Sign In to View Organizational & Contract Pricing.
Select a Size
About This Item
UNSPSC Code:
12352203
NACRES:
NA.41
eCl@ss:
32160702
Conjugate:
unconjugated
Clone:
4E3, monoclonal
Application:
IHC, WB
Citations:
5
biological source
mouse
conjugate
unconjugated
antibody form
ascites fluid
antibody product type
primary antibodies
clone
4E3, monoclonal
species reactivity
human, rat, mouse
technique(s)
immunohistochemistry: suitable, western blot: suitable
isotype
IgG1
NCBI accession no.
UniProt accession no.
shipped in
wet ice
target post-translational modification
unmodified
Quality Level
Gene Information
human ... HSPA5(3309)
General description
The gene HSPA5 encodes a protein named GRP-78 (78 kDa glucose-regulated protein) also known as BiP (immunoglobulin heavy chain-binding protein) or heat shock 70 kDa protein 5. While originally discovered as one of set of genes that were induced upon cellular starvation and stress, HSPA5 encoded GRP-78 is now known to be an important member of the heat-shock family of proteins. The HSPA5 encoded GRP-78 protein appears to play a role in helping in the assembly of multimeric protein complexes in the endoplasmic reticulum (ER). Cellular localization is in the endoplasmic reticulum lumen and appears as cytoplasmic-like staining. The HSPA5 encoded protein is an essential component of the translocation processes within the endoplasmic reticulum and also functions in the retrograde transport across the ER membrane of incorrectly folded proteins destined to be degraded by the ubiquitin proteasome system. The HSPA5 encoded protein, while widely expressed in all cells types under normal conditions, is particularly induced under conditions of cellular stress, heat, or toxins and conditions which lead to the accumulation of unfolded proteins in the ER. EMD-Millipore’s Anti-HSPA5 protein mouse monoclonal antibody, clone 4E3, has been tested by western blot in human HeLa and Jurkat cell lysates as well as mouse NIH3T3 cell lysates. The clone has also been successfully tested in immunohistochemistry in human, paraffin-embedded, thyroid tissues.
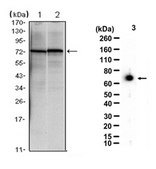
~72 kDa observed. Uncharacterized bands may appear in some lysate(s).
Immunogen
Purified recominant fragment of human HSPA5 expressed in E. coli.
Application
Anti-HSPA5 Antibody, clone 4E3 is a highly specific mouse monoclonal antibody, that targets GRP-78 & has been tested in western blotting & IHC.
Research Category
Apoptosis & Cancer
Apoptosis & Cancer
Research Sub Category
Apoptosis - Additional
Apoptosis - Additional
Western Blotting Analysis: A 1:500-2,000 dilution of this antibody detected HSPA5 in 10 µg of NIH/3T3, Jurkat, and A431 cell lysates.
Immunohistochemistry Analysis: A 1:1,000 dilution from a representative lot detected HSPA5 in rat cerebellum, rat pons/midbrain, rat hippocampus, and human thyroid tissues.
Optimal working dilutions must be determined by end user.
Immunohistochemistry Analysis: A 1:1,000 dilution from a representative lot detected HSPA5 in rat cerebellum, rat pons/midbrain, rat hippocampus, and human thyroid tissues.
Optimal working dilutions must be determined by end user.
Physical form
Mouse monoclonal IgG2b ascitic fluid containing up to 0.1% sodium azide.
Unpurified
Preparation Note
Stable for 1 year at -20°C from date of receipt.
Handling Recommendations: Upon receipt and prior to removing the cap, centrifuge the vial and gently mix the solution. Aliquot into microcentrifuge tubes and store at -20°C. Avoid repeated freeze/thaw cycles, which may damage IgG and affect product performance.
Handling Recommendations: Upon receipt and prior to removing the cap, centrifuge the vial and gently mix the solution. Aliquot into microcentrifuge tubes and store at -20°C. Avoid repeated freeze/thaw cycles, which may damage IgG and affect product performance.
Analysis Note
Control
HeLa cell lysate
HeLa cell lysate
Evaluated by Western Blotting in HeLa cell lysate.
Western Blotting Analysis: A 1:500 dilution of this antibody detected HSPA5 in 10 µg of HeLa cell lysate.
Western Blotting Analysis: A 1:500 dilution of this antibody detected HSPA5 in 10 µg of HeLa cell lysate.
Disclaimer
Unless otherwise stated in our catalog or other company documentation accompanying the product(s), our products are intended for research use only and are not to be used for any other purpose, which includes but is not limited to, unauthorized commercial uses, in vitro diagnostic uses, ex vivo or in vivo therapeutic uses or any type of consumption or application to humans or animals.
Not finding the right product?
Try our Product Selector Tool.
Storage Class
12 - Non Combustible Liquids
wgk
nwg
flash_point_f
Not applicable
flash_point_c
Not applicable
Certificates of Analysis (COA)
Search for Certificates of Analysis (COA) by entering the products Lot/Batch Number. Lot and Batch Numbers can be found on a product’s label following the words ‘Lot’ or ‘Batch’.
Already Own This Product?
Find documentation for the products that you have recently purchased in the Document Library.
Jonas Sieber et al.
The Journal of biological chemistry, 292(46), 18878-18885 (2017-09-16)
The up-regulation of chaperones such as the 78-kDa glucose-regulated protein (GRP78, also referred to as BiP or HSPA5) is part of the adaptive cellular response to endoplasmic reticulum (ER) stress. GRP78 is widely used as a marker of the unfolded
Bum-Joo Cho et al.
Investigative ophthalmology & visual science, 60(4), 1254-1264 (2019-03-30)
To investigate whether rapamycin protects tear production and the ocular surface during endoplasmic reticulum (ER) stress-induced dry eye syndrome in mice. Tunicamycin was injected intraperitoneally in BALB/c mice without or with rapamycin (TM or RM5 group). Peritoneal injection of PBS
Serum-reduced media impacts on cell viability and protein expression in human lung epithelial cells.
Mahamud-Ur Rashid et al.
Journal of cellular physiology, 234(6), 7718-7724 (2018-12-06)
Serum starvation is a widely used condition in molecular biology experiments. Opti-MEM is a serum-reduced media used during transfection of genetic molecules into mammalian cells. However, the impact of such media on cell viability and protein synthesis is unknown. A549
Mahamud-Ur Rashid et al.
Frontiers in microbiology, 13, 994512-994512 (2022-10-28)
Newly re-emerging viruses are of significant global concern. In late 2019, a new coronavirus, SARS-CoV-2, emerged in China and soon spread worldwide, causing the COVID-19 pandemic, which to date has caused >6 M deaths. There has been a wealth of studies
Nathalie Journiac et al.
Cell reports, 31(2), 107506-107506 (2020-04-16)
A distinctive feature of neocortical development is the highly coordinated production of different progenitor cell subtypes, which are critical for ensuring adequate neurogenic outcome and the development of normal neocortical size. To further understand the mechanisms that underlie neocortical growth
Our team of scientists has experience in all areas of research including Life Science, Material Science, Chemical Synthesis, Chromatography, Analytical and many others.
Contact Technical Service