Skip to Content
Merck
CN

MABF952

Anti-TNFRSF18 (soluble form) Antibody, clone T10P2H9*B9

clone T10P2H9*B9, from mouse

Synonym(s):

Tumor necrosis factor receptor superfamily member 18, Activation-inducible TNFR family receptor, Glucocorticoid-induced TNFR-related protein, GITR, CD357

Sign In to View Organizational & Contract Pricing.

Select a Size


About This Item

UNSPSC Code:
12352203
NACRES:
NA.41
eCl@ss:
32160702
Conjugate:
unconjugated
Clone:
T10P2H9*B9, monoclonal
Application:
IHC, WB
Citations:
-
Technical Service
Need help? Our team of experienced scientists is here for you.
Let Us Assist
Technical Service
Need help? Our team of experienced scientists is here for you.
Let Us Assist

biological source

mouse

conjugate

unconjugated

antibody form

purified immunoglobulin

antibody product type

primary antibodies

clone

T10P2H9*B9, monoclonal

species reactivity

human

technique(s)

immunohistochemistry: suitable (paraffin), western blot: suitable

isotype

IgG1κ

NCBI accession no.

UniProt accession no.

shipped in

ambient

target post-translational modification

unmodified

Quality Level

Gene Information

human ... TNFRSF18(8784)

General description

Tumor necrosis factor receptor superfamily member 18 (UniProt: Q9Y5U5; also known as Activation-inducible TNFR family receptor, Glucocorticoid-induced TNFR-related protein, CD357, TNFRSF18) is encoded by the TNFRSF18 (also known as AITR, GITR, UNQ319/PRO364) gene (Gene ID: 8784) in human. TNFRSF18 is a single pass membrane glycoprotein of the TNFR family. TNFRSF18 is synthesized with a signal peptide of 25 amino acids that is further processed. The mature form contains 3 TNFR-Cys repeats. It is expressed in lymph node, peripheral blood leukocytes and weakly in spleen and is up-regulated in peripheral mononuclear cells after antigen stimulation/lymphocyte activation. The soluble form of TNFESF18 lacks a transmembrane domain. TNFRSF18 binds to TRAF1, TRAF2, and TRAF3, but not to TRAF5 and TRAF6. TNFRSF18 is reported to be involved in interactions between activated T-lymphocytes and endothelial cells and in the regulation of T-cell receptor-mediated cell death. Ligation of TNFRSF18 is shown to activate NF-kappa B through TRAF2 and protect T cells from TCR activation-induced cell death.
~23 kDa observed; 26.83 kDa calculated.. Uncharacterized bands may be observed in some lysate(s).

Immunogen

Ovalbumin-conjugated linear peptide corresponding to 9 amino acids from isoform 2 of human TNFRSF18.

Application

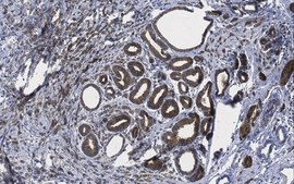
Immunohistochemistry Analysis: A representative lot detected TNFRSF18 (soluble form) in human lymph node tissues. (Courtesy of Dr Beatriz Cash, Chief Technology Officer at Vertebrate Antibodies Limited).

Immunohistochemistry Analysis: A 1:250 dilution from a representative lot detected TNFRSF18 (soluble form) in human breast cancer tissue.
Research Category
Inflammation & Immunology
This mouse monoclonal Anti-TNFRSF18 (soluble form) Antibody, clone T10P2H9*B9, Cat. No. MABF952, is tested in Immunohistochemistry (Paraffin) and Western Blotting for the detection of TNFRSF18.

Biochem/physiol Actions

Clone T10P2H9*B9 specifically detects the soluble form of TNFRSF18 in MCF-7 cells. It recognizes an epitope of 9 amino acids in the C-terminal region of isoform 2 of TNFRSF18.

Physical form

Format: Purified
Protein G
Purified mouse monoclonal antibody IgG1 in buffer containing 0.1 M Tris-Glycine (pH 7.4), 150 mM NaCl with 0.05% sodium azide.

Preparation Note

Stable for 1 year at 2-8°C from date of receipt.

Analysis Note

Evaluated by Western Blotting in MCF-7 cell lysate.

Western Blotting Analysis: A 1:250 dilution of this antibody detected TNFRSF18 (soluble form) in 50 µg of MCF-7 cell lysate.

Other Notes

Concentration: Please refer to lot specific datasheet.

Disclaimer

Unless otherwise stated in our catalog or other company documentation accompanying the product(s), our products are intended for research use only and are not to be used for any other purpose, which includes but is not limited to, unauthorized commercial uses, in vitro diagnostic uses, ex vivo or in vivo therapeutic uses or any type of consumption or application to humans or animals.

Not finding the right product?  

Try our Product Selector Tool.

Storage Class

12 - Non Combustible Liquids

wgk

WGK 1


Certificates of Analysis (COA)

Search for Certificates of Analysis (COA) by entering the products Lot/Batch Number. Lot and Batch Numbers can be found on a product’s label following the words ‘Lot’ or ‘Batch’.

Already Own This Product?

Find documentation for the products that you have recently purchased in the Document Library.

Visit the Document Library

Our team of scientists has experience in all areas of research including Life Science, Material Science, Chemical Synthesis, Chromatography, Analytical and many others.

Contact Technical Service