Skip to Content
Merck
CN

ABS764

Anti-GPAT-1 Antibody

from rabbit, purified by affinity chromatography

Synonym(s):

Glycerol-3-phosphate acyltransferase 1, mitochondrial, GPAT-1

Sign In to View Organizational & Contract Pricing.

Select a Size


About This Item

UNSPSC Code:
12352203
NACRES:
NA.41
eCl@ss:
32160702
Conjugate:
unconjugated
Clone:
polyclonal
Application:
IF, IHC, WB
Citations:
1
Technical Service
Need help? Our team of experienced scientists is here for you.
Let Us Assist
Technical Service
Need help? Our team of experienced scientists is here for you.
Let Us Assist

biological source

rabbit

conjugate

unconjugated

antibody form

affinity isolated antibody

antibody product type

primary antibodies

clone

polyclonal

purified by

affinity chromatography

species reactivity

rat

technique(s)

immunofluorescence: suitable, immunohistochemistry: suitable, western blot: suitable

UniProt accession no.

shipped in

wet ice

target post-translational modification

unmodified

Quality Level

Gene Information

human ... GPAM(57678)

General description

Glycerol-3-phosphate acyltransferase 1, mitochondrial (GPAT-1) is located on the mitochondrial outer membrane, allowing reciprocal regulation with carnitine palmitoyltransferase-1. It is thought to be critical for the development of hepatic steatosis; steatosis triggered by GPAT-1 overexpression leads to hepatic and possibly peripheral insulin resistance. GPAT-1 is transcriptionally upregulated by insulin and sterol regulatory element binding protein (SREBP-1) and downregulated by AMP-activated protein kinase. Mice deficient in GPAT-1 exhibit decreased triacylglycerol (TAG) in cardiomyocytes even in high-fat diets, suggesting that GPAT-1 contributes significantly to TAG accumulation in heart tissue during lipogenic or high fat diets.
~82 kDa observed. Uncharacterized bands may be observed in some lysate(s).

Immunogen

Epitope: C-terminus
KLH-conjugated synthetic peptide corresponding to the C-terminus of human GPAT-1.

Application

Anti-GPAT-1 Antibody is an antibody against GPAT-1 for use in western blotting, IHC & immunofluorescence.
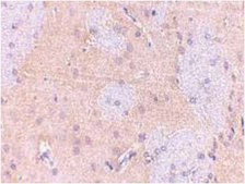
Immunohistochemistry Analysis: 2.5 μg/mL from a representative lot detected GPAT-1 in rat brain tissue.

Immunofluorescence Analysis: 20 μg/mL from a representative lot detected GPAT-1 in rat brain cells.



Research Category
Signaling
Research Sub Category
Developmental Signaling

Physical form

Antigen Affinity Purified
Purified rabbit polyclonal in buffer containing PBS with up to 0.1% sodium azide.

Preparation Note

Stable for 1 year at 2-8°C from date of receipt.

Analysis Note

Evaluated by Western Blotting in rat brain tissue lysate.

Western Blotting Analysis: 2 μg/mL of this antibody detected GPAT-1 in rat brain tissue lysate.

Other Notes

Concentration: Please refer to the Certificate of Analysis for the lot-specific concentration.
Replaces: MABS402

Disclaimer

Unless otherwise stated in our catalog or other company documentation accompanying the product(s), our products are intended for research use only and are not to be used for any other purpose, which includes but is not limited to, unauthorized commercial uses, in vitro diagnostic uses, ex vivo or in vivo therapeutic uses or any type of consumption or application to humans or animals.

Not finding the right product?  

Try our Product Selector Tool.

Storage Class

12 - Non Combustible Liquids

wgk

WGK 2

flash_point_f

Not applicable

flash_point_c

Not applicable


Certificates of Analysis (COA)

Search for Certificates of Analysis (COA) by entering the products Lot/Batch Number. Lot and Batch Numbers can be found on a product’s label following the words ‘Lot’ or ‘Batch’.

Already Own This Product?

Find documentation for the products that you have recently purchased in the Document Library.

Visit the Document Library

Minae An et al.
Cardiovascular research, 113(10), 1137-1147 (2017-04-22)
Autophagy is essential to maintain tissue homeostasis, particularly in long-lived cells such as cardiomyocytes. Whereas many studies support the importance of autophagy in the mechanisms underlying obesity-related cardiac dysfunction, the role of autophagy in cardiac lipid metabolism remains unclear. In

Our team of scientists has experience in all areas of research including Life Science, Material Science, Chemical Synthesis, Chromatography, Analytical and many others.

Contact Technical Service