Skip to Content
Merck
CN

MAB3404-C

Anti-Cytokeratin 18 Antibody, clone CK2 (Ascites Free)

clone CK2, 1 mg/mL, from mouse

Synonym(s):

Keratin, type I cytoskeletal 18, Cell proliferation-inducing gene 46 protein, Cytokeratin-18, CK-18, Keratin-18, K18

Sign In to View Organizational & Contract Pricing.

Select a Size


About This Item

UNSPSC Code:
12352203
NACRES:
NA.41
eCl@ss:
32160702
Conjugate:
unconjugated
Clone:
CK2, monoclonal
Application:
IF, IHC, WB
Citations:
-
Technical Service
Need help? Our team of experienced scientists is here for you.
Let Us Assist
Technical Service
Need help? Our team of experienced scientists is here for you.
Let Us Assist

biological source

mouse

conjugate

unconjugated

antibody form

purified immunoglobulin

antibody product type

primary antibodies

clone

CK2, monoclonal

species reactivity

human

concentration

1 mg/mL

technique(s)

immunofluorescence: suitable, immunohistochemistry: suitable, western blot: suitable

isotype

IgG1κ

NCBI accession no.

UniProt accession no.

shipped in

wet ice

target post-translational modification

unmodified

Quality Level

Gene Information

human ... KRT18(3875)

General description

Cytokeratin 18, also known as Keratin, type I cytoskeletal 18, Cell proliferation-inducing gene 46 protein, CK-18, Keratin-18, or K18, and encoded by the gene KRT18/CYK18/PIG46, is involved in the uptake of thrombin-anti-thrombin complexes by hepatic cells. When the protein is phosphorylated it plays a role in filament reorganization. Cytokeratin-18 together keratin-8 and IL-6 are involved in skin barrier protection too, and cytokeratin-18 is often complexed with Cytokeratin 8. Cytokeratin-18 is expressed in colon, placenta, liver epithelia and many other tissues. Cytokeratin 18 in epithelial cells is cleaved by caspases during apoptosis to produce apoptotic specific CK-18 fragment that is the basis of many apoptosis detection assays.
~48 kDa calculated

Immunogen

Cytoskeletal preparation of HeLa cells expressing human Cytokeratin 18.

Application

This Anti-Cytokeratin 18 Antibody, clone CK2 (Ascites Free) is validated for use in IHC, western blotting & immunofluorescence for the detection of Cytokeratin 18.
Immunohistochemistry Analysis: A 1:2,000 dilution from a representative lot detected Cytokeratin 18 in human placenta tissue.

Immunohistochemistry Analysis: A representative lot from an independent laboratory detected Cyokeratin 18 in bladder tissue (Moll, R., et al. (1988). Am. J. Pathol. 132(1): 123-44.).

Immunohistochemistry Analysis: A representative lot from an independent laboratory detected Cyokeratin 18 in ductal carcinoma of the breast, basal cell epithelioma, squamous cell carcinoma of the tongue, squamous cell carcinoma of epiglottis, and squamous cell carcinoma of the esophagus (Debus, E., et al. (1984). Am. J. Pathol. 114(4): 121-30.).

Western Blotting Analysis: A representative lot from an independent laboratory detected Cyokeratin 18 HeLa cell lysate (Debus, E., et al. (1984). Am. J. Pathol. 114(4): 121-30.).

Immunofluorescence Analysis: A representative lot from an independent laboratory detected Cyokeratin 18 in human epithelia tissue, uterus (cervic glands), submucosal glands of the oesophagus, and placental tissue (Debus, E., et al. (1984). Am. J. Pathol. 114(4): 121-30.).
Research Category
Cell Structure
Research Sub Category
Cytokeratins

Biochem/physiol Actions

The antibody reacts with human cytokeratin 18 and is used for staining research samples of a wide variety of simple epithelia and simple glandular epithelia (e. g. intestinal, respiratory and urinary epithelia) and transitional epithelia (e. g. bladder), but stratified squamous epithelia are not stained (e. g. esophagus, epidermis).

Physical form

Format: Purified
Protein G Purified
Purified mouse monoclonal IgG1κ in buffer containing 0.1 M Tris-Glycine (pH 7.4), 150 mM NaCl with 0.05% sodium azide.

Preparation Note

Stable for 1 year at 2-8°C from date of receipt.

Analysis Note

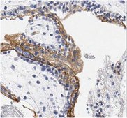
Immunohistochemistry Analysis: A 1:50 dilution of this antibody detected Cytokeratin 18 in human colorectal cancer tissue.

Other Notes

Replaces: 04-586

Disclaimer

Unless otherwise stated in our catalog or other company documentation accompanying the product(s), our products are intended for research use only and are not to be used for any other purpose, which includes but is not limited to, unauthorized commercial uses, in vitro diagnostic uses, ex vivo or in vivo therapeutic uses or any type of consumption or application to humans or animals.

Not finding the right product?  

Try our Product Selector Tool.

Storage Class

12 - Non Combustible Liquids

wgk

WGK 1

flash_point_f

Not applicable

flash_point_c

Not applicable


Certificates of Analysis (COA)

Search for Certificates of Analysis (COA) by entering the products Lot/Batch Number. Lot and Batch Numbers can be found on a product’s label following the words ‘Lot’ or ‘Batch’.

Already Own This Product?

Find documentation for the products that you have recently purchased in the Document Library.

Visit the Document Library

Our team of scientists has experience in all areas of research including Life Science, Material Science, Chemical Synthesis, Chromatography, Analytical and many others.

Contact Technical Service