Sign In to View Organizational & Contract Pricing.
Select a Size
About This Item
NACRES:
NA.47
UNSPSC Code:
12352203
Biological source:
human cell culture
biological source
human cell culture
packaging
pkg of 1 ea cell microarray block (HCL015), pkg of 2 slides (HCL013), pkg of 5 slides (HCL014)
manufacturer/tradename
Histocyte
storage temp.
2-8°C
Related Categories
General description
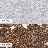
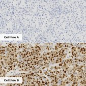
The Breast Analyte Control has two cell line cores which demonstrate positive and negative expression of ER, PGR, and HER2.
HistoCyte Laboratories control slides and blocks are made from cultured human cell lines to provide the required range of expression of a specific biomarker. The cell lines are processed using proprietary methods that allow for the creation of a high density embedded cell block with cores that retain their cellular morphology. Available as pre-cut unstained slides or as cell microarray blocks for sectioning.
HistoCyte Laboratories control slides and blocks are made from cultured human cell lines to provide the required range of expression of a specific biomarker. The cell lines are processed using proprietary methods that allow for the creation of a high density embedded cell block with cores that retain their cellular morphology. Available as pre-cut unstained slides or as cell microarray blocks for sectioning.
Application
Ideal for use as a same slide control for immunohistochemistry (IHC) and in situ hybridization (ISH).
The Breast Analyte Control histology slides have two cell line cores providing positive and negative expression of ER, PGR, and HER2. Analyte controls are placed at one end of slide, allowing sample application on same slide for valid comparison.
The Breast Analyte Control cell microarray block contains two cell line cores that are 2 mm in diameter and between 3.0-3.5 mm in length. The cell microarray block may yield over 300 sections depending on thickness.
The Breast Analyte Control histology slides have two cell line cores providing positive and negative expression of ER, PGR, and HER2. Analyte controls are placed at one end of slide, allowing sample application on same slide for valid comparison.
The Breast Analyte Control cell microarray block contains two cell line cores that are 2 mm in diameter and between 3.0-3.5 mm in length. The cell microarray block may yield over 300 sections depending on thickness.
Preparation Note
Cell microarray blocks are fixed in 10% neutral buffered formalin and embedded in paraffin wax. Pre-cut unstained slides are prepared from 4 μm thick sections, mounted on positively charged slides, and dried at 37 °C overnight.
Other Notes
For certificates of analysis, contact info@histocyte.com.
Breast Analyte Control brochure is available from HistoCyte Laboratories.
Breast Analyte Control brochure is available from HistoCyte Laboratories.
Regulatory Information
新产品
This item has
Choose from one of the most recent versions:
Already Own This Product?
Find documentation for the products that you have recently purchased in the Document Library.
Our team of scientists has experience in all areas of research including Life Science, Material Science, Chemical Synthesis, Chromatography, Analytical and many others.
Contact Technical Service