Skip to Content
Merck
CN

HPA001565

Anti-SERPINI1 antibody produced in rabbit

Prestige Antibodies® Powered by Atlas Antibodies, affinity isolated antibody, buffered aqueous glycerol solution

Synonym(s):

Anti-Neuroserpin precursor antibody produced in rabbit, Anti-Protease inhibitor 12 antibody produced in rabbit, Anti-Serpin I1 antibody produced in rabbit

Sign In to View Organizational & Contract Pricing.

Select a Size


About This Item

UNSPSC Code:
12352203
NACRES:
NA.41
Human Protein Atlas Number:
Species reactivity:
human
Conjugate:
unconjugated
Application:
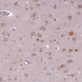
IF, IHC
Citations:
3
Technical Service
Need help? Our team of experienced scientists is here for you.
Let Us Assist
Technical Service
Need help? Our team of experienced scientists is here for you.
Let Us Assist

species reactivity

human

biological source

rabbit

conjugate

unconjugated

antibody form

affinity isolated antibody

antibody product type

primary antibodies

clone

polyclonal

product line

Prestige Antibodies® Powered by Atlas Antibodies

form

buffered aqueous glycerol solution

enhanced validation

orthogonal RNAseq
Learn more about Antibody Enhanced Validation

technique(s)

immunofluorescence: 0.25-2 μg/mL, immunohistochemistry: 1:500-1:1000

immunogen sequence

DESEVQIPMMYQQGEFYYGEFSDGSNEAGGIYQVLEIPYEGDEISMMLVLSRQEVPLATLEPLVKAQLVEEWANSVKKQKVEVYLPRFTVEQEIDLKDVLKALGI

UniProt accession no.

shipped in

wet ice

storage temp.

−20°C

target post-translational modification

unmodified

Quality Level

Gene Information

human ... SERPINI1(5274)

Looking for similar products? Visit Product Comparison Guide

Immunogen

Neuroserpin precursor recombinant protein epitope signature tag (PrEST)

Application

Applications in which this antibody has been used successfully, and the associated peer-reviewed papers, are given below.
Immunohistochemistry (1 paper)

Biochem/physiol Actions

SERPINI1 (Neuroserpin) is a serine proteinase inhibitor that belongs to the serpin superfamily. It inhibits plasminogen activators and plasmin but not thrombin and is predominantly secreted by axons in the brain. It may be involved in the regulation of axonal growth and the development of synaptic plasticity. Defects in this gene cause familial encephalopathy with neuroserpin inclusion bodies (FENIB), which is characterized by the accumulation of mutant neuroserpin polymers.

Features and Benefits

Prestige Antibodies® are highly characterized and extensively validated antibodies with the added benefit of all available characterization data for each target being accessible via the Human Protein Atlas portal linked just below the product name at the top of this page. The uniqueness and low cross-reactivity of the Prestige Antibodies® to other proteins are due to a thorough selection of antigen regions, affinity purification, and stringent selection. Prestige antigen controls are available for every corresponding Prestige Antibody and can be found in the linkage section.

Every Prestige Antibody is tested in the following ways:
  • IHC tissue array of 44 normal human tissues and 20 of the most common cancer type tissues.
  • Protein array of 364 human recombinant protein fragments.

Physical form

Solution in phosphate-buffered saline, pH 7.2, containing 40% glycerol and 0.02% sodium azide

Other Notes

Corresponding Antigen APREST85181

Legal Information

Prestige Antibodies is a registered trademark of Merck KGaA, Darmstadt, Germany

Disclaimer

Unless otherwise stated in our catalog or other company documentation accompanying the product(s), our products are intended for research use only and are not to be used for any other purpose, which includes but is not limited to, unauthorized commercial uses, in vitro diagnostic uses, ex vivo or in vivo therapeutic uses or any type of consumption or application to humans or animals.

Not finding the right product?  

Try our Product Selector Tool.

Storage Class

10 - Combustible liquids

wgk

WGK 1

flash_point_f

Not applicable

flash_point_c

Not applicable

ppe

Eyeshields, Gloves, multi-purpose combination respirator cartridge (US)

Regulatory Information

新产品
This item has

Choose from one of the most recent versions:

Certificates of Analysis (COA)

Lot/Batch Number

Don't see the Right Version?

If you require a particular version, you can look up a specific certificate by the Lot or Batch number.

Already Own This Product?

Find documentation for the products that you have recently purchased in the Document Library.

Visit the Document Library

Maria Ramnefjell et al.
Oncotarget, 8(53), 90706-90718 (2017-12-07)
Lung cancer is a leading cause of cancer deaths worldwide and new biomarkers are of utmost importance. Studies have indicated that the anti-plasminogen activators SerpinB2 and Neuroserpin, and the adhesion molecule L1CAM, have a coordinated impact on development of metastasis.
Ruby H P Law et al.
Genome biology, 7(5), 216-216 (2006-06-02)
Serpins are a broadly distributed family of protease inhibitors that use a conformational change to inhibit target enzymes. They are central in controlling many important proteolytic cascades, including the mammalian coagulation pathways. Serpins are conformationally labile and many of the
Yasufumi Matsuda et al.
Cancer science, 107(5), 619-628 (2016-02-20)
An increasingly accepted concept is that the progression of colorectal cancer is accompanied by epithelial-mesenchymal transition (EMT). In our study, in order to characterize the properties of EMT in 16 colorectal cancer cell lines, the cells were first orthotopically implanted

Our team of scientists has experience in all areas of research including Life Science, Material Science, Chemical Synthesis, Chromatography, Analytical and many others.

Contact Technical Service