Skip to Content
Merck
CN

MABF242

Anti-LST1, clone 7E2 Antibody

clone 7E2, 1 mg/mL, from rat

Synonym(s):

Leukocyte-specific transcript 1 protein, Protein B144

Sign In to View Organizational & Contract Pricing.

Select a Size


About This Item

UNSPSC Code:
12352203
NACRES:
NA.41
eCl@ss:
32160702
Conjugate:
unconjugated
Clone:
7E2, monoclonal
Application:
WB
Citations:
-
Technical Service
Need help? Our team of experienced scientists is here for you.
Let Us Assist
Technical Service
Need help? Our team of experienced scientists is here for you.
Let Us Assist

biological source

rat

conjugate

unconjugated

antibody form

purified antibody

antibody product type

primary antibodies

clone

7E2, monoclonal

species reactivity

human

concentration

1 mg/mL

technique(s)

western blot: suitable

isotype

IgG2bκ

NCBI accession no.

UniProt accession no.

shipped in

wet ice

target post-translational modification

unmodified

Quality Level

Gene Information

human ... SLCO1B1(10599)

General description

LST1, also known as Leukocyte-specific transcript 1 protein, Protein B144, and encoded by the gene LST1/B144, is an interesting protein expressed in many tissues in both the developing fetus as well as the adult. Over-expression induces morphological changes in many cells types that include the production of filopodia and microspikes. LST1 is also involved in dendritic cell maturation and also has anti-proliferation activity on lymphocyte proliferation. LST1 is localized to internal and Golgi membranes and is primarily a single-pass membrane bound protein. Recent research also demonstrates that LST1 is important for the assembly of tunneling nanotubes, a recently discovered new mechanism of cell-cell communication. LST1 induces nanotube formation by recruiting the small GTPase RalA to the plasma membrane and promoting its interaction with the exocyst complex. Furthermore, LST1 recruits the actin-crosslinking protein filamin to the plasma membrane and interacts with M-Sec, myosin and myoferlin, and this suggests a molecular model for nanotube generation and LST1’s essential role in their formation and maintenance.
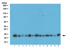
~26 kDa observed. The target is universal expressed, not leukocytes specific LST1 forms dimers through disulfide bridges.

Immunogen

His-tagged recombinant protein corresponding to human LST1.

Application

Anti-LST1 antibody, clone 7E2 detects level of LST1 & has been published & validated for use in LST1.
Research Category
Inflammation & Immunology
Research Sub Category
Immunological Signaling
Western Blotting Analysis: 1.0 µg/mL from a representative lot detected LST1 in 10 µg of human brain, human lung, human liver, human kidney, human skin, human spleen, human thymus, human pancreas, human ovary, human testis, human small intestine, human parathyroid, and human adrenal gland tissue lysate.
Western Blotting Analysis: A representative lot detected LST1 in HeLa cell lysate (Schiller, C., et al. (2009). Hybridoma. 28(4):281-286).

Physical form

Format: Purified
Protein G Purified
Purified rat monoclonal IgG2bκ in buffer containing 0.1 M Tris-Glycine (pH 7.4), 150 mM NaCl with 0.05% sodium azide.

Preparation Note

Stable for 1 year at 2-8°C from date of receipt.

Analysis Note

Evaluated by Western Blotting in human heart tissue lysate.

Western Blotting Analysis: 1.0 µg/mL of this antibody detected LST1 in 10 µg of human heart tissue lysate.

Disclaimer

Unless otherwise stated in our catalog or other company documentation accompanying the product(s), our products are intended for research use only and are not to be used for any other purpose, which includes but is not limited to, unauthorized commercial uses, in vitro diagnostic uses, ex vivo or in vivo therapeutic uses or any type of consumption or application to humans or animals.

Not finding the right product?  

Try our Product Selector Tool.

Storage Class

12 - Non Combustible Liquids

wgk

WGK 1

flash_point_f

Not applicable

flash_point_c

Not applicable


Certificates of Analysis (COA)

Search for Certificates of Analysis (COA) by entering the products Lot/Batch Number. Lot and Batch Numbers can be found on a product’s label following the words ‘Lot’ or ‘Batch’.

Already Own This Product?

Find documentation for the products that you have recently purchased in the Document Library.

Visit the Document Library

Our team of scientists has experience in all areas of research including Life Science, Material Science, Chemical Synthesis, Chromatography, Analytical and many others.

Contact Technical Service