Skip to Content
Merck
CN

G0296

Anti-GRK2 antibody produced in rabbit

affinity isolated antibody, buffered aqueous solution

Synonym(s):

Anti-β-ARK1, Anti-β-Adrenergic receptor kinase-1, Anti-ADRBK1, Anti-BARK1, Anti-G Protein-dependent receptor kinase 2

Sign In to View Organizational & Contract Pricing.

Select a Size


About This Item

UNSPSC Code:
12352203
NACRES:
NA.41
MDL number:
Conjugate:
unconjugated
Clone:
polyclonal
Application:
WB
Citations:
11
Technical Service
Need help? Our team of experienced scientists is here for you.
Let Us Assist
Technical Service
Need help? Our team of experienced scientists is here for you.
Let Us Assist

biological source

rabbit

conjugate

unconjugated

antibody form

affinity isolated antibody

antibody product type

primary antibodies

clone

polyclonal

form

buffered aqueous solution

mol wt

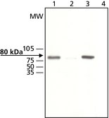
antigen ~80 kDa

species reactivity

human

enhanced validation

recombinant expression
Learn more about Antibody Enhanced Validation

technique(s)

western blot: 0.5-1 μg/mL using HEK-293T cells expressing human GRK2 or Jurkat cell lysate

shipped in

dry ice

storage temp.

−20°C

target post-translational modification

unmodified

Gene Information

human ... ADRBK1(156)

Looking for similar products? Visit Product Comparison Guide

General description

G protein-coupled receptor kinases (GRK2) belongs to the GRK family that includes seven known GRKs, termed as GRK1-7. It is also known as β-adrenergic receptor kinase-1 (β-ARK1) and ADRBK1. It regulates the activity of G protein-coupled receptors (GPCRs). GRKs facilitate the uncoupling of GPCRs from G proteins, and participate directly in receptor endocytosis and trafficking, and modulation of ERK/MAPK cascade by GPCRs. It phosphorylates the activated form of the β2-adrenergic receptor (β2-AR) and related GPCRs. The GRK2 activity is regulated by different mechanisms including phosphorylation by kinases such as PKC, Src, ERK1/2 and p38MAPK. Phosphorylated ERK inactivates GRK2 on Ser670 in a negative feedback mechanism.

Immunogen

Synthetic peptide corresponding to amino acids 674-689 located at the C-terminus of human GRK2/βARK1, conjugated to KLH. The immunizing sequence is specific to GRK2 (not found in human GRK1, and GRK3-7). It is identical in dog GRK2 and highly conserved (single amino acid substitution) in rat, mouse, and bovine GRK2/βARK1.

Application

Anti-GRK2 antibody is suitable for western blots of cortical synaptoneurosomes to study the β-arrestin-1 and ERK protein expression. It is also suitable for western blot at a concentration of 0.5-1μg/mL using HEK-293T cells expressing human GRK2 or Jurkat cell lysate.

Biochem/physiol Actions

G protein-coupled receptor kinase 2 (GRK2) is involved in the pathogenesis of chronic heart failure.

Physical form

Solution in 0.01 M phosphate buffered saline, pH 7.4, containing 15 mM sodium azide.

Disclaimer

Unless otherwise stated in our catalog or other company documentation accompanying the product(s), our products are intended for research use only and are not to be used for any other purpose, which includes but is not limited to, unauthorized commercial uses, in vitro diagnostic uses, ex vivo or in vivo therapeutic uses or any type of consumption or application to humans or animals.

Not finding the right product?  

Try our Product Selector Tool.

Regulatory Information

新产品
This item has

Choose from one of the most recent versions:

Certificates of Analysis (COA)

Lot/Batch Number

Don't see the Right Version?

If you require a particular version, you can look up a specific certificate by the Lot or Batch number.

Already Own This Product?

Find documentation for the products that you have recently purchased in the Document Library.

Visit the Document Library

Xiu-Rong Ren et al.
Proceedings of the National Academy of Sciences of the United States of America, 102(5), 1448-1453 (2005-01-27)
Signaling through beta-arrestins is a recently appreciated mechanism used by seven-transmembrane receptors. Because G protein-coupled receptor kinase (GRK) phosphorylation of such receptors is generally a prerequisite for beta-arrestin binding, we studied the roles of different GRKs in promoting beta-arrestin-mediated extracellular
Ruxu Zhai et al.
International journal of molecular sciences, 23(5) (2022-03-11)
G-protein coupled receptor (GPCR) kinase 2 (GRK2) is upregulated in heart failure (HF) patients and mouse models of cardiac disease. GRK2 is a regulator of β-adrenergic receptors (βARs), a GPCR involved in ionotropic and chronotropic responses. We and others have
Petronila Penela et al.
Cellular signalling, 15(11), 973-981 (2003-09-23)
G protein-coupled receptor kinases (GRKs) are key modulators of G protein-coupled receptor signalling. Increasing evidence points to the occurrence of complex mechanisms able to modulate the subcellular localization, activity and expression levels of GRKs, revealing new functional interactions of these
Adrenal GRK2 upregulation mediates sympathetic overdrive in heart failure
Lymperopoulos A, et al.
Nature Medicine, 13(3), 315-315 (2007)
J A Pitcher et al.
Annual review of biochemistry, 67, 653-692 (1998-10-06)
G protein-coupled receptor kinases (GRKs) constitute a family of six mammalian serine/threonine protein kinases that phosphorylate agonist-bound, or activated, G protein-coupled receptors (GPCRs) as their primary substrates. GRK-mediated receptor phosphorylation rapidly initiates profound impairment of receptor signaling, or desensitization. This

Related Content

Instructions

Our team of scientists has experience in all areas of research including Life Science, Material Science, Chemical Synthesis, Chromatography, Analytical and many others.

Contact Technical Service