Skip to Content
Merck
CN

HPA001882

Anti-UPF3B antibody produced in rabbit

Ab2, Prestige Antibodies® Powered by Atlas Antibodies, affinity isolated antibody, buffered aqueous glycerol solution

Synonym(s):

Anti-HUPF3B, Anti-MRX62, Anti-RENT3B, Anti-UPF3X

Sign In to View Organizational & Contract Pricing.

Select a Size


About This Item

UNSPSC Code:
12352203
NACRES:
NA.41
Human Protein Atlas Number:
Conjugate:
unconjugated
Clone:
polyclonal
Application:
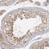
IF, IHC
Citations:
5
Technical Service
Need help? Our team of experienced scientists is here for you.
Let Us Assist
Technical Service
Need help? Our team of experienced scientists is here for you.
Let Us Assist

biological source

rabbit

conjugate

unconjugated

antibody form

affinity isolated antibody

antibody product type

primary antibodies

clone

polyclonal

product line

Prestige Antibodies® Powered by Atlas Antibodies

form

buffered aqueous glycerol solution

species reactivity

mouse, human, rat

technique(s)

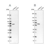
immunoblotting: 0.04-0.4 μg/mL, immunofluorescence: 0.25-2 μg/mL, immunohistochemistry: 1:20-1:50

immunogen sequence

KEEKEHRPKEKRVTLLTPAGATGSGGGTSGDSSKGEDKQDRNKEKKEALSKVVIRRLPPTLTKEQLQEHLQPMPEHDYFEFFSNDTSLYPHMYARAYINFKNQEDIILFRDRFDGYVFLDNKGQEYPAIVE

UniProt accession no.

shipped in

wet ice

storage temp.

−20°C

target post-translational modification

unmodified

Quality Level

Gene Information

human ... UPF3B(65109)

Looking for similar products? Visit Product Comparison Guide

Immunogen

Regulator of nonsense transcripts 3B recombinant protein epitope signature tag (PrEST)

Application

All Prestige Antibodies Powered by Atlas Antibodies are developed and validated by the Human Protein Atlas (HPA) project and as a result, are supported by the most extensive characterization in the industry.

The Human Protein Atlas project can be subdivided into three efforts: Human Tissue Atlas, Cancer Atlas, and Human Cell Atlas. The antibodies that have been generated in support of the Tissue and Cancer Atlas projects have been tested by immunohistochemistry against hundreds of normal and disease tissues and through the recent efforts of the Human Cell Atlas project, many have been characterized by immunofluorescence to map the human proteome not only at the tissue level but now at the subcellular level. These images and the collection of this vast data set can be viewed on the Human Protein Atlas (HPA) site by clicking on the Image Gallery link. We also provide Prestige Antibodies® protocols and other useful information.

Biochem/physiol Actions

UPF3B (UPF3 regulator of nonsense transcripts homolog B) is involved in nonsense-mediated decay (NMD) of messenger RNA with premature translation termination codons (PTCs). In association with the nuclear exon junction complex (EJC), it serves as a link between the EJC core and NMD machinery. Carboxy-terminal domain of human UPF3B combines with UPF3A which further binds to the 3′UTR of spliced β-globin mRNA to induce degradation. EJC region of UPF3B also controls translation efficiency.

Features and Benefits

Prestige Antibodies® are highly characterized and extensively validated antibodies with the added benefit of all available characterization data for each target being accessible via the Human Protein Atlas portal linked just below the product name at the top of this page. The uniqueness and low cross-reactivity of the Prestige Antibodies® to other proteins are due to a thorough selection of antigen regions, affinity purification, and stringent selection. Prestige antigen controls are available for every corresponding Prestige Antibody and can be found in the linkage section.

Every Prestige Antibody is tested in the following ways:
  • IHC tissue array of 44 normal human tissues and 20 of the most common cancer type tissues.
  • Protein array of 364 human recombinant protein fragments.

Physical form

Solution in phosphate-buffered saline, pH 7.2, containing 40% glycerol and 0.02% sodium azide

Other Notes

Corresponding Antigen APREST74304

Legal Information

Prestige Antibodies is a registered trademark of Merck KGaA, Darmstadt, Germany

Disclaimer

Unless otherwise stated in our catalog or other company documentation accompanying the product(s), our products are intended for research use only and are not to be used for any other purpose, which includes but is not limited to, unauthorized commercial uses, in vitro diagnostic uses, ex vivo or in vivo therapeutic uses or any type of consumption or application to humans or animals.

Not finding the right product?  

Try our Product Selector Tool.

Storage Class

10 - Combustible liquids

wgk

WGK 1

flash_point_f

Not applicable

flash_point_c

Not applicable

ppe

Eyeshields, Gloves, multi-purpose combination respirator cartridge (US)

Regulatory Information

低风险生物材料
常规特殊物品
This item has

Choose from one of the most recent versions:

Certificates of Analysis (COA)

Lot/Batch Number

Don't see the Right Version?

If you require a particular version, you can look up a specific certificate by the Lot or Batch number.

Already Own This Product?

Find documentation for the products that you have recently purchased in the Document Library.

Visit the Document Library

Michael P Gustafson et al.
Clinical cancer research : an official journal of the American Association for Cancer Research, 21(18), 4224-4233 (2015-05-23)
Immunotherapeutic strategies to treat patients with renal cell carcinoma (RCC) offer new opportunities for disease management. Further improvements to immunotherapy will require additional understanding of the host response to RCC development. Using a novel approach to understanding the immune status
Michael Notaras et al.
Molecular psychiatry, 25(12), 3360-3379 (2019-10-23)
Synaptic plasticity requires a tight control of mRNA levels in dendrites. RNA translation and degradation pathways have been recently linked to neurodevelopmental and neuropsychiatric diseases, suggesting a role for RNA regulation in synaptic plasticity and cognition. While the local translation
Niels H Gehring et al.
Molecular cell, 11(4), 939-949 (2003-04-30)
Messenger RNAs with premature translation termination codons (PTCs) are degraded by nonsense-mediated mRNA decay (NMD). In mammals, PTCs are discriminated from physiological stop codons by a process thought to involve the splicing-dependent deposition of an exon junction complex (EJC), EJC-mediated
J Lykke-Andersen et al.
Cell, 103(7), 1121-1131 (2001-02-13)
Nonsense-mediated decay (NMD) rids eukaryotic cells of aberrant mRNAs containing premature termination codons. These are discriminated from true termination codons by downstream cis-elements, such as exon-exon junctions. We describe three novel human proteins involved in NMD, hUpf2, hUpf3a, and hUpf3b.
Joachim B Kunz et al.
RNA (New York, N.Y.), 12(6), 1015-1022 (2006-04-08)
The exon-junction complex (EJC) components hUpf3a and hUpf3b serve a dual function: They promote nonsense-mediated mRNA decay (NMD), and they also regulate translation efficiency. Whether these two functions are interdependent or independent of each other is unknown. We characterized the

Related Content

Prestige Antibodies Immunofluorescence Procedure

Our team of scientists has experience in all areas of research including Life Science, Material Science, Chemical Synthesis, Chromatography, Analytical and many others.

Contact Technical Service