Skip to Content
Merck
CN

MABT118

Anti-Desmoglein-1 Antibody, clone 32-2B

clone 32-2B, from mouse

Synonym(s):

Desmoglein-1, Desmosomal glycoprotein 1, DG1, DGI, Pemphigus foliaceus antigen

Sign In to View Organizational & Contract Pricing.

Select a Size


About This Item

UNSPSC Code:
12352203
NACRES:
NA.41
eCl@ss:
32160702
Conjugate:
unconjugated
Clone:
32-2B, monoclonal
Application:
ICC, IF, WB
Citations:
6
Technical Service
Need help? Our team of experienced scientists is here for you.
Let Us Assist
Technical Service
Need help? Our team of experienced scientists is here for you.
Let Us Assist

biological source

mouse

conjugate

unconjugated

antibody form

purified immunoglobulin

antibody product type

primary antibodies

clone

32-2B, monoclonal

species reactivity

human

species reactivity (predicted by homology)

bovine (immunogen homology)

technique(s)

immunocytochemistry: suitable, immunofluorescence: suitable, western blot: suitable

isotype

IgG2aκ

NCBI accession no.

UniProt accession no.

shipped in

wet ice

target post-translational modification

unmodified

Quality Level

Gene Information

human ... DSG1(1828)

General description

Desmoglein-1 (DSG1) is a transmembrane glycoprotein belonging to the family of cadherins. It is one of the main structural components of desmosomal junctions which are abundant in tissues undergoing frequent mechanical stress, such as the heart, epidermis, lymphatic endothelial cells, and meninges. The desmoglein-1 subtype is highly expressed in the epidermis. Like other cadherins, desmoglein-1 contains multiple calcium binding sites and a cell-adhesion recognition site which facilitates intercellular adhesions. Desmoglein-1 is regulated by calcium and PKCα signaling, and is also coupled to intermediate filaments of the cytoskeleton. Desmosomes play a critical role in cell and tissue stability, and may contribute to the progression of cancer.
~150 kDa observed. This protein may be glycosolated. Uniprot describes a molecular weight at ~112 kDa; however, Desmoglein-1 has been observed at ~150 kDa (Vilela, M. J., et al. (1995). J Cell Sci. 108(Pt 4):1743-1750.).

Immunogen

Bovine Desmoglein-1 from nasal epidermis

Application

Anti-Desmoglein-1, clone 32-2B detects levels of Desmoglein-1 proteins & has been published & validated for use in WB, IF, IHC & ICC.
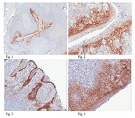
Immunohistochemistry Analysis: A 1:1,000 dilution from a representative lot detected Desmoglein-1 in human tonsil tissues.

Immunofluorescence Analysis: A 1:1,000 dilution from a representative lot detected Desmoglein-1 in human tonsil tissues.

Western Blot Analysis: A representative lot from an independent laboratory detected Desmoglein-1 in bovine epidermal desmosomal cores and in human keratinocyte cell lysates. (Vilela, M. J., et al. (1995). J Cell Sci. 108(Pt 4):1743-1750.).

Immunofluorescent Analysis: A representative lot from an independent laboratory detected Desmoglein-1 in MDCK cells (Vilela, M. J., et al. (1995). J Cell Sci. 108(Pt 4):1743-1750.).

Immunohistochemistry Analysis: A representative lot from an independent laboratory detected Desmoglein-1 in human epidermal tissue (Maruani, A., et al. (2008). Am J Clin Pathol. 130(3):369-374.).
Research Category
Cell Structure
Research Sub Category
ECM Proteins

Physical form

Format: Purified
Protein G Purified
Purified mouse monoclonal IgG2aκ in buffer containing 0.1 M Tris-Glycine (pH 7.4), 150 mM NaCl with 0.05% sodium azide.

Preparation Note

Stable for 1 year at 2-8°C from date of receipt.

Analysis Note

Control
Human tonsil tissue lysate.
Evaluated by Western Blot in human tonsil tissue lysate.

Western Blot Analysis: 0.5 µg/mL of this antibody detected Desmoglein-1 in 10 µg of human tonsil tissue lysate.

Other Notes

Concentration: Please refer to the Certificate of Analysis for the lot-specific concentration.

Disclaimer

Unless otherwise stated in our catalog or other company documentation accompanying the product(s), our products are intended for research use only and are not to be used for any other purpose, which includes but is not limited to, unauthorized commercial uses, in vitro diagnostic uses, ex vivo or in vivo therapeutic uses or any type of consumption or application to humans or animals.

Not finding the right product?  

Try our Product Selector Tool.

Storage Class

12 - Non Combustible Liquids

wgk

WGK 1

flash_point_f

Not applicable

flash_point_c

Not applicable


Certificates of Analysis (COA)

Search for Certificates of Analysis (COA) by entering the products Lot/Batch Number. Lot and Batch Numbers can be found on a product’s label following the words ‘Lot’ or ‘Batch’.

Already Own This Product?

Find documentation for the products that you have recently purchased in the Document Library.

Visit the Document Library

Defri Rizaldy et al.
Experimental dermatology, 30(6), 792-803 (2021-01-18)
Primary cilia influence cell activity, and thus have a unique role in maintaining cell proliferation and differentiation. In atopic dermatitis (AD) and psoriasis, areas of skin inflammation exhibit dysregulated keratinocyte homeostasis. The role of primary cilia in these conditions remains
Christina-Marie Baumbach et al.
Mycoses, 63(9), 970-978 (2020-07-04)
Dermatophytoses rank among the most frequent communicable diseases in humans, and the zoonotic transmission is increasing. The zoophilic dermatophyte Trichophyton (T.) benhamiae is nowadays one of the main causes of tinea faciei et corporis in children. However, scientific data on

Related Content

New Products: Antibodies, Assays, Small Molecules, Inhibitors, and Proteins

Our team of scientists has experience in all areas of research including Life Science, Material Science, Chemical Synthesis, Chromatography, Analytical and many others.

Contact Technical Service