Skip to Content
Merck
CN

MABE938

Anti-Acetylated Nucleophosmin Antibody, clone 31M1

clone 31M1, from mouse

Synonym(s):

Nucleophosmin, NPM, Nucleolar phosphoprotein B23, Nucleolar protein NO38, Numatrin, K229, K230

Sign In to View Organizational & Contract Pricing.

Select a Size


About This Item

UNSPSC Code:
12352203
NACRES:
NA.41
eCl@ss:
32160702
Technical Service
Need help? Our team of experienced scientists is here for you.
Let Us Assist
Technical Service
Need help? Our team of experienced scientists is here for you.
Let Us Assist

biological source

mouse

antibody form

purified antibody

antibody product type

primary antibodies

clone

31M1, monoclonal

species reactivity

human

technique(s)

immunocytochemistry: suitable, immunohistochemistry: suitable (paraffin), western blot: suitable

isotype

IgG1κ

NCBI accession no.

UniProt accession no.

shipped in

wet ice

target post-translational modification

acetylation (Lys229/Lys230)

Gene Information

human ... NPM1(4869)

General description

33 kDa calculated
Nucleophosmin/B23 is a major nucleolar phosphoprotein that is mainly located within the nucleolar granular compartment, where preribosomes are assembled. Nucleophosmin/B23 is a multifunctional protein that is overexpressed in actively proliferating cells and cancer cells. Antibodies against B23 might be useful for recognition of human peripheral lymphocytes at early stages of their activation for proliferation, preceding the S-phase. By parallel immunolabeling with the anti-Ki-67 antibody, it was shown that the early changes of B23 amount and localization occurred before an appearance of Ki-67 protein, a well-known marker of proliferating cells.

Immunogen

Linear peptide corresponding to human Acetylated Nucleophosmin.

Application

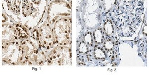
Immunohistochemistry Analysis: A 1:250 dilution from a representative lot detected Acetylated Nucleophosmin in kidney tissue.
Western Blotting Analysis: A representative lot detected Acetylated Nucleophosmin in acetylated and non-acetylated (mock acetylation control) forms of recombinant NPM1 and whole cell extract of HEK293T cell line (Prof. T K Kundu, Nehru Centre for Advanced Scientific Research, JNCASR).
Immunocytochemistry Analysis: A representative lot detected Acetylated Nucleophosmin in HEK293 cells (Prof. T K Kundu, Nehru Centre for Advanced Scientific Research, JNCASR).
Immunohistochemistry Analysis: A representative lot detected Acetylated Nucleophosmin in paraffin embedded sections of human oral cancer tissue and adjacent normal tissue (Prof. T K Kundu, Nehru Centre for Advanced Scientific Research, JNCASR).
Research Category
Epigenetics & Nuclear Function
Research Sub Category
Nuclear Receptors
This Anti-Acetylated Nucleophosmin Antibody, clone 31M1 is validated for use in Immunohistochemistry (Paraffin) and Western Blotting and Immunocytochemistry for the detection of Acetylated Nucleophosmin.

Physical form

Format: Purified
Protein G Purified
Purified mouse monoclonal IgG1κ in buffer containing 0.1 M Tris-Glycine (pH 7.4), 150 mM NaCl with 0.05% sodium azide.

Preparation Note

Stable for 1 year at 2-8°C from date of receipt.

Analysis Note

Evaluated by Immunohistochemistry in human kidney tissue.

Immunohistochemistry Analysis: A 1:50 dilution of this antibody detected Acetylated Nucleophosmin in kidney tissue.

Other Notes

Concentration: Please refer to lot specific datasheet.

Disclaimer

Unless otherwise stated in our catalog or other company documentation accompanying the product(s), our products are intended for research use only and are not to be used for any other purpose, which includes but is not limited to, unauthorized commercial uses, in vitro diagnostic uses, ex vivo or in vivo therapeutic uses or any type of consumption or application to humans or animals.

Not finding the right product?  

Try our Product Selector Tool.

Storage Class

12 - Non Combustible Liquids

wgk

WGK 1

flash_point_f

Not applicable

flash_point_c

Not applicable


Certificates of Analysis (COA)

Search for Certificates of Analysis (COA) by entering the products Lot/Batch Number. Lot and Batch Numbers can be found on a product’s label following the words ‘Lot’ or ‘Batch’.

Already Own This Product?

Find documentation for the products that you have recently purchased in the Document Library.

Visit the Document Library

Our team of scientists has experience in all areas of research including Life Science, Material Science, Chemical Synthesis, Chromatography, Analytical and many others.

Contact Technical Service