Skip to Content
Merck
CN

HPA001888

Anti-LRG1 antibody produced in rabbit

Ab1, Prestige Antibodies® Powered by Atlas Antibodies, affinity isolated antibody, buffered aqueous glycerol solution

Synonym(s):

Anti-LRG antibody produced in rabbit, Anti-Leucine-rich α-2-glycoprotein precursor antibody produced in rabbit

Sign In to View Organizational & Contract Pricing.

Select a Size


About This Item

UNSPSC Code:
12352203
NACRES:
NA.41
Human Protein Atlas Number:
Conjugate:
unconjugated
Clone:
polyclonal
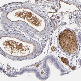
Application:
IHC
Citations:
7
Technical Service
Need help? Our team of experienced scientists is here for you.
Let Us Assist
Technical Service
Need help? Our team of experienced scientists is here for you.
Let Us Assist

Quality Level

biological source

rabbit

conjugate

unconjugated

antibody form

affinity isolated antibody

antibody product type

primary antibodies

clone

polyclonal

product line

Prestige Antibodies® Powered by Atlas Antibodies

form

buffered aqueous glycerol solution

species reactivity

human

enhanced validation

orthogonal RNAseq
Learn more about Antibody Enhanced Validation

technique(s)

immunoblotting: 0.04-0.4 μg/mL, immunohistochemistry: 1:200-1:500

immunogen sequence

TLSPKDCQVFRSDHGSSISCQPPAEIPGYLPADTVHLAVEFFNLTHLPANLLQGASKLQELHLSSNGLESLSPEFLRPVPQLRVLDLTRNALTGLPPGLFQASATLDTLVLKENQLEVLEVSWLHGLKALGHLDLSG

UniProt accession no.

shipped in

wet ice

storage temp.

−20°C

target post-translational modification

unmodified

Gene Information

human ... LRG1(116844)

Looking for similar products? Visit Product Comparison Guide

General description

Cadherin 17 also known as Liver Intestine cadherin (LI cadherin) is cell adhesion protein commonly over expressed in liver, pancreatic and gastric cancer

Immunogen

Leucine-rich α-2-glycoprotein precursor recombinant protein epitope signature tag (PrEST)

Application

All Prestige Antibodies Powered by Atlas Antibodies are developed and validated by the Human Protein Atlas (HPA) project and as a result, are supported by the most extensive characterization in the industry.

The Human Protein Atlas project can be subdivided into three efforts: Human Tissue Atlas, Cancer Atlas, and Human Cell Atlas. The antibodies that have been generated in support of the Tissue and Cancer Atlas projects have been tested by immunohistochemistry against hundreds of normal and disease tissues and through the recent efforts of the Human Cell Atlas project, many have been characterized by immunofluorescence to map the human proteome not only at the tissue level but now at the subcellular level. These images and the collection of this vast data set can be viewed on the Human Protein Atlas (HPA) site by clicking on the Image Gallery link. We also provide Prestige Antibodies® protocols and other useful information.

Features and Benefits

Prestige Antibodies® are highly characterized and extensively validated antibodies with the added benefit of all available characterization data for each target being accessible via the Human Protein Atlas portal linked just below the product name at the top of this page. The uniqueness and low cross-reactivity of the Prestige Antibodies® to other proteins are due to a thorough selection of antigen regions, affinity purification, and stringent selection. Prestige antigen controls are available for every corresponding Prestige Antibody and can be found in the linkage section.

Every Prestige Antibody is tested in the following ways:
  • IHC tissue array of 44 normal human tissues and 20 of the most common cancer type tissues.
  • Protein array of 364 human recombinant protein fragments.

Physical form

Solution in phosphate-buffered saline, pH 7.2, containing 40% glycerol and 0.02% sodium azide

Other Notes

Corresponding Antigen APREST84390

Legal Information

Prestige Antibodies is a registered trademark of Merck KGaA, Darmstadt, Germany

Disclaimer

Unless otherwise stated in our catalog or other company documentation accompanying the product(s), our products are intended for research use only and are not to be used for any other purpose, which includes but is not limited to, unauthorized commercial uses, in vitro diagnostic uses, ex vivo or in vivo therapeutic uses or any type of consumption or application to humans or animals.

Not finding the right product?  

Try our Product Selector Tool.

Storage Class

10 - Combustible liquids

wgk

WGK 1

flash_point_f

Not applicable

flash_point_c

Not applicable

ppe

Eyeshields, Gloves, multi-purpose combination respirator cartridge (US)

Regulatory Information

低风险生物材料
常规特殊物品
This item has

Choose from one of the most recent versions:

Certificates of Analysis (COA)

Lot/Batch Number

Don't see the Right Version?

If you require a particular version, you can look up a specific certificate by the Lot or Batch number.

Already Own This Product?

Find documentation for the products that you have recently purchased in the Document Library.

Visit the Document Library

Anabella Srebrow et al.
Journal of cell science, 119(Pt 13), 2635-2641 (2006-06-22)
Alternative splicing is a crucial mechanism for generating protein diversity. Different splice variants of a given protein can display different and even antagonistic biological functions. Therefore, appropriate control of their synthesis is required to assure the complex orchestration of cellular
Ying Zhou et al.
PloS one, 12(4), e0175122-e0175122 (2017-04-05)
Leucine-rich-alpha-2-glycoprotein 1 (LRG1) has been shown to be involved in various human malignancies. Whether it plays a role in colorectal cancer (CRC) development remains unclear. Here, we investigated whether and through what mechanism LRG1 functions in human CRC cells. The
Lucia Mundo et al.
International journal of molecular sciences, 22(16) (2021-08-28)
Leucine-rich a-2-glycoprotein 1 (LRG1) is a candidate therapeutic target for treating the neovascular form of age-related macular degeneration (nvAMD). In this study we examined the expression of LRG1 in eyes of nvAMD patients. Choroidal neovascular membranes (CNVMs) from patients who
Qian Zhang et al.
OncoTargets and therapy, 11, 2745-2752 (2018-05-23)
Leucine-rich α-2-glycoprotein-1 (LRG1) is differentially expressed in many kinds of diseases including cancer, however, it has not been thoroughly studied yet. The objective of this study was to detect the expression and potential mechanism of LRG1 in colorectal cancer (CRC).
Guo Nan Yin et al.
Experimental & molecular medicine, 54(5), 626-638 (2022-05-14)
Diabetes mellitus (DM) is a chronic metabolic disorder characterized by inappropriate hyperglycemia, which causes endothelial dysfunction and peripheral neuropathy, ultimately leading to multiple complications. One prevalent complication is diabetic erectile dysfunction (ED), which is more severe and more resistant to

Our team of scientists has experience in all areas of research including Life Science, Material Science, Chemical Synthesis, Chromatography, Analytical and many others.

Contact Technical Service