Skip to Content
Merck
CN

MABE1112

Anti-PRMT9 Antibody, clone 128-29-1

clone 128-29-1, from mouse

Synonym(s):

Putative protein arginine N-methyltransferase 9, Putative protein arginine N-methyltransferase 10

Sign In to View Organizational & Contract Pricing.

Select a Size


About This Item

UNSPSC Code:
12352203
NACRES:
NA.41
eCl@ss:
32160702
Conjugate:
unconjugated
Clone:
128-29-1, monoclonal
Application:
ICC, IHC, IP, WB
Citations:
1
Technical Service
Need help? Our team of experienced scientists is here for you.
Let Us Assist
Technical Service
Need help? Our team of experienced scientists is here for you.
Let Us Assist

biological source

mouse

conjugate

unconjugated

antibody form

purified immunoglobulin

antibody product type

primary antibodies

clone

128-29-1, monoclonal

species reactivity

human

should not react with

mouse

technique(s)

immunocytochemistry: suitable, immunohistochemistry: suitable, immunoprecipitation (IP): suitable, western blot: suitable

isotype

IgG1κ

NCBI accession no.

UniProt accession no.

target post-translational modification

unmodified

Quality Level

Gene Information

human ... PRMT9(90826)

General description

Putative protein arginine N-methyltransferase 9 (UniProt Q6P2P2; also known as Putative protein arginine N-methyltransferase 10) is encoded by the PRMT9 (also known as PRMT10) gene (Gene ID 90826) in human. Mammalian protein arginine methyltransferases (PRMTs) catalyze the methylation of arginine residues on histone and non-histone proteins. PRMTs are divided into three types based on their mode of activity. Type I PRMTs (PRMT1–4, PRMT6, and PRMT8) transfer up to two methyl groups on the same terminal guanidino nitrogen of arginine to form ω-NG-monomethylarginine (MMA) and ω-NG,NG-asymmetric dimethylarginine (ADMA) residues. Type II PRMTs (PRMT5 and PRMT9) transfer methyl groups on different terminal guanidino nitrogens to form ΜΜΑ and ω-NG,N′G-symmetric dimethylarginine (SDMA) residues, while type III PRMT7 transfers only one single methyl group to form MMA residues. PRMT9 is involved in alternative splicing regulation by modulating spliceosomal small nuclear ribonucleoprotein (snRNP) maturation in the cytoplasm. PRMT9 complexes with the splicing factors SF3B2 (SAP145) and SF3B4 (SAP49) and mediates SF3B2 Arg508 modification via MMA and SDMA. Similar to PRMT7, but unlike other PRMTs, PRMT9 contains a duplicated methyltransferase domain (a.a. 137-446 and 530-845), with the N-terminal MTase acting as a funtional AdoMet-binding domain and the C-terminal MTase domain serving a pseudodimer function, mimicking the homodimer formation of other PRMTs needed for subtrate processing. In addition, PRMT9 contains three tetratricopeptide repeats (TPR1-3; a.a. 25-58, 67-100, 101-134) known to mediate protein-protein interactions.
~94 kDa observed. 94.50 kDa (isoform 1) and 81.86 kDa (isoform 2) calculated. Uncharacterized band(s) may appear in some lysates.

Immunogen

Epitope: First MTase domain.
GST-tagged recombinant protein corresponding to the N-terminal half of human PRMT9.

Application

Anti-PRMT9 Antibody, clone 128-29-1 is an antibody against PRMT9 for use in Western Blotting, Immunohistochemistry, Immunoprecipitation, Immunocytochemistry.
Research Category
Epigenetics & Nuclear Function
Research Sub Category
General Post-translation Modification
Western Blotting Analysis: 2.0 µg/mL from a representative lot detected PRMT9 in 20 µg of HeLa cell lysate.
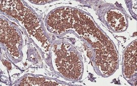
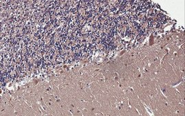
Immunohistochemistry Analysis: A 1:50 dilution from a representative lot detected PRMT9 in human kidney, testis, and cerebellum tissue sections.
Immunocytochemistry Analysis: A representative lot detected a predominant cyotoplasmic PRMT9 localization by fluorescent immunocytochemistry staining of 4% paraformaldehyde-fixed HeLa cells (Yang, Y., et al. (2015). Nat. Commun. 6:6428).
Immunoprecipitation Analysis: A representative lot immunoprecipitated PRMT9 from HeLa cell lysates (Yang, Y., et al. (2015). Nat. Commun. 6:6428).
Western Blotting Analysis: A representative lot detected GST fusion protein containing human PRMT9 a.a. 401-550 recombinant fragment, but not PRMT9 a.a. 1-199, 200-400, or 551-895 GST fusion (Yang, Y., et al. (2015). Nat. Commun. 6:6428).
Western Blotting Analysis: A representative lot detected human, but not mouse, PRMT9 using lysates from various human and mouse cell lines (Yang, Y., et al. (2015). Nat. Commun. 6:6428).

Biochem/physiol Actions

Clone detected GST fusion containing recombinant human PRMT9 fragment a.a. 401-550, as well as endogenous human, but not mouse, PRMT9 in cell lysates (Yang, Y., et al. (2015). Nat. Commun. 6:6428). Epitope region is present in both spliced isoforms of human PRMT9 reported by UniProt (Q6P2P2).

Physical form

Format: Purified
Protein G Purified
Purified mouse monoclonal IgG1κ antibody in buffer containing 0.1 M Tris-Glycine (pH 7.4), 150 mM NaCl with 0.05% sodium azide.

Preparation Note

Stable for 1 year at 2-8°C from date of receipt.

Analysis Note

Evaluated by Western Blotting in A431 cell lysate.

Western Blotting Analysis: 2.0 µg/mL of this antibody detected PRMT9 in 20 µg of A431 cell lysate.

Other Notes

Concentration: Please refer to lot specific datasheet.

Disclaimer

Unless otherwise stated in our catalog or other company documentation accompanying the product(s), our products are intended for research use only and are not to be used for any other purpose, which includes but is not limited to, unauthorized commercial uses, in vitro diagnostic uses, ex vivo or in vivo therapeutic uses or any type of consumption or application to humans or animals.

Not finding the right product?  

Try our Product Selector Tool.

Storage Class

12 - Non Combustible Liquids

wgk

WGK 1

flash_point_f

Not applicable

flash_point_c

Not applicable


Certificates of Analysis (COA)

Search for Certificates of Analysis (COA) by entering the products Lot/Batch Number. Lot and Batch Numbers can be found on a product’s label following the words ‘Lot’ or ‘Batch’.

Already Own This Product?

Find documentation for the products that you have recently purchased in the Document Library.

Visit the Document Library

Ishita Rehman et al.
Nucleic acids research, 46(11), 5601-5617 (2018-05-03)
Human tyrosyl-DNA phosphodiesterases (TDP) hydrolyze the phosphodiester bond between DNA and the catalytic tyrosine of Top1 to excise topoisomerase I cleavage complexes (Top1cc) that are trapped by camptothecin (CPT) and by genotoxic DNA alterations. Here we show that the protein

Our team of scientists has experience in all areas of research including Life Science, Material Science, Chemical Synthesis, Chromatography, Analytical and many others.

Contact Technical Service