Skip to Content
Merck
CN

MABC1205

Anti-UDP-Galactose Transporter Antibody, clone 1H10.1

clone 1H10.1, from mouse

Synonym(s):

UDP-galactose translocator, Solute carrier family 35 member A2, UDP-Gal-Tr, UDP-galactose transporter, UDP-galactose transporter, UGT

Sign In to View Organizational & Contract Pricing.

Select a Size


About This Item

eCl@ss:
32160702
UNSPSC Code:
12352203
NACRES:
NA.46
Conjugate:
unconjugated
Clone:
1H10.1, monoclonal
Application:
ICC, IHC, WB
Citations:
-
Technical Service
Need help? Our team of experienced scientists is here for you.
Let Us Assist
Technical Service
Need help? Our team of experienced scientists is here for you.
Let Us Assist

isotype

IgG3κ

biological source

mouse

conjugate

unconjugated

antibody form

purified antibody

antibody product type

primary antibodies

clone

1H10.1, monoclonal

species reactivity

human

technique(s)

immunocytochemistry: suitable, immunohistochemistry: suitable (paraffin), western blot: suitable

NCBI accession no.

UniProt accession no.

shipped in

ambient

target post-translational modification

unmodified

Quality Level

Gene Information

human ... SLC35A2(7355)

General description

UDP-galactose translocator (UniProt P78381; also known as Solute carrier family 35 member A2, UDP-Gal-Tr, UDP-galactose transporter, UDP-galactose transporter, UGT) is encoded by the SLC35A2 (also known as CDG2M, UGALT, UGT, UGTL) gene (Gene ID 7355) in human. UGT is a multi-pass membrane protein that transports UDP-galactose from the cytosol into the Golgi vesicles where it serves as a glycosyl donor for the generation of glycans. Its short N-terminal region, composed of 35 amino-acid residues, is reported to be crucial for galactosylation of N-glycans. Mutations in SLC35A2 gene are known to reduce UDP-galactose transport that leads to galactose-deficient glycoproteins resulting in developmental delays, hyotonia, ocular anomalies, and brain malfunctions. Higher expression of UGT mRNA has been reported in human colon cancer. Ref.: Ng, BG., et al. (2013). Am. J. Human Gen. 92, 632-636.
~50 kDa observed. 14.31/25.18 k.Da (isoform 1/3) calculated. Uncharacterized bands may be observed in some lysate(s).

Immunogen

KLH-conjugated linear peptide corresponding to human UDP-Gal transporter C-terminal end sequence.

Application

Detect UDP-galactose transporter (SLC35A2) using this mouse monoclonal Anti-UDP-Galactose Transporter, clone 1H10.1, Cat. No. MABC1205, validated for use in Immunocytochemistry, Immunohistochemistry (Paraffin), and Western Blotting.
Immunocytochemistry Analysis: Clone 1H10.1 hybridoma culture supernatant immunostained Golgi apparatus in 4% paraformaldehyde-fixed, 0.3% Triton X-100-permeabilized A431 cells.

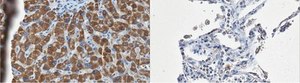
Immunohistochemistry Analysis: A 1:250 dilution from a representative lot detected UDP-Gal transporter in human colon, liver, lung, and placenta tissue sections.
Research Category
Apoptosis & Cancer

Biochem/physiol Actions

The immunogen sequence is 100% present in spliced isoforms 1 (UGT2) and 3, while being only partially present in spliced isoforms 2 (UGT1), 4, and 5 reported by UniProt (P78381), reactivity toward these latter isoforms has not been confirmed.

Physical form

Format: Purified
Protein G purified.
Purified mouse IgG3κ in buffer containing 0.1 M Tris-Glycine (pH 7.4), 150 mM NaCl with 0.05% sodium azide.

Preparation Note

Stable for 1 year at 2-8°C from date of receipt.

Analysis Note

Evaluated by Western Blotting in human placenta tissue lysate.

Western Blotting Analysis: A 1:1,000 dilution of this antibody detected UDP-Gal Transporter in 10 µg of human placenta tissue lysate.

Other Notes

Concentration: Please refer to lot specific datasheet.

Disclaimer

Unless otherwise stated in our catalog or other company documentation accompanying the product(s), our products are intended for research use only and are not to be used for any other purpose, which includes but is not limited to, unauthorized commercial uses, in vitro diagnostic uses, ex vivo or in vivo therapeutic uses or any type of consumption or application to humans or animals.

Not finding the right product?  

Try our Product Selector Tool.

Storage Class

12 - Non Combustible Liquids

wgk

WGK 1

flash_point_f

Not applicable

flash_point_c

Not applicable


Certificates of Analysis (COA)

Search for Certificates of Analysis (COA) by entering the products Lot/Batch Number. Lot and Batch Numbers can be found on a product’s label following the words ‘Lot’ or ‘Batch’.

Already Own This Product?

Find documentation for the products that you have recently purchased in the Document Library.

Visit the Document Library

Our team of scientists has experience in all areas of research including Life Science, Material Science, Chemical Synthesis, Chromatography, Analytical and many others.

Contact Technical Service