Skip to Content
Merck
CN

MAB1273C3

Anti-Mitochondria Antibody, clone 113-1, Cy3 Conjugate

clone 113-1, from mouse, CY3 conjugate

Synonym(s):

Human Mitochondria

Sign In to View Organizational & Contract Pricing.

Select a Size


About This Item

UNSPSC Code:
12352203
NACRES:
NA.41
eCl@ss:
32160702
Conjugate:
CY3 conjugate
Clone:
113-1, monoclonal
Application:
ICC
Citations:
7
Technical Service
Need help? Our team of experienced scientists is here for you.
Let Us Assist
Technical Service
Need help? Our team of experienced scientists is here for you.
Let Us Assist

biological source

mouse

conjugate

CY3 conjugate

antibody form

purified immunoglobulin

antibody product type

primary antibodies

clone

113-1, monoclonal

species reactivity

human (mitochondria protein)

should not react with

rat (mitochondria protein), mouse (mitochondria protein)

technique(s)

immunocytochemistry: suitable

isotype

IgG1

shipped in

wet ice

target post-translational modification

unmodified

Quality Level

General description

60 kDa calculated
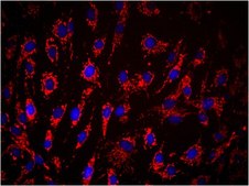
This antibody recognizes a 60 kDa nonglycosylated protein component of mitochondria found in human cells. It can be used to stain mitochondria in cell, tissue or biochemical preparations and can be used as a marker of the mitochondria in subcellular fractions. MAB1273C3 recognizes a 65 kD protein by immunoprecipitation and produces the stringy, "spaghetti-like", staining patten in the cytoplasm of human cells.

Immunogen

Surface of intact human mitochondria

Application

Detect Mitochondrial Marker using this mouse monoclonal antibody, Anti-Mitochondria Antibody, clone 113-1 & Cy3 Conjugate validated for use in ICC.
Evaluated by Immunocytochemistry in human adipose mesenchymal stem cells (SCC038).
Immunocytochemsitry Analysis: A 1:50 dilution of this antibody detected mitrochondria in human adipose mesenchymal stem cells (SCC038).
Research Category
Stem Cell Research

Cell Structure
Research Sub Category
Developmental Neuroscience

Organelle & Cell Markers

Biochem/physiol Actions

This antibody recognizes human. Antibody is not reactive with mouse or rodent.

Physical form

Protein G Purified
Purified mouse monoclonal IgG1 conjugated to Cy3 in PBS with 0.1% sodium azide and 15mg/ml BSA.

Preparation Note

Maintain refrigerated at 2-8ºC protected from light in undiluted aliquots for up to 6 months from date of receipt.

Analysis Note

Control
Neonatal human fibroblasts cells (SCC058).
Evaluated by Immunocytochemistry in neonatal human fibroblasts cells (SCC058).
Immunocytochemsitry Analysis: A 1:50 dilution of this antibody detected mitrochondria in neonatal human fibroblast cells (SCC058).

Other Notes

Concentration: Please refer to the Certificate of Analysis for the lot-specific concentration.

Disclaimer

Unless otherwise stated in our catalog or other company documentation accompanying the product(s), our products are intended for research use only and are not to be used for any other purpose, which includes but is not limited to, unauthorized commercial uses, in vitro diagnostic uses, ex vivo or in vivo therapeutic uses or any type of consumption or application to humans or animals.

Not finding the right product?  

Try our Product Selector Tool.

Storage Class

12 - Non Combustible Liquids

wgk

WGK 2

flash_point_f

Not applicable

flash_point_c

Not applicable


Certificates of Analysis (COA)

Search for Certificates of Analysis (COA) by entering the products Lot/Batch Number. Lot and Batch Numbers can be found on a product’s label following the words ‘Lot’ or ‘Batch’.

Already Own This Product?

Find documentation for the products that you have recently purchased in the Document Library.

Visit the Document Library

Jennifer A Kashatus et al.
Molecular cell, 57(3), 537-551 (2015-02-07)
Ras is mutated in up to 30% of cancers, including 90% of pancreatic ductal adenocarcinomas, causing it to be constitutively GTP-bound, and leading to activation of downstream effectors that promote a tumorigenic phenotype. As targeting Ras directly is difficult, there
Sarah Guégan et al.
Experimental dermatology, 25(10), 789-796 (2016-05-20)
Congenital melanocytic nevi (CMN) are benign proliferations that may be associated with various consequences depending on their size. They are characterized by a specific molecular signature, namely a postzygotic somatic NRAS or BRAF mutation. We have recently reported that large
Marta Aguado-Garrido et al.
International journal of molecular sciences, 25(3) (2024-02-10)
The treatment of spinal cord injury (SCI) with uncultivated human bone marrow-derived stromal cells (bmSCs) prepared by negative selection has been proposed to be therapeutically superior to treatment with stem cells that were expanded in vitro. To explore their use
Lorenzo Romero-Ramírez et al.
Journal of biomedical science, 27(1), 35-35 (2020-02-19)
Spinal cord injury (SCI) is a highly debilitating pathology without curative treatment. One of the most promising disease modifying strategies consists in the implantation of stem cells to reduce inflammation and promote neural regeneration. In the present study we tested
Roza K Przanowska et al.
FASEB journal : official publication of the Federation of American Societies for Experimental Biology, 34(6), 7687-7702 (2020-04-12)
miR-206, miR-1a-1, and miR-1a-2 are induced during differentiation of skeletal myoblasts and promote myogenesis in vitro. miR-206 is required for skeletal muscle regeneration in vivo. Although this miRNA family is hypothesized to play an essential role in differentiation, a triple

Our team of scientists has experience in all areas of research including Life Science, Material Science, Chemical Synthesis, Chromatography, Analytical and many others.

Contact Technical Service