Skip to Content
Merck
CN

ABC347

Anti-Fn14 Antibody

from rabbit, purified by affinity chromatography

Synonym(s):

Fn14 Antibody, Fibroblast growth factor-inducible 14, TNFRSF12, TWEAK-R, FGF-inducible 14

Sign In to View Organizational & Contract Pricing.

Select a Size


About This Item

UNSPSC Code:
12352203
NACRES:
NA.41
eCl@ss:
32160702
Conjugate:
unconjugated
Clone:
polyclonal
Application:
IF, IHC, WB
Citations:
-
Technical Service
Need help? Our team of experienced scientists is here for you.
Let Us Assist
Technical Service
Need help? Our team of experienced scientists is here for you.
Let Us Assist

biological source

rabbit

conjugate

unconjugated

antibody form

affinity isolated antibody

antibody product type

primary antibodies

clone

polyclonal

purified by

affinity chromatography

species reactivity

human

technique(s)

immunofluorescence: suitable, immunohistochemistry: suitable, western blot: suitable

UniProt accession no.

shipped in

wet ice

target post-translational modification

unmodified

Quality Level

Gene Information

human ... TNFRSF12A(51330)

General description

Fibroblast growth factor 14 (FN14) is a member of the TNF receptor superfamily. FN14 is a receptor for TNFSF12/TWEAK and promotes angiogenesis and the proliferation of endothelial cells. Experiments have shown that FN14 binds to the TNFR-associated factors TRAF1, TRAF2, TRAF3, and TRAF5, suggesting that the signaling pathway induced by TWEAK may be mediated by one or more of these adaptor molecules. Additionally, FN14 is a weak inducer of apoptosis in some cell types and may modulate cellular adhesion to matrix proteins. FN14 is suggested to induce liver regeneration and is highly expressed in hepatocellular carcinomas. Furthermore, TWEAK induces liver progenitor cell proliferation, suggesting FN14 may play a role in hepatocyte growth control and liver neoplasia. FN14 is highly expressed in heart, placenta and kidney. Intermediate expression of FN14 has been recorded in lung, skeletal muscle and pancreas.
~34 kDa observed. Uncharacterized bands may appear in some lysate(s). Uniprot describes 2 isoforms at ~10 kDa and ~14 kDa

Immunogen

KLH-conjugated Fc-tagged protein corresponding to human Fn14.

Application

Anti-Fn14 Antibody is a highly specific rabbit polyclonal antibody, that targets Fibroblast growth factor 14 & has been tested in western blotting, IHC & Immunofluorescence.
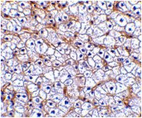
Immunohistochemistry Analysis: 2.5 µg/mL from a representative lot detected Fn14 in human liver tissue lysate.

Immunofluorescence Analysis: 20 µg/mL from a representative lot detected Fn14 in human liver tissue.
Research Category
Apoptosis & Cancer
Research Sub Category
Apoptosis - Additional

Physical form

Antigen Affinity Purified
Purified rabbit polyclonal in buffer containing PBS with up to 0.1% sodium azide.

Preparation Note

Stable for 1 year at 2-8°C from date of receipt.

Analysis Note

Control
HepG2 cell lysate
Evaluated by Western Blotting in HepG2 cell lysate.

Western Blotting Analysis: 4 µg/mL of this antibody detected Fn14 in 15 µg of HepG2 cell lysate.

Other Notes

Concentration: Please refer to the Certificate of Analysis for the lot-specific concentration.

Disclaimer

Unless otherwise stated in our catalog or other company documentation accompanying the product(s), our products are intended for research use only and are not to be used for any other purpose, which includes but is not limited to, unauthorized commercial uses, in vitro diagnostic uses, ex vivo or in vivo therapeutic uses or any type of consumption or application to humans or animals.

Not finding the right product?  

Try our Product Selector Tool.

Storage Class

10 - Combustible liquids

wgk

WGK 2

flash_point_f

Not applicable

flash_point_c

Not applicable


Certificates of Analysis (COA)

Search for Certificates of Analysis (COA) by entering the products Lot/Batch Number. Lot and Batch Numbers can be found on a product’s label following the words ‘Lot’ or ‘Batch’.

Already Own This Product?

Find documentation for the products that you have recently purchased in the Document Library.

Visit the Document Library

Our team of scientists has experience in all areas of research including Life Science, Material Science, Chemical Synthesis, Chromatography, Analytical and many others.

Contact Technical Service