Skip to Content
Merck
CN

ABT405

Anti-KIF5 Antibody

from rabbit, purified by affinity chromatography

Synonym(s):

Kinesin heavy chain isoform 5A, Kinesin heavy chain neuron-specific 1, Neuronal kinesin heavy chain, NKHC, KIF5A

Sign In to View Organizational & Contract Pricing.

Select a Size


About This Item

UNSPSC Code:
12352203
NACRES:
NA.41
eCl@ss:
32160702
Conjugate:
unconjugated
Clone:
polyclonal
Application:
ICC, IF, WB
Citations:
1
Technical Service
Need help? Our team of experienced scientists is here for you.
Let Us Assist
Technical Service
Need help? Our team of experienced scientists is here for you.
Let Us Assist

Quality Level

biological source

rabbit

conjugate

unconjugated

antibody form

affinity isolated antibody

antibody product type

primary antibodies

clone

polyclonal

purified by

affinity chromatography

species reactivity

human

technique(s)

immunocytochemistry: suitable, immunofluorescence: suitable, western blot: suitable

UniProt accession no.

shipped in

wet ice

target post-translational modification

unmodified

Gene Information

human ... KIF5A(3798)

General description

Kinesin heavy chain isoform 5A, also known as Kinesin heavy chain neuron-specific 1 or Neuronal kinesin heavy chain (NKHC), and encoded by the gene name KIF5A or NKHC1, are members of the kinesin superfamily of proteins (KIFs). These proteins are microtubuledependent motors that slide along microtubules and transport cellular organelles and mRNA to different parts of the cell. In neurons, KIF5 performs this role in an anterograde fashion from the neuronal cell body to axonal or dendritic terminals. KIF5 was initially differentiated from the ubiquitously expressed kinesin as being highly enriched in subsets of neurons and selectively concentrated in the cell body. KIF5 has at least three known isoforms; KIF5A (117 kDa), KIF5B (39 kDa), and KIF5C (39 kDa). Mutations in one of the isoforms of KIF5 (KIF5A) is thought to be involved in hereditary spastic paraplegias
~116 kDa observed. Uncharacterized bands may be observed in some lysate(s).

Immunogen

Epitope: C-terminus
KLH-conjugated synthetic peptide corresponding to the C-terminus of human KIF5.

Application

Anti-KIF5 Antibody is an antibody against KIF5 for use in western blotting, ICC & immunofluorescence.
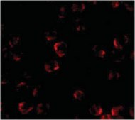
Immunocytochemistry Analysis: 5 μg/mL from a representative lot detected KIF5 in K562 cells.

Immunofluorescence Analysis: 20 μg/mL from a representative lot detected KIF5 in K562 cells.
Research Category
Cell Structure
Research Sub Category
Cytoskeleton

Biochem/physiol Actions

This antibody recognizes all isoforms of KIF5.

Physical form

Affinity
Purified rabbit polyclonal in buffer containing PBS with up to 0.1% sodium azide.

Preparation Note

Stable for 1 year at 2-8°C from date of receipt.

Analysis Note

Evaluated by Western Blotting in K562 cell lysate.

Western Blotting Analysis: 1 μg/mL of this antibody detected KIF5 in K562 cell lysate.

Other Notes

Concentration: Please refer to the Certificate of Analysis for the lot-specific concentration.

Disclaimer

Unless otherwise stated in our catalog or other company documentation accompanying the product(s), our products are intended for research use only and are not to be used for any other purpose, which includes but is not limited to, unauthorized commercial uses, in vitro diagnostic uses, ex vivo or in vivo therapeutic uses or any type of consumption or application to humans or animals.

Not finding the right product?  

Try our Product Selector Tool.

Storage Class

12 - Non Combustible Liquids

wgk

WGK 2

flash_point_f

Not applicable

flash_point_c

Not applicable


Certificates of Analysis (COA)

Search for Certificates of Analysis (COA) by entering the products Lot/Batch Number. Lot and Batch Numbers can be found on a product’s label following the words ‘Lot’ or ‘Batch’.

Already Own This Product?

Find documentation for the products that you have recently purchased in the Document Library.

Visit the Document Library

M Cecilia Caino et al.
Nature communications, 7, 13730-13730 (2016-12-20)
The role of mitochondria in cancer is controversial. Using a genome-wide shRNA screen, we now show that tumours reprogram a network of mitochondrial dynamics operative in neurons, including syntaphilin (SNPH), kinesin KIF5B and GTPase Miro1/2 to localize mitochondria to the

Our team of scientists has experience in all areas of research including Life Science, Material Science, Chemical Synthesis, Chromatography, Analytical and many others.

Contact Technical Service