Skip to Content
Merck
CN

MABN88

Anti-K+/Cl- Cotransporter (KCC2) Antibody, clone N1/12

clone N1/12, from mouse

Synonym(s):

Electroneutral potassium-chloride cotransporter 2, Erythroid K-Cl cotransporter 2, Neuronal K-Cl cotransporter, electroneural potassium-chloride cotransporter 2, solute carrier family 12, potassium-chloride transporter), member 5

Sign In to View Organizational & Contract Pricing.

Select a Size


About This Item

UNSPSC Code:
12352203
NACRES:
NA.41
eCl@ss:
32160702
Conjugate:
unconjugated
Clone:
N1/12, monoclonal
Application:
IHC
Citations:
6
Technical Service
Need help? Our team of experienced scientists is here for you.
Let Us Assist
Technical Service
Need help? Our team of experienced scientists is here for you.
Let Us Assist

biological source

mouse

conjugate

unconjugated

antibody form

purified immunoglobulin

antibody product type

primary antibodies

clone

N1/12, monoclonal

species reactivity

rat, human

technique(s)

immunohistochemistry: suitable

isotype

IgG2aκ

NCBI accession no.

UniProt accession no.

shipped in

wet ice

target post-translational modification

unmodified

Quality Level

Gene Information

human ... SLC12A5(57468)
rat ... Slc12A5(171373)

General description

126 kDa Calculated
KCC2 is a member of the cation-chloride cotransporter gene family. It acts as a K-Cl cotransporter. KCCs normally lower intracellular chloride concentrations below the electrochemical equilibrium potential and depending on the chemical concentration gradients of potassium and chloride, KCC2 can operate as a net efflux or influx pathway. It is proposed to act as the main chloride extruder to promote fast hyperpolarizing postsynaptic inhibition in the brain. KCC2 is expressed at high levels in neurons throughout the nervous system and immunofluorescence shows that the protein is localized at inhibitory synapses of the spinal cord. Studies in mice have shown that KCC2 reduces GABA′s inhibitory signaling, resulting in motor defects, epilepsy, and anxiety-like behavior.

Immunogen

Epitope: Unknown
Recombinant protein corresponding to rat KCC2.

Application

Detect K+/Cl-Cotransporter (KCC2) using this Anti-K+/Cl-Cotransporter (KCC2) Antibody, clone N1/12 validated for use in IH.
Immunohistochemistry Analysis: 1:300 dilution from a previous lot detected KCC2 in rat hypothalamus tissue.
Research Category
Neuroscience
Research Sub Category
Ion Channels & Transporters

Biochem/physiol Actions

This antibody recognizes KCC2
Shown by an independent laboratory to react in human and mouse tissue. (UC Davis/NIH NeuroMab Facility Department of Neurobiology, Physiology and Behavior)

Physical form

Format: Purified
Protein G
Purified mouse monoclonal IgG2aκ in buffer containing 0.1 M Tris-Glycine (pH 7.4, 150 mM NaCl) with 0.05% sodium azide.

Preparation Note

Stable for 1 year at 2-8°C from date of receipt.

Analysis Note

Control
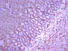
Rat cortex area A-3 tissue
Evaluated by Immunohistochemistry in rat cortex area A-3 tissue.

Immunohistochemistry Analysis: 1:300 dilution of this antibody detected KCC2 in rat cortex area A-3 tissue.

Other Notes

Concentration: Please refer to the Certificate of Analysis for the lot-specific concentration.

Disclaimer

Unless otherwise stated in our catalog or other company documentation accompanying the product(s), our products are intended for research use only and are not to be used for any other purpose, which includes but is not limited to, unauthorized commercial uses, in vitro diagnostic uses, ex vivo or in vivo therapeutic uses or any type of consumption or application to humans or animals.

Not finding the right product?  

Try our Product Selector Tool.

Storage Class

12 - Non Combustible Liquids

wgk

WGK 1

flash_point_f

Not applicable

flash_point_c

Not applicable


Certificates of Analysis (COA)

Search for Certificates of Analysis (COA) by entering the products Lot/Batch Number. Lot and Batch Numbers can be found on a product’s label following the words ‘Lot’ or ‘Batch’.

Already Own This Product?

Find documentation for the products that you have recently purchased in the Document Library.

Visit the Document Library

Daniella Thorsdottir et al.
Journal of neurophysiology, 126(4), 1209-1220 (2021-08-19)
Presympathetic neurons in the paraventricular nucleus of the hypothalamus (PVN) play a key role in cardiovascular regulation. We have previously shown that brain-derived neurotrophic factor (BDNF), acting in the PVN, increases sympathetic activity and blood pressure and serves as a
Marika Markkanen et al.
The Journal of comparative neurology, 522(8), 1897-1914 (2014-03-19)
The neuronal K-Cl cotransporter KCC2 maintains the low intracellular chloride concentration required for the fast hyperpolarizing actions of inhibitory neurotransmitters in mature central nervous system (CNS). The KCC2 gene produces two isoforms, KCC2a and KCC2b, that differ in their N-termini.
Sana Al Awabdh et al.
The Journal of neuroscience : the official journal of the Society for Neuroscience, 42(2), 166-182 (2021-11-24)
The K+-Cl- cotransporter KCC2, encoded by the Slc12a5 gene, is a neuron-specific chloride extruder that tunes the strength and polarity of GABAA receptor-mediated transmission. In addition to its canonical ion transport function, KCC2 also regulates spinogenesis and excitatory synaptic function
Vladimir Jovasevic et al.
Nature neuroscience, 18(9), 1265-1271 (2015-08-19)
Fear-inducing memories can be state dependent, meaning that they can best be retrieved if the brain states at encoding and retrieval are similar. Restricted access to such memories can present a risk for psychiatric disorders and hamper their treatment. To
Yuansong Wan et al.
The Journal of cell biology, 222(2) (2022-12-10)
Epilepsy is a common neurological disease worldwide, and one of its causes is genetic abnormalities. Here, we identified a point mutation in KIF4A, a member of kinesin superfamily molecular motors, in patients with neurological disorders such as epilepsy, developmental delay

Related Content

Signaling Product Guide: Antibodies, small molecule inhibitors, kits, assays and proteins for signaling research.

Our team of scientists has experience in all areas of research including Life Science, Material Science, Chemical Synthesis, Chromatography, Analytical and many others.

Contact Technical Service