Skip to Content
Merck
CN

ABC849

Anti-ZIP-1 Antibody

from rabbit, purified by affinity chromatography

Synonym(s):

Zinc transporter ZIP1, Solute carrier family 39 member 1, Zinc-iron-regulated transporter-like, Zrt- and Irt-like protein 1, ZIP-1, hZIP1

Sign In to View Organizational & Contract Pricing.

Select a Size


About This Item

UNSPSC Code:
12352203
NACRES:
NA.41
eCl@ss:
32160702
Conjugate:
unconjugated
Clone:
polyclonal
Application:
IHC, WB
Citations:
2
Technical Service
Need help? Our team of experienced scientists is here for you.
Let Us Assist
Technical Service
Need help? Our team of experienced scientists is here for you.
Let Us Assist

biological source

rabbit

conjugate

unconjugated

antibody form

affinity isolated antibody

antibody product type

primary antibodies

clone

polyclonal

purified by

affinity chromatography

species reactivity

human, mouse

technique(s)

immunohistochemistry: suitable, western blot: suitable

UniProt accession no.

shipped in

wet ice

target post-translational modification

unmodified

Quality Level

Gene Information

human ... SLC39A1(27173)

General description

Zinc transporter ZIP1, also known as Solute carrier family 39 member 1 or Zinc-iron-regulated transporter-like or Zrt- and Irt-like protein 1 (ZIP-1 or hZIP1), and encoded by the gene name SLC39A1 or IRT1 or ZIP1 or ZIRTL, is responsible to the rapis uptake and accumulation of physiologically effective zinc in prostate cells. Zinc is an essential ion for cells and plays significant roles in the growth, development, and differentiation. ZIP1 expression is markedly downregulated in a number of cancerous tissues and is thought to function as a tumor suppressor gene in prostate cancer. More recent studies have shown that overexpression of ZIP1 and concomitant increased levels of intracellular zinc in PC-3 cells cause a significant inhibition of NF-κB, leading to downregulation of the antiapoptotic protein Bcl-2, Bcl-XL, and the apoptosis inhibitor XIAP, reducing the malignant potential of prostate cancer cells in vitro and in vivo.
~40 kDa observed. Uncharacterized bands may be observed in some lysate(s).

Immunogen

Epitope: N-terminus
KLH-conjugated synthetic peptide corresponding to the N-terminus of human ZIP-1.

Application

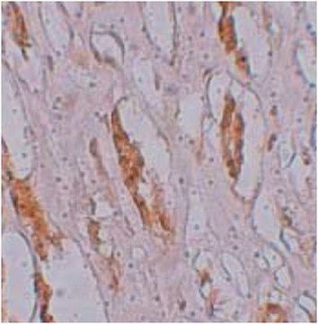
Anti-ZIP-1 Antibody detects level of ZIP-1 & has been published & validated for use in ZIP-1.
Immunohistochemistry Analysis: 2.5 μg/mL from a representative lot detected ZIP-1 in human kidney tissue.
Research Category
Apoptosis & Cancer
Research Sub Category
Apoptosis - Additional

Biochem/physiol Actions

This antibody is predicted to not cross-react with other ZIP family members.

Physical form

Antigen Affinity Purified
Purified rabbit polyclonal in buffer containing PBS with up to 0.1% sodium azide.

Preparation Note

Stable for 1 year at 2-8°C from date of receipt.

Analysis Note

Evaluated by Western Blotting in Mouse kidney tissue lysate.

Western Blotting Analysis: 2 μg/mL of this antibody detected ZIP-1 in Mouse kidney tissue lysate.

Other Notes

Concentration: Please refer to the Certificate of Analysis for the lot-specific concentration.

Disclaimer

Unless otherwise stated in our catalog or other company documentation accompanying the product(s), our products are intended for research use only and are not to be used for any other purpose, which includes but is not limited to, unauthorized commercial uses, in vitro diagnostic uses, ex vivo or in vivo therapeutic uses or any type of consumption or application to humans or animals.

Not finding the right product?  

Try our Product Selector Tool.

Storage Class

12 - Non Combustible Liquids

wgk

WGK 2

flash_point_f

Not applicable

flash_point_c

Not applicable


Certificates of Analysis (COA)

Search for Certificates of Analysis (COA) by entering the products Lot/Batch Number. Lot and Batch Numbers can be found on a product’s label following the words ‘Lot’ or ‘Batch’.

Already Own This Product?

Find documentation for the products that you have recently purchased in the Document Library.

Visit the Document Library

Xuekun Fu et al.
Advanced science (Weinheim, Baden-Wurttemberg, Germany), 5(4), 1700755-1700755 (2018-05-04)
Citrate is essential to biomineralization of the bone especially as an integral part of apatite nanocomposite. Citrate precipitate of apatite is hypothesized to be derived from mesenchymal stem/stromal cells (MSCs) upon differentiation into mature osteoblasts. Based on 13C-labeled signals identified
Hyo Min Cho et al.
Molecular cell, 73(2), 364-376 (2018-12-26)
Mitophagy, a mitochondrial quality control process for eliminating dysfunctional mitochondria, can be induced by a response of dynamin-related protein 1 (Drp1) to a reduction in mitochondrial membrane potential (MMP) and mitochondrial division. However, the coordination between MMP and mitochondrial division

Our team of scientists has experience in all areas of research including Life Science, Material Science, Chemical Synthesis, Chromatography, Analytical and many others.

Contact Technical Service