Skip to Content
Merck
CN

MABF2817

Anti-SARS-CoV-2 nucleocapsid NC1 Antibody, clone 6G3-G6

Synonym(s):

Nucleoprotein (UniProt: P0DTC9;also known as N;Nucleocapsid protein;NC;Protein N

Sign In to View Organizational & Contract Pricing.

Select a Size


About This Item

NACRES:
NA.43
UNSPSC Code:
12352203
Conjugate:
unconjugated
Clone:
6G3-G6, monoclonal
Application:
ICC, IP, WB
Citations:
-
Technical Service
Need help? Our team of experienced scientists is here for you.
Let Us Assist
Technical Service
Need help? Our team of experienced scientists is here for you.
Let Us Assist

biological source

mouse

conjugate

unconjugated

Quality Level

Gene Information

human ... GINS1(9837)

antibody product type

primary antibodies

clone

6G3-G6, monoclonal

mol wt

calculated mol wt 45.63 kDa, observed mol wt ~50 kDa

purified by

using protein G

species reactivity

SARS coronavirus

packaging

antibody small pack of 100 μg

technique(s)

immunocytochemistry: suitable, immunoprecipitation (IP): suitable, western blot: suitable

isotype

IgG1κ

epitope sequence

N-terminal half

Protein ID accession no.

UniProt accession no.

shipped in

ambient

target post-translational modification

unmodified

General description

Nucleoprotein (UniProt: P0DTC9; also known as Nucleocapsid protein, NC, Protein N) is encoded by the N gene (Gene ID: 1489678) in Human SARS-2 coronavirus. The SARS-CoV-2 (COVID-19 causing virus) is a positive-strand RNA virus that causes severe respiratory syndrome in human. The mature SARS-CoV-2 contains 4 structural proteins: Envelope (E), Membrane (M), Nucleocapsid (N), and the Spike protein (S). Nucleoprotein of SARS-CoV-2 is an homooligomeric protein that packages the positive strand viral genome RNA into helical ribonucleocapsid and plays a role in virion assembly through its interactions with the viral genome and membrane protein M. It plays an important role in enhancing the efficiency of subgenomic viral RNA transcription as well as viral replication. Nucleocapsid protein can be divided into five domains: an intrinsically disordered N-terminal domain (NTD), an RNA-binding domain (RBD), a predicted disordered central linker (LINK), a dimerization domain, and a disordered C-terminal domain. The NTD is thought to mediate a specific interaction with the viral genome s packaging signal, and the CTD forms a compact dimer that has been proposed to aid vRNP assembly. The RNA binding region of SARS-CoV-2 is localized to amino acids 41-186 and the dimerization domain resides in amino acids 258-361. The complete N protein of SARS- COV-2 is a highly basic with positive net charges and high pI (10.11). Its N-terminal region is more basic with positive charge, while the C-terminal region is acidic with negative charge. The middle region of nucleoprotein displays relatively higher hydrophobicity and the two termini display greater hydrophilicity. Nucleoprotein can undergo phosphorylation at multiple serines by GSK-3, CKII, Akt, CDKs, and Polo-like kinases. Some of these phosphorylation events are essential for RNA binding, oligomerization and localization to nucleoli. Phosphorylation is also required for recruitment of host RNA helicase DDX1 (DEAD-Box Helicase 1) that facilitates template readthrough and enables longer subgenomic mRNA synthesis. (Ref.: Cubuk, J., et al. (2021). Nat. Commun. 12; Article number: 1936; Lu, S., et al. (2021). Nat. Commun . 12; Article number 502; Miranda, J., et al. (2021). Mol. Med. 27; Article 161).

Immunogen

His-tagged full-length recombinant Nucleocapsid protein of SARS-CoV-2.

Application

Quality Control Testing

Evaluated by Western Blotting in lysate from HEK293T cells expressing SARS-CoV-2-Nucleocapsid NC1 protein.

Western Blotting Analysis (WB): A 1:1,000 dilution of this antibody detected Nucleoprotein NC1 in lysate from HEK293T cells expressing SARS-CoV-2 nucleocapsid NC1, but not in lysates from wild-type HEK293T cells or from HEK293T cells expressing the Spike protein.

Tested Applications

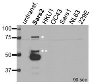
Western Blotting Analysis: A 1:2,000 dilution from a representative lot detected Nucleoprotein in Whole cell lysates of HEK293T expressing the nucleocapsid (NC) proteins of the indicated human coronaviruses (Data courtesy of Dr. Stefan Schüchner, Dr. Egon Ogris, Max Perutz Labs, Medical University of Vienna, Austria).

Immunocytochemistry Analysis: A representative lot detected Nucleoprotein in HeLa cells transiently transfected with SARS-CoV-2 NC-P2A-GFP (Data courtesy of Dr. Stefan Schüchner, Dr. Egon Ogris, Max Perutz Labs, Medical University of Vienna, Austria).

Immunoprecipitation Analysis: A representative lot detected Nucleoprotein in with the indicated monoclonal antibodies from whole cell lysate of HEK293T cells expressing Sars-CoV-2-NC-P2A GFP (Data courtesy of Dr. Stefan Schüchner, Dr. Egon Ogris, Max Perutz Labs, Medical University of Vienna, Austria).

Note: Actual optimal working dilutions must be determined by end user as specimens, and experimental conditions may vary with the end user
Anti-SARS-CoV-2 nucleocapsid NC1 fragment, clone 6G3-G6, Cat. No. MABF2817, is a mouse monoclonal antibody that detects Nucleoprotein and is tested for use in Immunocytochemistry, Immunoprecipitation, and Western Blotting.

Biochem/physiol Actions

Clone 6G3-G6 is a mouse monoclonal antibody that detects Nucleocapsid protein of SARS-CoV-2. It targets an epitope within the NC1 region.

Physical form

Purified mouse monoclonal antibody IgG1 in buffer containing 0.1 M Tris-Glycine (pH 7.4), 150 mM NaCl with 0.05% sodium azide

Preparation Note

Recommended storage: +2°C to +8°C.

Other Notes

Concentration: Please refer to the Certificate of Analysis for the lot-specific concentration.

Disclaimer

Unless otherwise stated in our catalog or other company documentation accompanying the product(s), our products are intended for research use only and are not to be used for any other purpose, which includes but is not limited to, unauthorized commercial uses, in vitro diagnostic uses, ex vivo or in vivo therapeutic uses or any type of consumption or application to humans or animals.

Not finding the right product?  

Try our Product Selector Tool.

Storage Class

12 - Non Combustible Liquids

wgk

WGK 1

flash_point_f

Not applicable

flash_point_c

Not applicable

Regulatory Information

新产品
This item has

Certificates of Analysis (COA)

Search for Certificates of Analysis (COA) by entering the products Lot/Batch Number. Lot and Batch Numbers can be found on a product’s label following the words ‘Lot’ or ‘Batch’.

Already Own This Product?

Find documentation for the products that you have recently purchased in the Document Library.

Visit the Document Library

Our team of scientists has experience in all areas of research including Life Science, Material Science, Chemical Synthesis, Chromatography, Analytical and many others.

Contact Technical Service