Sign In to View Organizational & Contract Pricing.
Select a Size
About This Item
NACRES:
NA.81
UNSPSC Code:
41106514
Biological source:
human
Technique(s):
cell culture | stem cell: suitable
biological source
human
packaging
vial of 1 vial
manufacturer/tradename
Millipore
technique(s)
cell culture | stem cell: suitable
shipped in
liquid nitrogen
storage temp.
−196°C
Quality Level
General description
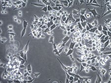
MB49 cells are derived from C57BL/Icrf-a mouse bladder epithelial cells that were transformed by a single 24-hour treatment with the chemical carcinogen 7, 12-dimethylbenz[a]anthracene (DMBA) on the second day of a long term primary culture [1]. Transformed cells transplanted into syngeneic mice were shown to generate carcinomas [1]. While of male origin, karyotype analyses indicate the loss of the Y chromosome in 100% of the cells analyzed [2]. This abnormality is a frequent early event in human bladder cancer. A recent study indicates that MB49 cells recapitulate key features of sex differences in bladder tumor growth.
MB49 cells are derived from C57BL/Icrf-a′ mouse bladder epithelial cells that were transformed by a single 24-hour treatment with the chemical carcinogen 7, 12-dimethylbenz[a]anthracene (DMBA) on the second day of a long term primary culture (1). Transformed cells transplanted into syngeneic mice were shown to generate carcinomas (1). While of male origin, karyotype analyses indicate the loss of the Y chromosome in 100% of the cells analyzed (2). This abnormality is a frequent early event in human bladder cancer.
A recent study indicates that MB49 cells recapitulate key features of sex differences in bladder tumor growth (3). MB49 implantation in mice resulted in significantly larger tumors in males than females. In the presence of dihydrotestosterone, MB49 cells exhibited enhanced proliferation in a dose-dependent manner. In contrast, MB49 cells were unresponsive to the pregnancy hormone, human chorionic gonadotrophin (hCG) (3).
MB49 cells exhibit low to no expression of MHC-Class I and II molecules (4). However, upon exposure to IFN-?, the expressions of MHC Class I and II are significantly upregulated (4).
References:
1. Summerhayes IC, Franks LM (1979) Effects of donor age on neoplastic transformation of adult mouse bladder epithelium in vitro. J Natl Cancer Inst 62(4): 1017 - 1023.
2. Fabris VT, Lodilinsky C, Pampena MB, Belgorosky D, Lanari C, Eiján AM (2012) Cytogenetic characterization of the murine bladder cancer model MB49 and the derived invasive line MB49-I. Cancer Genet 205(4): 168 - 76.
3. White-Gilbertson S, Davis M, Voelkel-Johnson C, Kasman LM (2016) Sex differences in the MB49 syngeneic, murine model of bladder cancer. Bladder (San Franc) 3(1): PMID: 26998503.
4. Lattime EC, Gomelia LG, McCue PA (1992) Murine bladder carcinoma cells present antigen to BCG-specific CD4+ T-cells. Cancer Res 52(15): 4286 - 90.
A recent study indicates that MB49 cells recapitulate key features of sex differences in bladder tumor growth (3). MB49 implantation in mice resulted in significantly larger tumors in males than females. In the presence of dihydrotestosterone, MB49 cells exhibited enhanced proliferation in a dose-dependent manner. In contrast, MB49 cells were unresponsive to the pregnancy hormone, human chorionic gonadotrophin (hCG) (3).
MB49 cells exhibit low to no expression of MHC-Class I and II molecules (4). However, upon exposure to IFN-?, the expressions of MHC Class I and II are significantly upregulated (4).
References:
1. Summerhayes IC, Franks LM (1979) Effects of donor age on neoplastic transformation of adult mouse bladder epithelium in vitro. J Natl Cancer Inst 62(4): 1017 - 1023.
2. Fabris VT, Lodilinsky C, Pampena MB, Belgorosky D, Lanari C, Eiján AM (2012) Cytogenetic characterization of the murine bladder cancer model MB49 and the derived invasive line MB49-I. Cancer Genet 205(4): 168 - 76.
3. White-Gilbertson S, Davis M, Voelkel-Johnson C, Kasman LM (2016) Sex differences in the MB49 syngeneic, murine model of bladder cancer. Bladder (San Franc) 3(1): PMID: 26998503.
4. Lattime EC, Gomelia LG, McCue PA (1992) Murine bladder carcinoma cells present antigen to BCG-specific CD4+ T-cells. Cancer Res 52(15): 4286 - 90.
Features and Benefits
MB49 implantation in mice resulted in significantly larger tumors in males than females. In the presence of dihydrotestosterone, MB49 cells exhibited enhanced proliferation in a dose-dependent manner. In contrast, MB49 cells were unresponsive to the pregnancy hormone human chorionic gonadotrophin (hCG) [3]. MB49 cells exhibit low to no expression of MHC-Class I and II molecules [4]. However, upon exposure to IFN-?, the expressions of MHC Class I and II are significantly upregulated
Preparation Note
MB49 cells should be stored in liquid nitrogen.
Other Notes
Subject to local law, this product is intended to be sold for internal in vitro research use only subject to terms and conditions found here: www.sigmaaldrich.com/restrictedcelluse. This product may not be: re-engineered or copied; used to make derivatives, modifications or functional equivalents; used to obtain patents or other IP claiming use of the product; used to develop, test, or manufacturer a commercial product; used as a component in a commercial product; resold or licensed; used in any clinical applications or trials; or used in humans. A license or limited commercial use agreement is required for use by any for-profit entity, use in services, and use in sponsored academic research. For information regarding any such use, please contact licensing@milliporesigma.com.
Disclaimer
Unless otherwise stated in our catalog or other company documentation accompanying the product(s), our products are intended for research use only and are not to be used for any other purpose, which includes but is not limited to, unauthorized commercial uses, in vitro diagnostic uses, ex vivo or in vivo therapeutic uses or any type of consumption or application to humans or animals.
Storage Class
12 - Non Combustible Liquids
wgk
WGK 2
flash_point_f
Not applicable
flash_point_c
Not applicable
Regulatory Information
新产品
This item has
Certificates of Analysis (COA)
Search for Certificates of Analysis (COA) by entering the products Lot/Batch Number. Lot and Batch Numbers can be found on a product’s label following the words ‘Lot’ or ‘Batch’.
Already Own This Product?
Find documentation for the products that you have recently purchased in the Document Library.
Related Content
Our team of scientists has experience in all areas of research including Life Science, Material Science, Chemical Synthesis, Chromatography, Analytical and many others.
Contact Technical Service