Skip to Content
Merck
CN

AV48540

Anti-TKT antibody produced in rabbit

affinity isolated antibody

Synonym(s):

Anti-FLJ34765, Anti-TKT1, Anti-Transketolase (Wernicke-Korsakoff syndrome)

Sign In to View Organizational & Contract Pricing.

Select a Size


About This Item

NACRES:
NA.41
UNSPSC Code:
12352203
Conjugate:
unconjugated
Clone:
polyclonal
Application:
IHC, WB
Citations:
1
Technical Service
Need help? Our team of experienced scientists is here for you.
Let Us Assist
Technical Service
Need help? Our team of experienced scientists is here for you.
Let Us Assist

biological source

rabbit

conjugate

unconjugated

antibody form

affinity isolated antibody

antibody product type

primary antibodies

clone

polyclonal

form

buffered aqueous solution

mol wt

68 kDa

species reactivity

mouse, human, bovine, rabbit, rat, pig

concentration

0.5 mg - 1 mg/mL

technique(s)

immunohistochemistry: suitable, western blot: suitable

NCBI accession no.

UniProt accession no.

shipped in

wet ice

storage temp.

−20°C

target post-translational modification

unmodified

Gene Information

human ... TKT(7086)

Looking for similar products? Visit Product Comparison Guide

General description

TKT codes for transketolase which is involved in directing excess sugar phosphates to glycolytic pathways. Studies in mice have shown that oxidative stress may modulate TKT gene regulation in cornea.
Rabbit Anti-TKT antibody regulates human, mouse, rat, pig, zebrafish, and bovine TKT.

Immunogen

Synthetic peptide directed towards the N terminal region of human TKT

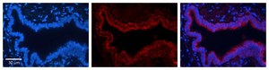
Application

Rabbit Anti-TKT antibody is suitable for western blot applications at a concentration of 1μg/ml.

Biochem/physiol Actions

TKT belongs to the transketolase family. TKT has been implicated in the latent genetic disease Wernicke-Korsakoff syndrome (WKS), which causes specific brain damage.

Physical form

Purified antibody supplied in 1x PBS buffer with 0.09% (w/v) sodium azide and 2% sucrose.

Other Notes

Synthetic peptide located within the following region: ESYHKPDQQKLQALKDTANRLRISSIQATTAAGSGHPTSCCSAAEIMAVL

Disclaimer

Unless otherwise stated in our catalog or other company documentation accompanying the product(s), our products are intended for research use only and are not to be used for any other purpose, which includes but is not limited to, unauthorized commercial uses, in vitro diagnostic uses, ex vivo or in vivo therapeutic uses or any type of consumption or application to humans or animals.

Not finding the right product?  

Try our Product Selector Tool.

Storage Class

12 - Non Combustible Liquids

wgk

WGK 3

flash_point_f

Not applicable

flash_point_c

Not applicable

Regulatory Information

新产品
This item has

Choose from one of the most recent versions:

Certificates of Analysis (COA)

Lot/Batch Number

Don't see the Right Version?

If you require a particular version, you can look up a specific certificate by the Lot or Batch number.

Already Own This Product?

Find documentation for the products that you have recently purchased in the Document Library.

Visit the Document Library

C Salamon et al.
Genomics, 48(2), 209-220 (1998-04-02)
The transketolase (TKT) gene is expressed 30-50 times more highly in the mature mouse cornea than in other tissues. Here, we have cloned and characterized the 30- to 40-kb single-copy mouse TKT gene. Sequence analysis supports the suggestion that present-day

Our team of scientists has experience in all areas of research including Life Science, Material Science, Chemical Synthesis, Chromatography, Analytical and many others.

Contact Technical Service