Sign In to View Organizational & Contract Pricing.
Select a Size
About This Item
UNSPSC Code:
12352203
NACRES:
NA.41
eCl@ss:
32160702
Conjugate:
unconjugated
Clone:
polyclonal
Application:
ChIP, IHC, WB
Citations:
1
biological source
rabbit
conjugate
unconjugated
antibody form
serum
antibody product type
primary antibodies
clone
polyclonal
species reactivity
mouse
technique(s)
ChIP: suitable, immunohistochemistry: suitable, western blot: suitable
NCBI accession no.
UniProt accession no.
shipped in
dry ice
target post-translational modification
unmodified
Quality Level
Gene Information
mouse ... Jarid2(16468)
General description
Protein Jumonji (Jarid2), also known as Jumonji/ARID domain-containing protein 2, and encoded by the gene name Jarid2 is a member of the JARID2 family. Jarid 2 is a regulator of histone methyltransferase complexes, and therefore plays an essential role in embryonic development, including heart and liver development, neural tube fusion process and hematopoiesis. Recent studies have shown that Jarid 2 modulates histone methyltransferase activity and promotes the recruitment of histone methyltransferase complexes to their target genes. However, Jarid 2 does not have histone demethylase activity. Jarid 2 binds DNA and mediates the recruitment of the PRC2 complex to target genes in embryonic stem cells. In embryonic stem cells, Jarid 2 associates with the PRC2 complex and inhibits trimethylation of ′Lys-27′ of histone H3 (H3K27me3) by the PRC2 complex, thereby playing a key role in differentiation of embryonic stem cells and normal development. In cardiac cells, Jarid 2 is required to repress expression of cyclin-D1 (CCND1) by activating methylation of ′Lys-9′ of histone H3 (H3K9me) by the GLP1/EHMT1 and G9a/EHMT2 histone methyltransferases. Jarid 2 has been implied to act as a transcriptional repressor of ANF via its interaction with GATA4 and NKX2-5. In addition, Jarid 2 might participate in the negative regulation of cell proliferation signaling.
~57 kDa observed from recombinant protein.
Endogenous Jarid2 protein has a calculated molecular weight of 137 kDa
Uncharacterized bands may be observed in some lysates.
Endogenous Jarid2 protein has a calculated molecular weight of 137 kDa
Uncharacterized bands may be observed in some lysates.
Immunogen
GST-tagged recombinant protein corresponding to mouse Jarid2.
Application
Anti-Jarid2 is an antibody against Jarid2 for use in WB, ChIP;IH.
Research Category
Epigenetics & Nuclear Function
Epigenetics & Nuclear Function
Research Sub Category
Chromatin Biology
Chromatin Biology
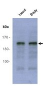
Western Blotting Analysis: A representative lot of this antibody detected Jarid2 in mouse embryo extracts at E12.5.
Immunoprecipitation Analysis: A representative lot of this antibody immunopreciptated Jarid2 from HEK293 transfected cell lysates (Mysliwiec, M.R., et al. (2007) FEBS. 581(14):2633-2640).
Chromatin Immunoprecipitation Analysis (ChIP-chip): A representative lot of this antibody immunopreciptated Jarid2 using chromatin from E17.5 Mouse heart tissue lysate using ChIP-chip (Mysliwiec, M.R., et al. (2011) JBC. 287(2):1235-1241).
Immunohistochemistry Analysis: A representative lot of this antibody detected Jarid2 in E17.5 Mouse heart tissue sections (Mysliwiec, M.R., et al. (2011) JBC. 287(2):1235-1241).
Immunoprecipitation Analysis: A representative lot of this antibody immunopreciptated Jarid2 from HEK293 transfected cell lysates (Mysliwiec, M.R., et al. (2007) FEBS. 581(14):2633-2640).
Chromatin Immunoprecipitation Analysis (ChIP-chip): A representative lot of this antibody immunopreciptated Jarid2 using chromatin from E17.5 Mouse heart tissue lysate using ChIP-chip (Mysliwiec, M.R., et al. (2011) JBC. 287(2):1235-1241).
Immunohistochemistry Analysis: A representative lot of this antibody detected Jarid2 in E17.5 Mouse heart tissue sections (Mysliwiec, M.R., et al. (2011) JBC. 287(2):1235-1241).
Physical form
Rabbit polyclonal serum in buffer containing 0.05% sodium azide.
Unpurified
Preparation Note
Stable for 1 year at -20°C from date of receipt.
Handling Recommendations: Upon receipt and prior to removing the cap, centrifuge the vial and gently mix the solution. Aliquot into microcentrifuge tubes and store at -20°C. Avoid repeated freeze/thaw cycles, which may damage IgG and affect product performance.
Handling Recommendations: Upon receipt and prior to removing the cap, centrifuge the vial and gently mix the solution. Aliquot into microcentrifuge tubes and store at -20°C. Avoid repeated freeze/thaw cycles, which may damage IgG and affect product performance.
Analysis Note
Evaluated by Western Blotting using recombinant protein GST-Jarid2 (aa529-798).
Western Blotting Analysis: A 1:1,000 dilution of this antibody detected 0.2 µg of recombinant protein GST-Jarid2 (aa529-798).
Western Blotting Analysis: A 1:1,000 dilution of this antibody detected 0.2 µg of recombinant protein GST-Jarid2 (aa529-798).
Other Notes
Concentration: Please refer to lot specific datasheet.
Disclaimer
Unless otherwise stated in our catalog or other company documentation accompanying the product(s), our products are intended for research use only and are not to be used for any other purpose, which includes but is not limited to, unauthorized commercial uses, in vitro diagnostic uses, ex vivo or in vivo therapeutic uses or any type of consumption or application to humans or animals.
Not finding the right product?
Try our Product Selector Tool.
Storage Class
12 - Non Combustible Liquids
wgk
WGK 1
flash_point_f
Not applicable
flash_point_c
Not applicable
Certificates of Analysis (COA)
Search for Certificates of Analysis (COA) by entering the products Lot/Batch Number. Lot and Batch Numbers can be found on a product’s label following the words ‘Lot’ or ‘Batch’.
Already Own This Product?
Find documentation for the products that you have recently purchased in the Document Library.
Our team of scientists has experience in all areas of research including Life Science, Material Science, Chemical Synthesis, Chromatography, Analytical and many others.
Contact Technical Service