradation is widely accepted as a major route for β-catenin protein turnover, little is

Related Content

Prestige Antibodies Immunofluorescence Procedure

Our team of scientists has experience in all areas of research including Life Science, Material Science, Chemical Synthesis, Chromatography, Analytical and many others.

Contact Technical Service