Skip to Content
Merck
CN

ABC1454M

Anti-Sodium-Iodide Symporter Antibody, C-terminal 2

from rabbit

Synonym(s):

Sodium/iodide cotransporter, Na(+)/I(-) cotransporter, Na(+)/I(-) symporter

Sign In to View Organizational & Contract Pricing.

Select a Size


About This Item

UNSPSC Code:
12352203
NACRES:
NA.41
eCl@ss:
32160702
Conjugate:
unconjugated
Clone:
polyclonal
Application:
FACS, IHC, IP, WB
Citations:
-
Technical Service
Need help? Our team of experienced scientists is here for you.
Let Us Assist
Technical Service
Need help? Our team of experienced scientists is here for you.
Let Us Assist

biological source

rabbit

conjugate

unconjugated

antibody form

affinity isolated antibody

antibody product type

primary antibodies

clone

polyclonal

species reactivity

human

technique(s)

flow cytometry: suitable, immunohistochemistry: suitable (paraffin), immunoprecipitation (IP): suitable, western blot: suitable

isotype

IgG

NCBI accession no.

UniProt accession no.

target post-translational modification

unmodified

Quality Level

Gene Information

human ... SLC5A5(6528)

Related Categories

General description

68.66 kDa calculated.
Sodium/iodide cotransporter (UniProt: Q92911; also known as Na(+)/I(-) cotransporter, Sodium-iodide symporter, Na(+)/I(-) symporter) is encoded by the SLC5A5 (also known as NIS) gene (Gene ID: 6528) in human. Sodium/iodide cotransporter is a multi-pass membrane protein that mediates iodide uptake in thyroid gland. It is expressed primarily in thyroid tissue, but is present in lower levels in mammary gland and ovary. It expression is significantly reduced in tumors. The presence of symporter in mammary glands leads to secretion of iodine in milk that is required for thyroid function in neonatal animals. NIS gene and protein expression is stimulated by thyroid-stimulating hormone. Both human and rat NIS contain N-glycosylation sites, however, glycosylation is not required for its full activity. Abnormalities in the expression of NIS gene lead to thyroid disease and can result in congenital hypothyroidism. Autoantibodies to NIS adversely affect iodide transport.

Immunogen

Epitope: C-terminus
KLH-conjugated linear peptide corresponding to 13 amino acids from the C-terminal region of human Sodium-iodide symporter.

Application

Anti-Sodium-Iodide Symporter, C-terminal 2, Cat. No. ABC1454, is a rabbit polyclonal antibody that detects Sodium/iodide cotransporter and has been tested for use in Flow Cytometry, Immunohistochemistry (Paraffin), Immunoprecipitation, and Western Blotting.
Immunohistochemistry Analysis: A 1:50-250 dilution from a representative lot detected Sodium-Iodide Symporter in human thyroid and human salivary gland tissue sections.

Immunocytochemistry Analysis: A representative lot detected Sodium-Iodide Symporter in COS-7 cells transfected with wild-type human NIS and in COS-7 cells transfected with mutant Q267E human NIS (De la Vieja, A., et. al. (2005). Mol Endocrinol. 19(11):2847-58; De la Vieja, A., et. al. (2004). J Cell Sci. 117(Pt 5):677-87).

Immunohistochemistry Analysis: A representative lot detected Sodium-Iodide Symporter in Immunohistochemistry application (De la Vieja, A., et. al. (2004). J Cell Sci. 117(Pt 5):677-87; Wapnir, I.L., et. al. (2004). Clin Cancer Res. 10(13):4294-302; Wapnir, I.L., et. al. (2003). J Clin Endocrinol Metab. 88(4):1880-8).

Immunoprecipitation Analysis: A representative lot detected Sodium-Iodide Symporter in Biotinylated NIS constructs expressed in COS-7 cells (De la Vieja, A., et. al. (2004). J Cell Sci. 117(Pt 5):677-87).

Flow Cytometry Analysis: A representative lot detected Sodium-Iodide Symporter in COS-7 cells transfected with WT and mutant Q267E NIS (De la Vieja, A., et. al. (2004). J Cell Sci. 117(Pt 5):677-87).

Western Blotting Analysis: A 1:10,000 dilution from a representative lot detected Sodium-Iodide Symporter in COS-7 cells transfected with hNIS (Courtesy of Dr Nancy Carrasco & Dr. Andrea Reyna-Neyra at Yale University).

Western Blotting Analysis: A representative lot detected Sodium-Iodide Symporter in COS-7 cells transfected with NIS and COS-7 cells transfected with WT and mutant Q267E NIS (De la Vieja, A., et. al. (2005). Mol Endocrinol. 19(11):2847-58; De la Vieja, A., et. al. (2004). J Cell Sci. 117(Pt 5):677-87).

Immunohistochemistry Analysis: A representative lot detected Sodium-Iodide Symporter in IHC-P human salivary gland and breast tissues (Tazebay, U.H., et. al. (2000). Nat Med. 6(8):871-8).
Research Category
Apoptosis & Cancer

Biochem/physiol Actions

This rabbit polyclonal antibody detects Sodium-iodide symporter in human. It targets an epitope within 13 amino acids from the C-terminal end. For Western blotting application, please do not boil the sample to avoid any aggregation. When transfering protein to nitrocellulose membrane use of 0.05% (w/v) lithium dodecyl sufate is highly recommended in the transfer buffer.

Physical form

Affinity Purified
Format: Purified
Purified rabbit polyclonal antibody in buffer containing 76 mM Tris, 192 mM glycine, pH 7.4 with 0.05% sodium azide.


Preparation Note

Stable for 1 year at 2-8°C from date of receipt.

Analysis Note

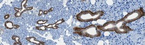
Evaluated by Immunohistochemistry in human stomach tissue sections.

Immunohistochemistry Analysis: A 1:50 dilution of this antibody detected Sodium-Iodide Symporter in human stomach tissue sections.

Other Notes

Concentration: Please refer to lot specific datasheet.

Disclaimer

Unless otherwise stated in our catalog or other company documentation accompanying the product(s), our products are intended for research use only and are not to be used for any other purpose, which includes but is not limited to, unauthorized commercial uses, in vitro diagnostic uses, ex vivo or in vivo therapeutic uses or any type of consumption or application to humans or animals.

Not finding the right product?  

Try our Product Selector Tool.

Storage Class

12 - Non Combustible Liquids

wgk

WGK 1

flash_point_f

Not applicable

flash_point_c

Not applicable


Certificates of Analysis (COA)

Search for Certificates of Analysis (COA) by entering the products Lot/Batch Number. Lot and Batch Numbers can be found on a product’s label following the words ‘Lot’ or ‘Batch’.

Already Own This Product?

Find documentation for the products that you have recently purchased in the Document Library.

Visit the Document Library

Our team of scientists has experience in all areas of research including Life Science, Material Science, Chemical Synthesis, Chromatography, Analytical and many others.

Contact Technical Service