Skip to Content
Merck
CN

ABN458

Anti-Choline Transporter Antibody

from rabbit, purified by affinity chromatography

Synonym(s):

High affinity choline transporter 1, Hemicholinium-3-sensitive choline transporter, CHT, Solute carrier family 5 member 7

Sign In to View Organizational & Contract Pricing.

Select a Size


About This Item

UNSPSC Code:
12352203
NACRES:
NA.41
eCl@ss:
32160702
Conjugate:
unconjugated
Clone:
polyclonal
Application:
IHC, WB
Citations:
7
Technical Service
Need help? Our team of experienced scientists is here for you.
Let Us Assist
Technical Service
Need help? Our team of experienced scientists is here for you.
Let Us Assist

biological source

rabbit

conjugate

unconjugated

antibody form

affinity isolated antibody

antibody product type

primary antibodies

clone

polyclonal

purified by

affinity chromatography

species reactivity

human, rat, mouse

technique(s)

immunohistochemistry: suitable (paraffin), western blot: suitable

NCBI accession no.

UniProt accession no.

shipped in

wet ice

target post-translational modification

unmodified

Quality Level

Gene Information

human ... SLC5A7(60482)

General description

Target molecular weight 75 kDa observed; 63.20 kDa calculated. Uncharacterized bands may be observed in some lysate(s).
The protein named Choline Transporter or Hemicholinium-3-sensitive choline transporter (CHT), and encoded by the gene SLC5A7/CHT1, is the high affinity choline transporter in neurons. Choline is the rate limiting step in acetylcholine synthesis an important neurotransmitter. Acetylcholine is a neurotransmitter of the central and peripheral nervous system that regulates a variety of autonomic, cognitive, and motor functions. The choline transporter is localized to the cell membrane and is expressed in cholinergic neurons particularly in the putamen, spinal cord and medulla. Defects in the choline transporter may be associated with a syndrome named distal spinal muscular atrophy with vocal cord paralysis. The choline transporter protein is a Na+ and Cl- dependent transporter that can be inhibited by nanomolar concentrations of the chemical compound hemicholinium 3, a compound often used to deplete acetylcholine stores.

Immunogen

GST-tagged recombinant protein fragment corresponding to 77 amino acids from the C-terminal region of human Choline Transporter.

Application

Anti-Choline Transporter Antibody is a highly specific rabbit polyclonal antibody, that targets Choline Transporter & has been tested in western blotting & IHC (Paraffin).
Peptide Inhibition Assay: Target band detection in tissue lysate from rat spinal cord was prevented by pre-blocking of a representative lot with Choline Transporter recombinant protein fragment.

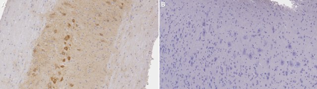
Immunohistochemistry (Paraffin) Analysis: A 1:500 dilution from a representative lot detected Choline Transporter in human, mouse, and rat brain tissue sections.

Note: Actual optimal working dilutions must be determined by end user as specimens, and experimental conditions may vary with the end user.

Analysis Note

Evaluated by Western Blotting in rat spinal cord tissue lysate.

Western Blotting Analysis: A 1:2,000 dilution from representative lot detected Choline Transporter in rat spinal cord tissue lysate.

Other Notes

Concentration: Please refer to the Certificate of Analysis for the lot-specific concentration.
Replaces: AB5960;AB5966

Not finding the right product?  

Try our Product Selector Tool.

Storage Class

12 - Non Combustible Liquids

wgk

WGK 1

flash_point_f

Not applicable

flash_point_c

Not applicable


Certificates of Analysis (COA)

Search for Certificates of Analysis (COA) by entering the products Lot/Batch Number. Lot and Batch Numbers can be found on a product’s label following the words ‘Lot’ or ‘Batch’.

Already Own This Product?

Find documentation for the products that you have recently purchased in the Document Library.

Visit the Document Library

Ajeesh Koshy Cherian et al.
Neurochemistry international, 108, 410-416 (2017-06-05)
The synaptic uptake of choline via the high-affinity, hemicholinium-3-dependent choline transporter (CHT) strongly influences the capacity of cholinergic neurons to sustain acetylcholine (ACh) synthesis and release. To advance research on the impact of CHT capacity in humans, we established the
Ajeesh Koshy Cherian et al.
The Journal of neuroscience : the official journal of the Society for Neuroscience, 37(11), 2947-2959 (2017-02-15)
Some rats [sign-trackers (STs)] are prone to attribute incentive salience to reward cues, which can manifest as a propensity to approach and contact pavlovian cues, and for addiction-like behavior. STs also exhibit poor attentional performance, relative to goal-trackers (GTs), which
Eryn Donovan et al.
The Journal of neuroscience : the official journal of the Society for Neuroscience, 42(16), 3426-3444 (2022-03-03)
Transport of choline via the neuronal high-affinity choline transporter (CHT; SLC5A7) is essential for cholinergic terminals to synthesize and release acetylcholine (ACh). In humans, we previously demonstrated an association between a common CHT coding substitution (rs1013940; Ile89Val) and reduced attentional
Maximilian I Pinkham et al.
American journal of physiology. Regulatory, integrative and comparative physiology, 312(3), R368-R379 (2017-01-06)
Heart failure is characterized by the loss of sympathetic innervation to the ventricles, contributing to impaired cardiac function and arrhythmogenesis. We hypothesized that renal denervation (RDx) would reverse this loss. Male Wistar rats underwent myocardial infarction (MI) or sham surgery
Fumiaki Yokoi et al.
IBRO neuroscience reports, 11, 1-7 (2021-07-01)
DYT-TOR1A or DYT1 early-onset generalized dystonia is an inherited movement disorder characterized by sustained muscle contractions causing twisting, repetitive movements, or abnormal postures. The majority of the DYT1 dystonia patients have a trinucleotide GAG deletion in DYT1/TOR1A. Trihexyphenidyl (THP), an

Our team of scientists has experience in all areas of research including Life Science, Material Science, Chemical Synthesis, Chromatography, Analytical and many others.

Contact Technical Service