Skip to Content
Merck
CN

MABD136

Anti-Wnt-5a Antibody, clone 6F2

ascites fluid, clone 6F2, from mouse

Synonym(s):

Protein Wnt-5a

Sign In to View Organizational & Contract Pricing.

Select a Size


About This Item

UNSPSC Code:
12352203
NACRES:
NA.41
eCl@ss:
32160702
Conjugate:
unconjugated
Clone:
6F2, monoclonal
Application:
IF, IHC, WB
Citations:
-
Technical Service
Need help? Our team of experienced scientists is here for you.
Let Us Assist
Technical Service
Need help? Our team of experienced scientists is here for you.
Let Us Assist

biological source

mouse

conjugate

unconjugated

antibody form

ascites fluid

antibody product type

primary antibodies

clone

6F2, monoclonal

species reactivity

human, rat

technique(s)

immunofluorescence: suitable, immunohistochemistry: suitable, western blot: suitable

isotype

IgG1

UniProt accession no.

shipped in

wet ice

target post-translational modification

unmodified

Quality Level

Gene Information

human ... WNT5A(7474)

General description

The Wnt family of cysteine-rich proteins constitutes a group of ligands known for their roles in development such as cell differentiation, proliferation, migration and embryonic patterning. They have also been implicated in the formation of tumors. Wnts are involved in the stimulation of several signaling cascades that have been divided into two types; the canonical pathway, and the non-canonical pathway. Wnt-5a is considered to be a non-canonical ligand for the Wnt signaling pathway and is a ligand to the frizzled family of seven transmembrane receptors. When interacting with ROR2, Wnt-5a is considered to inhibit tumor formation due to Wnt-5a’s suppression of the canonical Wnt signaling pathway. Wnt-5a is involved in activating cell migration, regulating the motility of melanoma cells, decreasing the proliferation, chondrogenesis, and migration of carcinoma cells, and inhibiting the expression of type II collagen in chondrocytes. Wnt-5a is a requirement to the endothelial differentiation and vascularization of Embryonic Stem Cells, and is also necessary to the development of mammary glands, limb outgrowth, and the genital tubercle.
~70 kDa observed

Immunogen

Purified recombinant fragment of human Wnt-5a expressed in E. Coli.

Application

Detect Wnt-5a using this mouse monoclonal antibody, Anti-Wnt-5a Antibody, clone 6F2 validated for use in western blotting, Immunofluorescence & IHC.
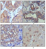
Immunohistochemistry Analysis: A 1:200-1,000 dilution from a representative lot detected Wnt-5a in human lung cancer, thyroid cancer, lymph node, and brain tissues.

Immunofluorescence Analysis: A 1:200-1,000 dilution from a representative lot detected Wnt-5a in PC-12 cells.

Optimal working dilutions must be determined by end user.
Research Category
Stem Cell Research
Research Sub Category
Pluripotent & Early Differentiation

Physical form

Mouse monoclonal IgG1 ascitic fluid containing up to 0.1% sodium azide.
Unpurified

Preparation Note

Stable for 1 year at 2-8°C from date of receipt.

Analysis Note

Control
Wnt-5a-hIgGFc transfected HEK293 cell lysate
Evaluated by Western Blotting in Wnt-5a-hIgGFc transfected HEK293 cell lysate.

Western Blotting Analysis: A 1:500-2000 dilution of this antibody detected Wnt-5a in Wnt-5a-hIgGFc transfected HEK293 cell lysate.

Disclaimer

Unless otherwise stated in our catalog or other company documentation accompanying the product(s), our products are intended for research use only and are not to be used for any other purpose, which includes but is not limited to, unauthorized commercial uses, in vitro diagnostic uses, ex vivo or in vivo therapeutic uses or any type of consumption or application to humans or animals.

Not finding the right product?  

Try our Product Selector Tool.

Storage Class

12 - Non Combustible Liquids

wgk

nwg

flash_point_f

Not applicable

flash_point_c

Not applicable


Certificates of Analysis (COA)

Search for Certificates of Analysis (COA) by entering the products Lot/Batch Number. Lot and Batch Numbers can be found on a product’s label following the words ‘Lot’ or ‘Batch’.

Already Own This Product?

Find documentation for the products that you have recently purchased in the Document Library.

Visit the Document Library

Our team of scientists has experience in all areas of research including Life Science, Material Science, Chemical Synthesis, Chromatography, Analytical and many others.

Contact Technical Service