Skip to Content
Merck
CN

ABN107

Anti-ARMS2 Antibody

from rabbit, purified by affinity chromatography

Synonym(s):

Age-related maculopathy susceptibility protein 2, ARMS2

Sign In to View Organizational & Contract Pricing.

Select a Size


About This Item

UNSPSC Code:
12352203
NACRES:
NA.41
eCl@ss:
32160702
Conjugate:
unconjugated
Clone:
polyclonal
Application:
IHC
Citations:
-
Technical Service
Need help? Our team of experienced scientists is here for you.
Let Us Assist
Technical Service
Need help? Our team of experienced scientists is here for you.
Let Us Assist

biological source

rabbit

conjugate

unconjugated

antibody form

affinity isolated antibody

antibody product type

primary antibodies

clone

polyclonal

purified by

affinity chromatography

species reactivity

human

technique(s)

immunohistochemistry: suitable (paraffin)

NCBI accession no.

UniProt accession no.

shipped in

wet ice

target post-translational modification

unmodified

Quality Level

Gene Information

human ... ARMS2(387715)

Looking for similar products? Visit Product Comparison Guide

General description

15 kDa calculated
Age-related maculopathy susceptibility protein 2 (ARMS2) is highly expressed in the human placenta and retina. The biological function of ARMS2 has not been fully characterized. However, previous studies have linked mutations in the ARMS2 and HtrA1 genes, located on chromosome 10q26, to the occurrence of age-related macular degeneration type 8, a condition of irreversible vision loss in the elderly.

Immunogen

GST-tagged recombinant protein corresponding to human ARMS2.

Application

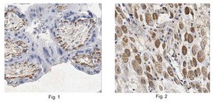
Immunohistochemistry Analysis: A 1:500 dilution from a representative lot detected ARMS2 in human placenta tissue.
Research Category
Neuroscience
Research Sub Category
Developmental Signaling
This Anti-ARMS2 Antibody is validated for use in Immunohistochemistry (Paraffin) for the detection of ARMS2.

Physical form

Affinity purified
Purified rabbit polyclonal in buffer containing 0.1 M Tris-Glycine (pH 7.4), 150 mM NaCl with 0.05% sodium azide.

Preparation Note

Stable for 1 year at 2-8°C from date of receipt.

Analysis Note

Evaluated by Immunohistochemistry in human retina tissue.

Immunohistochemistry Analysis: A 1:2,000 dilution of this antibody detected ARMS2 in human retina tissue.

Other Notes

Concentration: Please refer to lot specific datasheet.

Disclaimer

Unless otherwise stated in our catalog or other company documentation accompanying the product(s), our products are intended for research use only and are not to be used for any other purpose, which includes but is not limited to, unauthorized commercial uses, in vitro diagnostic uses, ex vivo or in vivo therapeutic uses or any type of consumption or application to humans or animals.

Not finding the right product?  

Try our Product Selector Tool.

Storage Class

12 - Non Combustible Liquids

wgk

WGK 1

flash_point_f

Not applicable

flash_point_c

Not applicable


Certificates of Analysis (COA)

Search for Certificates of Analysis (COA) by entering the products Lot/Batch Number. Lot and Batch Numbers can be found on a product’s label following the words ‘Lot’ or ‘Batch’.

Already Own This Product?

Find documentation for the products that you have recently purchased in the Document Library.

Visit the Document Library

Our team of scientists has experience in all areas of research including Life Science, Material Science, Chemical Synthesis, Chromatography, Analytical and many others.

Contact Technical Service