Skip to Content
Merck
CN

AV32639

Anti-HOXB9 antibody produced in rabbit

affinity isolated antibody

Synonym(s):

Anti-HGNC:5120, Anti-HOX-2.5, Anti-HOX2, Anti-HOX2E, Anti-Homeobox protein Hox-B9

Sign In to View Organizational & Contract Pricing.

Select a Size


About This Item

NACRES:
NA.41
UNSPSC Code:
12352203
Conjugate:
unconjugated
Clone:
polyclonal
Application:
IHC, WB
Citations:
3
Technical Service
Need help? Our team of experienced scientists is here for you.
Let Us Assist
Technical Service
Need help? Our team of experienced scientists is here for you.
Let Us Assist

biological source

rabbit

conjugate

unconjugated

antibody form

affinity isolated antibody

antibody product type

primary antibodies

clone

polyclonal

form

buffered aqueous solution

mol wt

28 kDa

species reactivity

rabbit, bovine, horse, pig, human

concentration

0.5 mg - 1 mg/mL

technique(s)

immunohistochemistry: suitable, western blot: suitable

NCBI accession no.

UniProt accession no.

shipped in

wet ice

storage temp.

−20°C

target post-translational modification

unmodified

Quality Level

Gene Information

human ... HOXB9(3219)

Looking for similar products? Visit Product Comparison Guide

General description

HOXB9 is a homeobox transcription factor that regulates cell growth and differentiation. HOXB9 is expressed throughout early bovine embryogenesis and has been implicated in thyroid cancer.
Rabbit Anti-HOXB9 antibody recognizes human, mouse, rat, bovine, and canine HOXB9.

Immunogen

Synthetic peptide directed towards the N terminal region of human HOXB9

Application

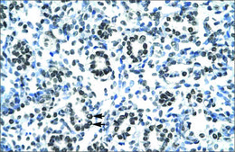
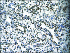
Rabbit Anti-HOXB9 antibody has been used to detect Hoxb9 in bovine in embryos using whole-mount immunofluorescence and western blot techniques. The antibody has also been used at a dilution of 1:50 for immunohistochemical analysis in papillary thyroid carcinomas.

Biochem/physiol Actions

HOXB9 belongs to the homeobox family of genes. The homeobox genes encode a highly conserved family of transcription factors that play an important role in morphogenesis in all multicellular organisms. Mammals possess four similar homeobox gene clusters, HOXA, HOXB, HOXC and HOXD, located on different chromosomes, consisting of 9 to 11 genes arranged in tandem. HOXB9 is one of several homeobox HOXB genes located in a cluster on chromosome 17. The exact role of this gene has yet to be determined.

Physical form

Purified antibody supplied in 1x PBS buffer with 0.09% (w/v) sodium azide and 2% sucrose.

Other Notes

Synthetic peptide located within the following region: SPHASGSLPSVYHPYIQPQGVPPAESRYLRTWLEPAPRGEAAPGQGQAAV

Disclaimer

Unless otherwise stated in our catalog or other company documentation accompanying the product(s), our products are intended for research use only and are not to be used for any other purpose, which includes but is not limited to, unauthorized commercial uses, in vitro diagnostic uses, ex vivo or in vivo therapeutic uses or any type of consumption or application to humans or animals.

Not finding the right product?  

Try our Product Selector Tool.

Storage Class

10 - Combustible liquids

wgk

WGK 3

flash_point_f

Not applicable

flash_point_c

Not applicable

Regulatory Information

低风险生物材料
常规特殊物品
This item has

Choose from one of the most recent versions:

Certificates of Analysis (COA)

Lot/Batch Number

Don't see the Right Version?

If you require a particular version, you can look up a specific certificate by the Lot or Batch number.

Already Own This Product?

Find documentation for the products that you have recently purchased in the Document Library.

Visit the Document Library

213 Hoxb9 protein is present throughout early embryo development in the bovine.
Sauvegarde, C., et al.
Reproduction, Fertility, and Development, 25(1), 255-255 (2012)
Jang-Hee Kim et al.
Human pathology, 43(8), 1221-1228 (2012-01-10)
Papillary thyroid carcinoma is the most common type of thyroid malignancy, and CD56, a neural cell adhesion molecule, is typically down-regulated in almost all cases of papillary thyroid carcinoma. Homeobox B9 is a transcription factor, belongs to the products of
Caroline Sauvegarde et al.
PloS one, 11(10), e0165898-e0165898 (2016-11-01)
We previously showed that the homeodomain transcription factor HOXB9 is expressed in mammalian oocytes and early embryos. However, a systematic and exhaustive study of the localization of the HOXB9 protein, and HOX proteins in general, during mammalian early embryonic development

Our team of scientists has experience in all areas of research including Life Science, Material Science, Chemical Synthesis, Chromatography, Analytical and many others.

Contact Technical Service