Skip to Content
Merck
CN

AV33751

Anti-PARP16 antibody produced in rabbit

affinity isolated antibody

Synonym(s):

Anti-Poly(ADP-ribose) polymerase family, member 16

Sign In to View Organizational & Contract Pricing.

Select a Size


About This Item

NACRES:
NA.41
UNSPSC Code:
12352203
Conjugate:
unconjugated
Clone:
polyclonal
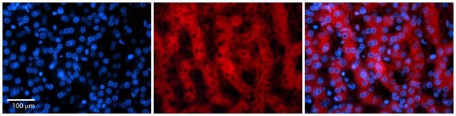
Application:
IHC, WB
Citations:
1
Technical Service
Need help? Our team of experienced scientists is here for you.
Let Us Assist
Technical Service
Need help? Our team of experienced scientists is here for you.
Let Us Assist

biological source

rabbit

conjugate

unconjugated

antibody form

affinity isolated antibody

antibody product type

primary antibodies

clone

polyclonal

form

buffered aqueous solution

mol wt

36 kDa

species reactivity

mouse, rat, horse, bovine, human, pig

concentration

0.5 mg - 1 mg/mL

technique(s)

immunohistochemistry: suitable, western blot: suitable

NCBI accession no.

UniProt accession no.

shipped in

wet ice

storage temp.

−20°C

target post-translational modification

unmodified

Quality Level

Gene Information

human ... PARP16(54956)

Looking for similar products? Visit Product Comparison Guide

General description

PARP16 is a poly (ADP-ribose) polymerase that catalyzes the post-translational modification of proteins by the addition of multiple ADP-ribose moieties. The are 3 isoforms of parp16 that exists in humans through alternative splicing. The molecular weight of parp16 is 36kDa.

Immunogen

Synthetic peptide directed towards the N terminal region of human PARP16

Biochem/physiol Actions

Poly(ADP-ribosyl)ation is an immediate DNA-damage-dependent post-translational modification of histones and other nuclear proteins that contributes to the survival of injured proliferating cells. PARP16 is a member of poly(ADP-ribose) polymerases (PARPs) family that is encoded by different genes and displaying a conserved catalytic domain in which PARP-1 (113 kDa), the founding member, and PARP-2 (62 kDa) are so far the sole enzymes whose catalytic activity has been shown to be immediately stimulated by DNA strand breaks. A large repertoire of sequences encoding novel PARPs now extends considerably the field of poly(ADP-ribosyl)ation reactions to various aspects of the cell biology including cell proliferation and cell death. Some of these new members interact with each other, share common partners and common subcellular localizations suggesting possible fine tuning in the regulation of this post-translational modification of proteins.

Physical form

Purified antibody supplied in 1x PBS buffer with 0.09% (w/v) sodium azide and 2% sucrose.

Other Notes

Synthetic peptide located within the following region: KRDSVLRPFPASYARGDCKDFEALLADASKLPNLKELLQSSGDNHKRAWD

Disclaimer

Unless otherwise stated in our catalog or other company documentation accompanying the product(s), our products are intended for research use only and are not to be used for any other purpose, which includes but is not limited to, unauthorized commercial uses, in vitro diagnostic uses, ex vivo or in vivo therapeutic uses or any type of consumption or application to humans or animals.

Not finding the right product?  

Try our Product Selector Tool.

Storage Class

12 - Non Combustible Liquids

wgk

WGK 1

flash_point_f

Not applicable

flash_point_c

Not applicable

Regulatory Information

常规特殊物品
低风险生物材料
This item has

Choose from one of the most recent versions:

Certificates of Analysis (COA)

Lot/Batch Number

Don't see the Right Version?

If you require a particular version, you can look up a specific certificate by the Lot or Batch number.

Already Own This Product?

Find documentation for the products that you have recently purchased in the Document Library.

Visit the Document Library

Jean-Christophe Amé et al.
BioEssays : news and reviews in molecular, cellular and developmental biology, 26(8), 882-893 (2004-07-27)
Poly(ADP-ribosyl)ation is an immediate DNA-damage-dependent post-translational modification of histones and other nuclear proteins that contributes to the survival of injured proliferating cells. Poly(ADP-ribose) polymerases (PARPs) now constitute a large family of 18 proteins, encoded by different genes and displaying a

Our team of scientists has experience in all areas of research including Life Science, Material Science, Chemical Synthesis, Chromatography, Analytical and many others.

Contact Technical Service