Skip to Content
Merck
CN

AB5688

Anti-NeuroD 2 Antibody

Chemicon®, from rabbit

Synonym(s):

NDRF, NeuroD-related Factor, Neurogenic Differentiation Factor 2, Ndr2, Brain bHLH Protein KW8

Sign In to View Organizational & Contract Pricing.

Select a Size


About This Item

UNSPSC Code:
12352203
NACRES:
NA.41
eCl@ss:
32160702
Conjugate:
unconjugated
Clone:
polyclonal
Application:
IP, WB
Citations:
-
Technical Service
Need help? Our team of experienced scientists is here for you.
Let Us Assist
Technical Service
Need help? Our team of experienced scientists is here for you.
Let Us Assist

biological source

rabbit

conjugate

unconjugated

antibody product type

primary antibodies

clone

polyclonal

purified by

affinity chromatography

species reactivity

human,

manufacturer/tradename

Chemicon®

technique(s)

immunoprecipitation (IP): suitable, western blot: suitable

NCBI accession no.

UniProt accession no.

shipped in

dry ice

target post-translational modification

unmodified

Quality Level

Gene Information

human ... NEUROD2(4761)

General description

41 kDa
Neurogenic differentiation 2, also known as NEUROD2, is a human gene. This gene encodes a member of the neuroD family of neurogenic basic helix-loop-helix (bHLH) proteins. Expression of this gene can induce transcription from neuron-specific promoters, such as the GAP-43 promoter, which contain a specific DNA sequence known as an E-box. The product of the human gene can induce neurogenic differentiation in non-neuronal cells in Xenopus embryos, and is thought to play a role in the determination and maintenance of neuronal cell fates. Diseases associated with NEUROD2 are motor deficits, ataxia, and seizures. NEUROD2 expression is observed mainly in endovascular invasive cells.

Immunogen

NEUROD2 (AAH22481.1, 1 a.a. ~ 382 a.a) full-length human protein.

Application

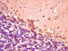
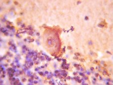
Anti-NeuroD 2 Antibody detects level of NeuroD 2 & has been published & validated for use in WB and IP.
Immunohistochemistry: 1:200-1:1,000.
Immunocytochemistry: 1:500 on PC12 cells
Western blot: 1:200-1:1,000 using ECL.

Optimal working dilutions must be determined by the end user.
Research Category
Neuroscience
Research Sub Category
Developmental Neuroscience

Neuronal & Glial Markers

Biochem/physiol Actions

Recognizes NeuroD 2 (NRDL, KW80), a Helix-loop-helix class of transcription factor.

Physical form

Solution in phosphate buffered saline, pH 7.4

Preparation Note

Maintain unopened vial at -20°C. Avoid repeated freeze/thawcycles. Shipped in dry ice.

The antibody must be "rehydrated"prior to use:


To rehydrate/reconstitute the antibody, centrifuge the antibody vial at moderate speed (5,000 rpm) for 5 minutes to pellet the precipitated antibody product. Carefully remove the ammonium sulfate/PBS buffer solution and discard. It is not necessary to remove all of the ammonium


sulfate/PBS solution: 10 mL of residual ammonium sulfate solution will not effect the resuspension of the antibody. Do not let the protein pellet dry, as severe loss of antibody reactivity can occur.

Resuspend the antibody pellet in any suitable biological buffer, standard PBS or TBS (pH 7.3-7.5) are typical. Volumes required are not critical but it is suggested that the final antibody concentration be between 0.1 mg/mL and 1.0 mg/mL. For example, to achieve a 1 mg/mL concentration with 50 mg of precipitated antibody, the amount of buffer needed would be 50 mL.

Carefully add the liquid buffer to the pellet. DO NOT VORTEX. Mix by gentle stirring with a wide pipet tip or gentle finger-tapping. Let the precipitated antibody rehydrate for 1 hour at 4-25C° prior to use. Small particles of precipitated antibody that fail to resuspend are normal. Vials are overfilled to compensate for any losses.

The rehydrated antibody can be stored at:


2-8°C The rehydrated antibody solutions can be stored undiluted at 2-8C° for 2 months without any significant loss of activity. Note, the solution is not sterile, thus care should be taken if product is stored at 2-8C°.

-20°C For storage at -20°C, the addition of an equal volume of glycerol can be used, however, it is recommended that ACS grade or higher glycerol be used, as significant loss of activity can occur if the glycerol used is not of high quality.

-70°C For freezing, it is recommended that the rehydrated antibody solution be further diluted 1:1 with a 2% BSA (fraction V, highest-grade available) solution made with the rehydration buffer. The resulting 1% BSA/antibody solution can be aliquoted and stored frozen at -70C° for up to 6 months. Avoid repeated freeze/thaw cycles.

Analysis Note

Control
Antibody reactive against mammalian transfected lysate.

Legal Information

CHEMICON is a registered trademark of Merck KGaA, Darmstadt, Germany

Disclaimer

Unless otherwise stated in our catalog or other company documentation accompanying the product(s), our products are intended for research use only and are not to be used for any other purpose, which includes but is not limited to, unauthorized commercial uses, in vitro diagnostic uses, ex vivo or in vivo therapeutic uses or any type of consumption or application to humans or animals.

Not finding the right product?  

Try our Product Selector Tool.

Storage Class

12 - Non Combustible Liquids

wgk

WGK 2

flash_point_f

Not applicable

flash_point_c

Not applicable


Certificates of Analysis (COA)

Search for Certificates of Analysis (COA) by entering the products Lot/Batch Number. Lot and Batch Numbers can be found on a product’s label following the words ‘Lot’ or ‘Batch’.

Already Own This Product?

Find documentation for the products that you have recently purchased in the Document Library.

Visit the Document Library

Our team of scientists has experience in all areas of research including Life Science, Material Science, Chemical Synthesis, Chromatography, Analytical and many others.

Contact Technical Service