Skip to Content
Merck
CN

C0249

Anti-CSTF3 (N-terminal) antibody produced in rabbit

IgG fraction of antiserum, buffered aqueous solution

Synonym(s):

Anti-CSTF-77, Anti-Cleavage stimulation factor 77

Sign In to View Organizational & Contract Pricing.

Select a Size


About This Item

NACRES:
NA.41
UNSPSC Code:
12352203
Conjugate:
unconjugated
Clone:
polyclonal
Application:
IP, WB
Citations:
6
Technical Service
Need help? Our team of experienced scientists is here for you.
Let Us Assist
Technical Service
Need help? Our team of experienced scientists is here for you.
Let Us Assist

biological source

rabbit

conjugate

unconjugated

antibody form

IgG fraction of antiserum

antibody product type

primary antibodies

clone

polyclonal

form

buffered aqueous solution

mol wt

antigen ~77 kDa

species reactivity

human

technique(s)

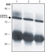
immunoprecipitation (IP): 2.5-5 μL using lysates of HEK-293T cells, western blot: 1:500-1:1000 using lysates of HEK-293T

UniProt accession no.

shipped in

dry ice

storage temp.

−20°C

target post-translational modification

unmodified

Gene Information

human ... CSTF3(1479)

General description

Cleavage stimulatory factor (CstF3), also called CSTF-77, is a component of CstF heterotrimer. It has a proline-rich domain and the gene is mapped to human chromosome 11p13. CstF3 contains 12 half-A-TPR (HAT) repeats followed by a proline-rich segment.

Application

Anti-CSTF3 (N-terminal) antibody produced in rabbit has been used in chromatin immunoprecipitation and immunoblotting.

Biochem/physiol Actions

Anti-CSTF3 (N-terminal) specifically recognizes human CSTF3 (also known as Cleavage stimulation factor 77, CSTF-77, CF-1 77 kDa subunit).
Cleavage stimulatory factor (CstF3) is required for proper 3′-end cleavage and is critical for the assembly of the CstF complex, bridging both CSTF1 and CSTF2. CSTF3 also interacts directly with the RNA polymerase II C-terminal domain (CTD), but with lower efficiency than CSTF1.

Physical form

Solution in 0.01 M phos­phate buffered saline, pH 7.4, containing 15 mM sodium azide.

Preparation Note

Store at –20 °C. For continuous use, the product may be stored at 2–8 °C for up to one month. For extended storage, freeze in working aliquots at –20 °C. Repeated freezing and thawing, or storage in “frost-free” freezers, is not recommended. If slight turbidity occurs upon prolonged storage, clarify the solution by centrifugation before use. Working dilutions should be discarded if not used within 12 hours.

Disclaimer

Unless otherwise stated in our catalog or other company documentation accompanying the product(s), our products are intended for research use only and are not to be used for any other purpose, which includes but is not limited to, unauthorized commercial uses, in vitro diagnostic uses, ex vivo or in vivo therapeutic uses or any type of consumption or application to humans or animals.

Not finding the right product?  

Try our Product Selector Tool.

Storage Class

10 - Combustible liquids

flash_point_f

Not applicable

flash_point_c

Not applicable

Regulatory Information

新产品
This item has

Choose from one of the most recent versions:

Certificates of Analysis (COA)

Lot/Batch Number

Don't see the Right Version?

If you require a particular version, you can look up a specific certificate by the Lot or Batch number.

Already Own This Product?

Find documentation for the products that you have recently purchased in the Document Library.

Visit the Document Library

Splicing-coupled 3? end formation requires a terminal splice acceptor site, but not intron excision
Davidson L and West S
Nucleic Acids Research, 41(14), 7101-7114 (2013)
Complex protein interactions within the human polyadenylation machinery identify a novel component
Takagaki Y and Manley JL
Molecular and Cellular Biology, 20(5), 1515-1525 (2000)
A novel Alu-mediated microdeletion at 11p13 removes WT1 in a patient with cryptorchidism and azoospermia
Seabra CM, et al.
Reproductive Biomedicine Online, 29(3), 388-391 (2014)
3? end formation of pre-mRNA and phosphorylation of Ser2 on the RNA polymerase II CTD are reciprocally coupled in human cells
Davidson L, et al.
Genes & Development, 28(4), 342-356 (2014)
Lee Davidson et al.
Genes & development, 28(4), 342-356 (2014-01-31)
3' end formation of pre-mRNAs is coupled to their transcription via the C-terminal domain (CTD) of RNA polymerase II (Pol II). Nearly all protein-coding transcripts are matured by cleavage and polyadenylation (CPA), which is frequently misregulated in disease. Understanding how

Our team of scientists has experience in all areas of research including Life Science, Material Science, Chemical Synthesis, Chromatography, Analytical and many others.

Contact Technical Service