Skip to Content
Merck
CN

ABE198

Anti-Sirt5 Antibody

from rabbit, purified by affinity chromatography

Synonym(s):

NAD-dependent deacetylase sirtuin-5, SIR2-like protein 5

Sign In to View Organizational & Contract Pricing.

Select a Size


About This Item

UNSPSC Code:
12352203
NACRES:
NA.41
eCl@ss:
32160702
Conjugate:
unconjugated
Clone:
polyclonal
Application:
IHC, WB
Citations:
4
Technical Service
Need help? Our team of experienced scientists is here for you.
Let Us Assist
Technical Service
Need help? Our team of experienced scientists is here for you.
Let Us Assist

biological source

rabbit

conjugate

unconjugated

antibody form

affinity isolated antibody

antibody product type

primary antibodies

clone

polyclonal

purified by

affinity chromatography

species reactivity

rat, human

species reactivity (predicted by homology)

chimpanzee (based on 100% sequence homology), rhesus macaque (based on 100% sequence homology)

technique(s)

immunohistochemistry: suitable, western blot: suitable

NCBI accession no.

UniProt accession no.

shipped in

wet ice

target post-translational modification

unmodified

Quality Level

Gene Information

human ... SIRT5(23408)

General description

Sirtuin (SIRT5) is known as a nicotinamide adenine dinucleotide- dependent deacetylase that is a member of the silent information regulator 2 (Sir2) family of proteins that is important in aging, metabolism and disease. SIRT5 is expressed in a variety of tissues. Two different isoform have been described. Isoform 1 is reported to be express in the mitochondria and cytoplasm while isoform 2 appears to be localized to the mitochondria only. SIRT5 has also been linked to many primate-specific functions. SIRT5 has recently been implicated as having a role in adaptation to fasting, caloric restriction and high protein diets.
~34 kDa observed. Two isoforms at ~33 and ~34 kDa are known to exist.

Immunogen

KLH-conjugated linear peptide corresponding to human Sirt5.

Application

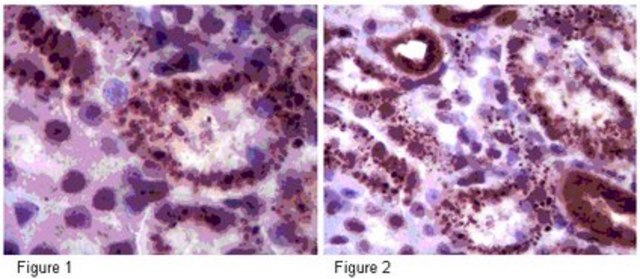
Immunohistochemistry Analysis: 1:500 dilution of a representative lot of this antibody detected Sirt5 in convoluted tubules of normal rat kidney tissue.
Use Anti-Sirt5 Antibody (Rabbit Polyclonal Antibody) validated in WB, IHC to detect Sirt5 also known as NAD-dependent deacetylase sirtuin-5, SIR2-like protein 5.

Analysis Note

Evaluated by Western Blot in HeLa cell lysate.

Western Blot Analysis: 0.5 µg/mL of this antibody detected Sirt5 on 10 µg of HeLa cell lysate.

Other Notes

Concentration: Please refer to the Certificate of Analysis for the lot-specific concentration.

Not finding the right product?  

Try our Product Selector Tool.

Storage Class

12 - Non Combustible Liquids

wgk

WGK 1

flash_point_f

Not applicable

flash_point_c

Not applicable


Certificates of Analysis (COA)

Search for Certificates of Analysis (COA) by entering the products Lot/Batch Number. Lot and Batch Numbers can be found on a product’s label following the words ‘Lot’ or ‘Batch’.

Already Own This Product?

Find documentation for the products that you have recently purchased in the Document Library.

Visit the Document Library

Profiling deacetylase activities in cell lysates with peptide arrays and SAMDI mass spectrometry.
Kuo, HY; DeLuca, TA; Miller, WM; Mrksich, M
Analytical Chemistry null
Mark T Duncan et al.
Experimental cell research, 344(1), 40-52 (2016-04-18)
Inhibition of histone deacetylases (HDACi) has emerged as a promising approach in the treatment of many types of cancer, including leukemias. Among the HDACs, Class III HDACs, also known as sirtuins (SIRTs), are unique in that their function is directly
Jarrod Flax et al.
Journal of Alzheimer's disease : JAD, 78(4), 1743-1753 (2020-12-09)
Alzheimer's disease (AD) features reductions in key bioenergetic fluxes and perturbed mitochondrial function. Cytoplasmic hybrids (cybrids) generated through the transfer of AD subject mitochondria to mtDNA-depleted SH-SY5Y neuroblastoma cells recapitulate some of these features in an in vitro setting. For
Elena Sidorova-Darmos et al.
Frontiers in aging neuroscience, 6, 333-333 (2015-01-08)
The sirtuins are NAD(+)-dependent protein deacetylases and/or ADP-ribosyltransferases that play roles in metabolic homeostasis, stress response and potentially aging. This enzyme family resides in different subcellular compartments, and acts on a number of different targets in the nucleus, cytoplasm and

Related Content

New Products: Antibodies, Assays, Small Molecules, Inhibitors, and Proteins

Our team of scientists has experience in all areas of research including Life Science, Material Science, Chemical Synthesis, Chromatography, Analytical and many others.

Contact Technical Service