Skip to Content
Merck
CN

ABS1023

Anti-Angiomotin Antibody

from rabbit, purified by affinity chromatography

Synonym(s):

Angiomotin

Sign In to View Organizational & Contract Pricing.

Select a Size


About This Item

UNSPSC Code:
12352203
NACRES:
NA.41
eCl@ss:
32160702
Conjugate:
unconjugated
Clone:
polyclonal
Application:
ChIP, ICC, IF, IP, WB
Citations:
-
Technical Service
Need help? Our team of experienced scientists is here for you.
Let Us Assist
Technical Service
Need help? Our team of experienced scientists is here for you.
Let Us Assist

biological source

rabbit

conjugate

unconjugated

antibody form

affinity isolated antibody

antibody product type

primary antibodies

clone

polyclonal

purified by

affinity chromatography

species reactivity

human

species reactivity (predicted by homology)

bovine (based on 100% sequence homology)

technique(s)

ChIP: suitable, immunocytochemistry: suitable, immunofluorescence: suitable, immunoprecipitation (IP): suitable, western blot: suitable

NCBI accession no.

UniProt accession no.

shipped in

wet ice

target post-translational modification

unmodified

Quality Level

Gene Information

human ... AMOT(154796)

Looking for similar products? Visit Product Comparison Guide

General description

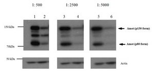
150/80 kDa observed
Angiomotin is a cell surface protein that plays a central role in tight junction maintenance and the uptake of proteins at tight junctions but also appears to regulate endothelial cell response and their migration toward growth factors as well as their response to angiostatin. Thus Angiomotin plays a role in blood vessel formation, cell migration, protein localization, chemotaxis, cellular polarity and many more cell-movement/migration activities. Angiomotin is a component of a multi-protein complex associated at tight junctions that includes ARHGAP17, AMOT, MPP5/PALS1, INADL/PATJ and PARD3/PAR3 proteins. Angiomotin is expressed in endothelial cells and found in placenta, blood vessels and skeletal muscle tissue, as well as at the leading edge of lamellipodia and cellular processes.

Immunogen

Linear peptide corresponding to human Angiomotin.

Application

Anti-Angiomotin Antibody | ABS1023 is an antibody against Angiomotin Antibody for use in Western Blotting, Immunoprecipitation, Immunofluorescence, Immunocytochemistry, Chromatin Immunoprecipitation (ChIP).
Research Category
Signaling
Research Sub Category
Signaling Neuroscience

Biochem/physiol Actions

This antibody detects p80 and p130 forms of AMOT

Physical form

Affinity purified
Purified rabbit polyclonal in buffer containing PBS with 0.05% sodium azide.

Preparation Note

Stable for 1 year at 2-8°C from date of receipt.

Analysis Note

Evaluated by Western Blotting in HEK293 transfected with LATS cell lysate.

Western Blotting Analysis: A 1:5,000 dilution of this antibody detected Angiomotin in 10 µg of HEK293 transfected with LATS cell lysate.

Other Notes

Concentration: Please refer to lot specific datasheet.

Disclaimer

Unless otherwise stated in our catalog or other company documentation accompanying the product(s), our products are intended for research use only and are not to be used for any other purpose, which includes but is not limited to, unauthorized commercial uses, in vitro diagnostic uses, ex vivo or in vivo therapeutic uses or any type of consumption or application to humans or animals.

Not finding the right product?  

Try our Product Selector Tool.

Storage Class

10 - Combustible liquids

wgk

WGK 2


Certificates of Analysis (COA)

Search for Certificates of Analysis (COA) by entering the products Lot/Batch Number. Lot and Batch Numbers can be found on a product’s label following the words ‘Lot’ or ‘Batch’.

Already Own This Product?

Find documentation for the products that you have recently purchased in the Document Library.

Visit the Document Library

Our team of scientists has experience in all areas of research including Life Science, Material Science, Chemical Synthesis, Chromatography, Analytical and many others.

Contact Technical Service