Skip to Content
Merck
CN

HPA002279

Anti-PLVAP antibody produced in rabbit

Prestige Antibodies® Powered by Atlas Antibodies, affinity isolated antibody, buffered aqueous glycerol solution

Synonym(s):

PLVAP Antibody - Anti-PLVAP antibody produced in rabbit, Plvap Antibody, Anti-Fenestrated endothelial-linked structure protein antibody produced in rabbit, Anti-PV-1 antibody produced in rabbit, Anti-Plasmalemma vesicle protein 1 antibody produced in rabbit, Anti-Plasmalemma vesicle-associated protein antibody produced in rabbit

Sign In to View Organizational & Contract Pricing.

Select a Size


About This Item

UNSPSC Code:
12352203
NACRES:
NA.41
Human Protein Atlas Number:
Conjugate:
unconjugated
Clone:
polyclonal
Application:
IHC
Citations:
9
Technical Service
Need help? Our team of experienced scientists is here for you.
Let Us Assist
Technical Service
Need help? Our team of experienced scientists is here for you.
Let Us Assist

biological source

rabbit

conjugate

unconjugated

antibody form

affinity isolated antibody

antibody product type

primary antibodies

clone

polyclonal

product line

Prestige Antibodies® Powered by Atlas Antibodies

form

buffered aqueous glycerol solution

species reactivity

human

enhanced validation

orthogonal RNAseq
Learn more about Antibody Enhanced Validation

technique(s)

immunohistochemistry: 1:500-1:1000

immunogen sequence

KEQLQKVQALCLPLDKDKFEMDLRNLWRDSIIPRSLDNLGYNLYHPLGSELASIRRACDHMPSLMSSKVEELARSLRADIERVARENSDLQRQKLEAQQGLRASQEAKQKVEKEAQAREAKLQAECSR

UniProt accession no.

shipped in

wet ice

storage temp.

−20°C

target post-translational modification

unmodified

Quality Level

Gene Information

human ... PLVAP(83483)

General description

Plasmalemma vesicle associated protein (PLVAP) is a rod-like type II membrane amino-glycosylated glycoprotein with molecular mass of 60kDa. It consists of a short intracellular tail and a long extracellular domain. There are four glycosylation sites, a proline-rich region and two large coiled-coil domains. In culture and in situ state it exists as homodimers.
The PLVAP gene is mapped to human chromosome 19p13.11.

Immunogen

Plasmalemma vesicle-associated protein recombinant protein epitope signature tag (PrEST)

Application

All Prestige Antibodies Powered by Atlas Antibodies are developed and validated by the Human Protein Atlas (HPA) project and as a result, are supported by the most extensive characterization in the industry.

The Human Protein Atlas project can be subdivided into three efforts: Human Tissue Atlas, Cancer Atlas, and Human Cell Atlas. The antibodies that have been generated in support of the Tissue and Cancer Atlas projects have been tested by immunohistochemistry against hundreds of normal and disease tissues and through the recent efforts of the Human Cell Atlas project, many have been characterized by immunofluorescence to map the human proteome not only at the tissue level but now at the subcellular level. These images and the collection of this vast data set can be viewed on the Human Protein Atlas (HPA) site by clicking on the Image Gallery link. We also provide Prestige Antibodies® protocols and other useful information.
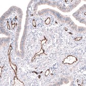
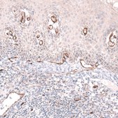
Anti-PLVAP antibody produced in rabbit has been used in immunohistochemistry.

Biochem/physiol Actions

PLVAP (plasmalemma vesicle associated protein) is an endothelial-specific integral membrane glycoprotein involved in the biogenesis and regulation of stomatal diaphragms of caveolae, transendothelial channels (TECs), vesiculovacuolar organelles (VVOs) and diaphragms of endothelial fenestrae. It is an endothelium-specific protein. It forms the viatl radial fibrils, a key structural component, for the stomatal diaphragm (SD) and fenestral diaphragm (FD). Studies have suggested that PLVAP dimers form fibrils of the diaphragms with microvascular permeability.

Features and Benefits

Prestige Antibodies® are highly characterized and extensively validated antibodies with the added benefit of all available characterization data for each target being accessible via the Human Protein Atlas portal linked just below the product name at the top of this page. The uniqueness and low cross-reactivity of the Prestige Antibodies® to other proteins are due to a thorough selection of antigen regions, affinity purification, and stringent selection. Prestige antigen controls are available for every corresponding Prestige Antibody and can be found in the linkage section.

Every Prestige Antibody is tested in the following ways:
  • IHC tissue array of 44 normal human tissues and 20 of the most common cancer type tissues.
  • Protein array of 364 human recombinant protein fragments.

Physical form

Solution in phosphate-buffered saline, pH 7.2, containing 40% glycerol and 0.02% sodium azide

Other Notes

Corresponding Antigen APREST85160

Legal Information

Prestige Antibodies is a registered trademark of Merck KGaA, Darmstadt, Germany

Disclaimer

Unless otherwise stated in our catalog or other company documentation accompanying the product(s), our products are intended for research use only and are not to be used for any other purpose, which includes but is not limited to, unauthorized commercial uses, in vitro diagnostic uses, ex vivo or in vivo therapeutic uses or any type of consumption or application to humans or animals.

Not finding the right product?  

Try our Product Selector Tool.

Storage Class

10 - Combustible liquids

wgk

WGK 1

ppe

Eyeshields, Gloves, multi-purpose combination respirator cartridge (US)

Regulatory Information

常规特殊物品
低风险生物材料
This item has

Choose from one of the most recent versions:

Certificates of Analysis (COA)

Lot/Batch Number

Don't see the Right Version?

If you require a particular version, you can look up a specific certificate by the Lot or Batch number.

Already Own This Product?

Find documentation for the products that you have recently purchased in the Document Library.

Visit the Document Library

Medulloblastoma genotype dictates blood brain barrier phenotype
Phoenix TN, et al.
Cancer Cell, 29(4), 508-522 (2016)
Targeted drug delivery via caveolae-associated protein PV1 improves lung fibrosis
Marchetti GM, et al.
Communications biology, 2(1), 92-92 (2019)
Replication of caucasian loci associated with osteoporosis-related traits in East Asians
Kim BJ, et al.
Journal of bone metabolism, 23(4), 233-242 (2016)
Fan Yang et al.
Frontiers in oncology, 11, 683367-683367 (2021-07-06)
Glioblastoma (GBM) is the most aggressive and lethal type of brain tumors. Magnetic resonance imaging (MRI) has been commonly used for GBM diagnosis. Contrast enhancement (CE) on T1-weighted sequences are presented in nearly all GBM as a result of high
Radu V Stan
American journal of physiology. Heart and circulatory physiology, 286(4), H1347-H1353 (2003-11-25)
Several of the endothelium-specific structures that have been involved in microvascular permeability [such as caveolae, transendothelial channels (TECs), vesiculovacuolar organelles (VVOs), and fenestrae] can be provided with either a stomatal or fenestral diaphragm. In the case of fenestrae, the diaphragm

Related Content

Prestige Antibodies Immunofluorescence Procedure

Our team of scientists has experience in all areas of research including Life Science, Material Science, Chemical Synthesis, Chromatography, Analytical and many others.

Contact Technical Service