Skip to Content
Merck
CN

ABC240

Anti-Mucin-16 (MUC16 Antibody)

from rabbit, purified by affinity chromatography

Synonym(s):

Mucin-16, MUC-16, Ovarian cancer-related tumor marker CA125, CA-125, Ovarian carcinoma antigen CA125

Sign In to View Organizational & Contract Pricing.

Select a Size


About This Item

UNSPSC Code:
12352203
NACRES:
NA.41
eCl@ss:
32160702
Technical Service
Need help? Our team of experienced scientists is here for you.
Let Us Assist
Technical Service
Need help? Our team of experienced scientists is here for you.
Let Us Assist

biological source

rabbit

antibody form

affinity isolated antibody

antibody product type

primary antibodies

clone

polyclonal

purified by

affinity chromatography

species reactivity

human

technique(s)

flow cytometry: suitable, immunohistochemistry: suitable

NCBI accession no.

UniProt accession no.

shipped in

wet ice

Gene Information

human ... MUC16(94025)

General description

2,350 kDa calculated
The protein Mucin-16 or MUC16 is classically one of a family of mucin proteins that provide protective and lubricating barriers against infectious agents at mucosal surfaces. Mucin-16 is a large protein as are most mucins, but MUC16 is the largest (some 22,000 amino acids long) mucin, nearly twice as long as MUC1 or MUC4. As stated, Mucin-16 is found secreted on membranes such as the ocular membranes, and because it is highly glycosylated it acts as a hydrophilic lubricating membrane barrier against foreign particles and infectious agents. MUC16 protein also binds Mesothelin, or MSLN that is over expressed on many cancer cells including mesothelioma and ovarian and pancreatic adenocarcinoma cancers. Mesothelin is a cell surface protein thought to play some role in cell adhesion. Mucin-16 is also known as CA125, a biomarker used for ovarian cancer detection. CA125 levels are elevated in the blood of most women with ovarian cancer, yet the use of the marker for detection and evaluation is controversial today.

Immunogen

GST-tagged recombinant protein corresponding to the extracellular domain of human Mucin-16 (MUC16).

Application

Flow Cytometry Analysis: 0.5 µg of this antibody from a representative lot detected Mucin-16 (MUC16) in 1x10E6 Ovcar3 cells.
This Anti-Mucin-16 (MUC16 Antibody) is validated for use in Immunohistochemistry and Flow Cytometry for the detection of Mucin-16 (MUC16).

Analysis Note

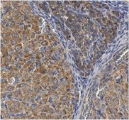
Evaluated by Immunohistochemistry in human ovarian cancer tissue.

Immunohistochemistry Analysis: A 1:50 dilution of this antibody detected Mucin-16 (MUC16) in human ovarian cancer tissue.

Other Notes

Concentration: Please refer to lot specific datasheet.

Not finding the right product?  

Try our Product Selector Tool.

Storage Class

10-13 - German Storage Class 10 to 13

Regulatory Information

新产品
This item has

Certificates of Analysis (COA)

Search for Certificates of Analysis (COA) by entering the products Lot/Batch Number. Lot and Batch Numbers can be found on a product’s label following the words ‘Lot’ or ‘Batch’.

Already Own This Product?

Find documentation for the products that you have recently purchased in the Document Library.

Visit the Document Library

Nisha Pillay et al.
Cancer cell, 35(3), 519-533 (2019-03-20)
Inhibitors of poly(ADP-ribose) polymerase (PARP) have demonstrated efficacy in women with BRCA-mutant ovarian cancer. However, only 15%-20% of ovarian cancers harbor BRCA mutations, therefore additional therapies are required. Here, we show that a subset of ovarian cancer cell lines and
Louisa Nelson et al.
Nature communications, 11(1), 822-822 (2020-02-15)
High-grade serous ovarian carcinoma is characterised by TP53 mutation and extensive chromosome instability (CIN). Because our understanding of CIN mechanisms is based largely on analysing established cell lines, we developed a workflow for generating ex vivo cultures from patient biopsies

Our team of scientists has experience in all areas of research including Life Science, Material Science, Chemical Synthesis, Chromatography, Analytical and many others.

Contact Technical Service