Skip to Content
Merck
CN

AMAB92005

Monoclonal Anti-CALB1 antibody produced in mouse

Prestige Antibodies® Powered by Atlas Antibodies, clone CL15059, purified antibody (Protein A)

Synonym(s):

CALB

Sign In to View Organizational & Contract Pricing.

Select a Size


About This Item

UNSPSC Code:
12352203
Conjugate:
unconjugated
Clone:
CL15059, monoclonal
Application:
IHC, WB
Citations:
-
Technical Service
Need help? Our team of experienced scientists is here for you.
Let Us Assist
Technical Service
Need help? Our team of experienced scientists is here for you.
Let Us Assist

biological source

mouse

conjugate

unconjugated

antibody form

purified antibody (Protein A)

antibody product type

primary antibodies

clone

CL15059, monoclonal

product line

Prestige Antibodies® Powered by Atlas Antibodies

species reactivity

human

enhanced validation

orthogonal RNAseq
Learn more about Antibody Enhanced Validation

concentration

1 mg/mL

technique(s)

immunohistochemistry: 1:5000 - 1:10000, western blot: 1 μg/mL

pH range

7.2-7.4

isotype

IgG1

Ensembl | human accession no.

Protein ID accession no.

UniProt accession no.

shipped in

dry ice

storage temp.

-10 to -25°C

target post-translational modification

unmodified

Quality Level

Gene Information

human ... CALB1(793)

Looking for similar products? Visit Product Comparison Guide

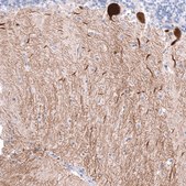
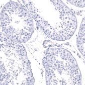
General description

The Human Protein Atlas project can be subdivided into three efforts: Human Tissue Atlas, Cancer Atlas, and Human Cell Atlas. The antibodies that have been generated in support of the Tissue and Cancer Atlas projects have been tested by immunohistochemistry against hundreds of normal and disease tissues and through the recent efforts of the Human Cell Atlas project, many have been characterized by immunofluorescence to map the human proteome not only at the tissue level but now at the subcellular level. These images and the collection of this vast data set can be viewed on the Human Protein Atlas (HPA) site by clicking on the Image Gallery link. We also provide Prestige Antibodies® protocols and other useful information.

Immunogen

Recombinant Protein Epitope Signature Tag (PrEST) antigen sequence

Application

The Human Protein Atlas project can be subdivided into three efforts: Human Tissue Atlas, Cancer Atlas, and Human Cell Atlas. The antibodies that have been generated in support of the Tissue and Cancer Atlas projects have been tested by immunohistochemistry against hundreds of normal and disease tissues and through the recent efforts of the Human Cell Atlas project, many have been characterized by immunofluorescence to map the human proteome not only at the tissue level but now at the subcellular level. These images and the collection of this vast data set can be viewed on the Human Protein Atlas (HPA) site by clicking on the Image Gallery link. We also provide Prestige Antibodies®protocols and other useful information.

Physical form

100UL pack size is provided in a solution, in PBS(phosphate-buffered saline), pH 7.2, containing 40% glycerol and 0.02% sodium azide.

Large pack size of 1ml (at 1mg/ml) is available in PBS only, purified, biocide free, carrier free and glycerol free. Order here-https://www.sigmaaldrich.com/US/en/services/support/bulk-quotation-request?tfa_1=AMAB92005&tfa_2=Monoclonal%20Anti-CALB1%20antibody%20produced%20in%20mouse

Preparation Note

Upon arrival, mix gently and aliquot to avoid repeated freeze-thaw cycles

Legal Information

Prestige Antibodies is a registered trademark of Merck KGaA, Darmstadt, Germany

Not finding the right product?  

Try our Product Selector Tool.

Storage Class

10 - Combustible liquids

Regulatory Information

新产品
This item has

Choose from one of the most recent versions:

Certificates of Analysis (COA)

Lot/Batch Number

It looks like we've run into a problem, but you can still download Certificates of Analysis from our Documents section.

If you need assistance, please contact Customer Support

Already Own This Product?

Find documentation for the products that you have recently purchased in the Document Library.

Visit the Document Library

Our team of scientists has experience in all areas of research including Life Science, Material Science, Chemical Synthesis, Chromatography, Analytical and many others.

Contact Technical Service