Skip to Content
Merck
CN

HPA003468

Anti-NKX2-2 antibody produced in rabbit

Prestige Antibodies® Powered by Atlas Antibodies, affinity isolated antibody, buffered aqueous glycerol solution

Synonym(s):

Anti-Homeobox protein NK-2 homolog B antibody produced in rabbit, Anti-Homeobox protein Nkx-2.2 antibody produced in rabbit

Sign In to View Organizational & Contract Pricing.

Select a Size


About This Item

UNSPSC Code:
12352203
Human Protein Atlas Number:
NACRES:
NA.41
MDL number:
Conjugate:
unconjugated
Clone:
polyclonal
Application:
IHC
Citations:
8
Technical Service
Need help? Our team of experienced scientists is here for you.
Let Us Assist
Technical Service
Need help? Our team of experienced scientists is here for you.
Let Us Assist

biological source

rabbit

conjugate

unconjugated

antibody form

affinity isolated antibody

antibody product type

primary antibodies

clone

polyclonal

product line

Prestige Antibodies® Powered by Atlas Antibodies

form

buffered aqueous glycerol solution

species reactivity

human

enhanced validation

recombinant expression
Learn more about Antibody Enhanced Validation

technique(s)

immunoblotting: 0.04-0.4 μg/mL, immunohistochemistry: 1:50-1:200

immunogen sequence

SLTNTKTGFSVKDILDLPDTNDEEGSVAEGPEEENEGPEPAKRAGPLGQGALDAVQSLPLKNPFYDSSDNPYTRWLASTEGLQYSLHGLAAGAPPQDSSSKSPEPSADESPDNDKETP

UniProt accession no.

shipped in

wet ice

storage temp.

−20°C

target post-translational modification

unmodified

Quality Level

Gene Information

human ... NKX2-2(4821)

Immunogen

Homeobox protein Nkx-2.2 recombinant protein epitope signature tag (PrEST)

Application

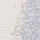
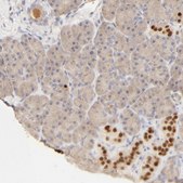
These images and the collection of this vast data set can be viewed on the Human Protein Atlas (HPA) site by clicking on the Image Gallery link. We also provide Prestige Antibodies® protocols and other useful information.
Anti-NKX2-2 antibody produced in rabbit, a Prestige Antibody, is developed and validated by the Human Protein Atlas (HPA) project . Each antibody is tested by immunohistochemistry against hundreds of normal and disease tissues. These images can be viewed on the Human Protein Atlas (HPA) site by clicking on the Image Gallery link. The antibodies are also tested using immunofluorescence and western blotting. To view these protocols and other useful information about Prestige Antibodies and the HPA, visit sigma.com/prestige.
Applications in which this antibody has been used successfully, and the associated peer-reviewed papers, are given below.
Chromatin immunoprecipitation (1 paper)

Biochem/physiol Actions

Homeobox protein Nkx-2.2 is a protein encoded by the NKX2-2 gene in humans. It is a homeodomain-containing transcription factor that plays a critical role in neuroendocrine/glial differentiation. It belongs to a family of genes whose homeodomains are homologous to that of the Drosophila NK-2 gene and may be involved in specifying diencephalic neuromeric boundaries. It serves as an important regulator of growth and development in the ventral forebrain, heart, lung, and thyroid. Its expression has also been detected in the pancreas, where it is vital for the final differentiation of β-cells.

Features and Benefits

Prestige Antibodies® are highly characterized and extensively validated antibodies with the added benefit of all available characterization data for each target being accessible via the Human Protein Atlas portal linked just below the product name at the top of this page. The uniqueness and low cross-reactivity of the Prestige Antibodies® to other proteins are due to a thorough selection of antigen regions, affinity purification, and stringent selection. Prestige antigen controls are available for every corresponding Prestige Antibody and can be found in the linkage section.

Every Prestige Antibody is tested in the following ways:
  • IHC tissue array of 44 normal human tissues and 20 of the most common cancer type tissues.
  • Protein array of 364 human recombinant protein fragments.

Physical form

Solution in phosphate-buffered saline, pH 7.2, containing 40% glycerol and 0.02% sodium azide

Other Notes

Corresponding Antigen APREST84761

Legal Information

Prestige Antibodies is a registered trademark of Merck KGaA, Darmstadt, Germany

Disclaimer

Unless otherwise stated in our catalog or other company documentation accompanying the product(s), our products are intended for research use only and are not to be used for any other purpose, which includes but is not limited to, unauthorized commercial uses, in vitro diagnostic uses, ex vivo or in vivo therapeutic uses or any type of consumption or application to humans or animals.

Not finding the right product?  

Try our Product Selector Tool.

Storage Class

10 - Combustible liquids

wgk

WGK 1

flash_point_f

Not applicable

flash_point_c

Not applicable

ppe

Eyeshields, Gloves, multi-purpose combination respirator cartridge (US)

Regulatory Information

常规特殊物品
低风险生物材料
This item has

Choose from one of the most recent versions:

Certificates of Analysis (COA)

Lot/Batch Number

Don't see the Right Version?

If you require a particular version, you can look up a specific certificate by the Lot or Batch number.

Already Own This Product?

Find documentation for the products that you have recently purchased in the Document Library.

Visit the Document Library

Malcolm H Lawson et al.
Cancer research, 71(14), 4877-4887 (2011-06-07)
Patient survival in small cell lung cancer (SCLC) is limited by acquired chemoresistance. Here we report the use of a biologically relevant model to identify novel candidate genes mediating in vivo acquired resistance to etoposide. Candidate genes derived from a
Angela J Churchill et al.
eLife, 6 (2017-01-11)
Many pancreatic transcription factors that are essential for islet cell differentiation have been well characterized; however, because they are often expressed in several different cell populations, their functional hierarchy remains unclear. To parse out the spatiotemporal regulation of islet cell
M Price et al.
Neuron, 8(2), 241-255 (1992-02-01)
A novel mouse homeobox-containing gene, Nkx-2.2, has been isolated. Nkx-2.2 is a member of a family of genes whose homeodomains are homologous to that of the Drosophila NK-2 gene. Nkx-2.2 transcripts are found in localized domains of the brain during
Jason M Spaeth et al.
Diabetes, 68(9), 1806-1818 (2019-06-16)
Transcription factors positively and/or negatively impact gene expression by recruiting coregulatory factors, which interact through protein-protein binding. Here we demonstrate that mouse pancreas size and islet β-cell function are controlled by the ATP-dependent Swi/Snf chromatin remodeling coregulatory complex that physically
B Hessabi et al.
Biochemical and biophysical research communications, 270(3), 695-700 (2000-04-25)
NK-2 family members of homeodomain proteins have been identified as important regulators of growth and development in the ventral forebrain, heart, lung, and thyroid. In addition, Nk2.2 expression has been detected in the pancreas, where it is vital for the

Related Content

Prestige Antibodies Immunofluorescence Procedure

Our team of scientists has experience in all areas of research including Life Science, Material Science, Chemical Synthesis, Chromatography, Analytical and many others.

Contact Technical Service