Skip to Content
Merck
CN

ABN475

Anti-Wnt Antibody-10b

from rabbit, purified by affinity chromatography

Synonym(s):

Protein Wnt-10b, Protein Wnt-12

Sign In to View Organizational & Contract Pricing.

Select a Size


About This Item

UNSPSC Code:
12352203
NACRES:
NA.41
eCl@ss:
32160702
Conjugate:
unconjugated
Clone:
polyclonal
Application:
IHC, WB
Citations:
-
Technical Service
Need help? Our team of experienced scientists is here for you.
Let Us Assist
Technical Service
Need help? Our team of experienced scientists is here for you.
Let Us Assist

biological source

rabbit

conjugate

unconjugated

antibody form

affinity isolated antibody

antibody product type

primary antibodies

clone

polyclonal

purified by

affinity chromatography

species reactivity

human

technique(s)

immunohistochemistry: suitable, western blot: suitable

UniProt accession no.

shipped in

wet ice

target post-translational modification

unmodified

Quality Level

Gene Information

human ... WNT10B(7480)

General description

Protein Wnt-10b (Wnt-10b) is a member of the Wnt family that plays an important role in normal development such as regulation of cell fate, patterning during embryogenesis, and neoplastic transformation. Wnt-10b may promote epithelial cell differentiation and hair shaft growth, demonstrating that Wnt-10b has multiple roles in cell growth and differentiation. Mutations in Wnt-10b have been associated with an autosomal receesive disorder known as split-hand/foot malformation type 6 (SHFM6).
~45 kDa observed. Uncharacterized bands may appear in some lysates.

Immunogen

KLH-conjugated linear peptide corresponding to human Wnt-10b.

Application

Detect Wnt using this rabbit polyclonal antibody, Anti-Wnt Antibody-10b validated for use in western blotting & IHC.
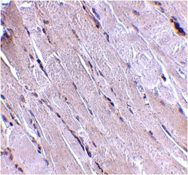
Immunohistochemistry Analysis: 2.5 µg/mL from a representative lot detected Wnt-10b in human skeletal muscle tissue.

Analysis Note

Evaluated by Western Blotting in human skeletal muscle tissue lysate.

Western Blotting Analysis: 4 µg/mL of this antibody detected Wnt-10b in 15 µg of human skeletal muscle tissue lysate.

Other Notes

Concentration: Please refer to the Certificate of Analysis for the lot-specific concentration.

Not finding the right product?  

Try our Product Selector Tool.

Storage Class

12 - Non Combustible Liquids

wgk

WGK 2

flash_point_f

Not applicable

flash_point_c

Not applicable


Certificates of Analysis (COA)

Search for Certificates of Analysis (COA) by entering the products Lot/Batch Number. Lot and Batch Numbers can be found on a product’s label following the words ‘Lot’ or ‘Batch’.

Already Own This Product?

Find documentation for the products that you have recently purchased in the Document Library.

Visit the Document Library

Our team of scientists has experience in all areas of research including Life Science, Material Science, Chemical Synthesis, Chromatography, Analytical and many others.

Contact Technical Service