Skip to Content
Merck
CN

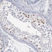
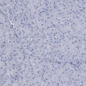
HPA001232

Anti-DMC1 antibody produced in rabbit

Prestige Antibodies® Powered by Atlas Antibodies, affinity isolated antibody, buffered aqueous glycerol solution

Synonym(s):

Anti-Meiotic recombination protein DMC1/LIM15 homolog antibody produced in rabbit

Sign In to View Organizational & Contract Pricing.

Select a Size


About This Item

UNSPSC Code:
12352203
NACRES:
NA.41
Human Protein Atlas Number:
Conjugate:
unconjugated
Clone:
polyclonal
Application:
IHC
Citations:
5
Technical Service
Need help? Our team of experienced scientists is here for you.
Let Us Assist
Technical Service
Need help? Our team of experienced scientists is here for you.
Let Us Assist

biological source

rabbit

conjugate

unconjugated

antibody form

affinity isolated antibody

antibody product type

primary antibodies

clone

polyclonal

product line

Prestige Antibodies® Powered by Atlas Antibodies

form

buffered aqueous glycerol solution

species reactivity

human

enhanced validation

orthogonal RNAseq
Learn more about Antibody Enhanced Validation

technique(s)

immunohistochemistry: 1:50- 1:200

immunogen sequence

AYTSEHQMELLDYVAAKFHEEAGIFKLLIIDSIMALFRVDFSGRGELAERQQKLAQMLSRLQKISEEYNVAVFVTNQMTADPGATMTFQADPKKPIGGHILAHASTTRISLRKGRGELRIAKIYDSPEMPENEATFAITA

UniProt accession no.

shipped in

wet ice

storage temp.

−20°C

target post-translational modification

unmodified

Quality Level

Gene Information

human ... DMC1(11144)

Immunogen

Meiotic recombination protein DMC1/LIM15 homolog recombinant protein epitope signature tag (PrEST)

Application

All Prestige Antibodies Powered by Atlas Antibodies are developed and validated by the Human Protein Atlas (HPA) project and as a result, are supported by the most extensive characterization in the industry.

The Human Protein Atlas project can be subdivided into three efforts: Human Tissue Atlas, Cancer Atlas, and Human Cell Atlas. The antibodies that have been generated in support of the Tissue and Cancer Atlas projects have been tested by immunohistochemistry against hundreds of normal and disease tissues and through the recent efforts of the Human Cell Atlas project, many have been characterized by immunofluorescence to map the human proteome not only at the tissue level but now at the subcellular level. These images and the collection of this vast data set can be viewed on the Human Protein Atlas (HPA) site by clicking on the Image Gallery link. We also provide Prestige Antibodies® protocols and other useful information.

Biochem/physiol Actions

DMC1 (DNA meiotic recombinase 1) gene encodes a protein that belongs to the superfamily of recombinases called the DNA strand-exchange proteins. It may be involved in homologous strand assimilation during meiotic recombination. It forms an octameric ring and catalyzes homologous pairing. The inner patch of the protein binds to ss- and ds-DNA and the outer patch binds to ss-DNA.

Features and Benefits

Prestige Antibodies® are highly characterized and extensively validated antibodies with the added benefit of all available characterization data for each target being accessible via the Human Protein Atlas portal linked just below the product name at the top of this page. The uniqueness and low cross-reactivity of the Prestige Antibodies® to other proteins are due to a thorough selection of antigen regions, affinity purification, and stringent selection. Prestige antigen controls are available for every corresponding Prestige Antibody and can be found in the linkage section.

Every Prestige Antibody is tested in the following ways:
  • IHC tissue array of 44 normal human tissues and 20 of the most common cancer type tissues.
  • Protein array of 364 human recombinant protein fragments.

Physical form

Solution in phosphate-buffered saline, pH 7.2, containing 40% glycerol and 0.02% sodium azide

Other Notes

Corresponding Antigen APREST73409

Legal Information

Prestige Antibodies is a registered trademark of Merck KGaA, Darmstadt, Germany

Disclaimer

Unless otherwise stated in our catalog or other company documentation accompanying the product(s), our products are intended for research use only and are not to be used for any other purpose, which includes but is not limited to, unauthorized commercial uses, in vitro diagnostic uses, ex vivo or in vivo therapeutic uses or any type of consumption or application to humans or animals.

Not finding the right product?  

Try our Product Selector Tool.

Storage Class

10 - Combustible liquids

wgk

WGK 1

flash_point_f

Not applicable

flash_point_c

Not applicable

ppe

Eyeshields, Gloves, multi-purpose combination respirator cartridge (US)

Regulatory Information

常规特殊物品
低风险生物材料
This item has

Choose from one of the most recent versions:

Certificates of Analysis (COA)

Lot/Batch Number

Don't see the Right Version?

If you require a particular version, you can look up a specific certificate by the Lot or Batch number.

Already Own This Product?

Find documentation for the products that you have recently purchased in the Document Library.

Visit the Document Library

Takashi Kinebuchi et al.
Molecular cell, 14(3), 363-374 (2004-05-06)
The human Dmc1 protein, a RecA/Rad51 homolog, is a meiosis-specific DNA recombinase that catalyzes homologous pairing. RecA and Rad51 form helical filaments, while Dmc1 forms an octameric ring. In the present study, we crystallized the full-length human Dmc1 protein and
T Habu et al.
Nucleic acids research, 24(3), 470-477 (1996-02-01)
Genetic recombination in meiosis plays an important role in generating diversity of genetic information. In yeast an Escherichia coli RecA-like gene, DMC1, is expressed in meiotic prophase and its product co-localizes with Rad51 protein on zygotene chromosomes. We have cloned
Xiaoyu Zhang et al.
Nature communications, 12(1), 1758-1758 (2021-03-21)
The molecular machinery and chromosome structures carrying out meiosis are frequently conserved from yeast to mammals. However, signals initiating meiosis appear divergent: while nutrient restriction induces meiosis in the yeast system, retinoic acid (RA) and its target Stra8 have been
Anne Jørgensen et al.
The Journal of pathology, 229(4), 588-598 (2013-01-11)
Testicular germ cell tumours (TGCT) of young adults arise from the intratubular precursor, carcinoma in situ (CIS). CIS cells are thought to be developmentally arrested and transformed fetal germ cells that survive through childhood and gain invasive capacity after puberty.
Anne Jørgensen et al.
Molecular human reproduction, 18(11), 523-534 (2012-08-18)
The mitosis-meiosis switch is a key event in the differentiation of germ cells. In humans, meiosis is initiated in fetal ovaries, whereas in testes meiotic entry is inhibited until puberty. The purpose of this study was to examine the expression

Our team of scientists has experience in all areas of research including Life Science, Material Science, Chemical Synthesis, Chromatography, Analytical and many others.

Contact Technical Service