Skip to Content
Merck
CN

AB5684

Anti-Neurogenin-3 Antibody, a.a. 80-93 of mouse Neurogenin-3.

Chemicon®, from rabbit

Synonym(s):

MATH4b

Sign In to View Organizational & Contract Pricing.

Select a Size


About This Item

UNSPSC Code:
12352203
NACRES:
NA.41
eCl@ss:
32160702
Conjugate:
unconjugated
Clone:
polyclonal
Application:
IHC
Citations:
10
Technical Service
Need help? Our team of experienced scientists is here for you.
Let Us Assist
Technical Service
Need help? Our team of experienced scientists is here for you.
Let Us Assist

biological source

rabbit

conjugate

unconjugated

antibody form

affinity purified immunoglobulin

antibody product type

primary antibodies

clone

polyclonal

purified by

affinity chromatography

species reactivity

human, rat, mouse

manufacturer/tradename

Chemicon®

technique(s)

immunohistochemistry: suitable

isotype

IgG

NCBI accession no.

UniProt accession no.

shipped in

dry ice

target post-translational modification

unmodified

Quality Level

Gene Information

human ... NEUROG3(50674)

General description

Neurogenins are a family of bHLH transcription factors involved in specifying neuronal differentiation. They are related to Drosophila atonal. The neurogenins (ngns) make up one of these atonal-related gene families. In neural crest cells, the atonal-related neurogenin family is particularly important for the sensory lineage (Neurogenins Are Essential for the Formation of dorsal root ganglia), while the achaete-scute homologue ash1 (Mash1) is important for aspects of autonomic neurogenesis (Mash1 Is Essential for Noradrenergic Differentiation). Neurogenin-3 promotes pancreatic development.
~ 23 kDa

Immunogen

Epitope: a.a. 80-93 of mouse Neurogenin 3.
Synthetic peptide, amino acids 80-93 of mouse Neurogenin 3.

Application

Anti-Neurogenin-3 Antibody, a.a. 80-93 of mouse Neurogenin-3. detects level of Neurogenin-3 & has been published & validated for use in IH.
Immunohistochemistry: 1:200-1:1,000.
Immunocytochemistry: Cat. # AB5684 detects Neurogenin-3 in PC12 cells at 1:500 dilution.
Not recommended for Western blot
Research Category
Neuroscience
Research Sub Category
Developmental Neuroscience

Neuronal & Glial Markers

Biochem/physiol Actions

Recognizes Neurogenin 3 (MATH4b), a Helix-loop-helix class of transcription factor.

Physical form

Affinity purified immunoglobulin. Precipitated antibody in a solution of 50% saturated ammonium sulfate and PBS containing no preservatives.

Preparation Note

Stable for 1 year at -20ºC from date of receipt.

Analysis Note

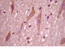
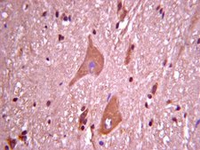
Control
Rat brain tissue.

Legal Information

CHEMICON is a registered trademark of Merck KGaA, Darmstadt, Germany

Disclaimer

Unless otherwise stated in our catalog or other company documentation accompanying the product(s), our products are intended for research use only and are not to be used for any other purpose, which includes but is not limited to, unauthorized commercial uses, in vitro diagnostic uses, ex vivo or in vivo therapeutic uses or any type of consumption or application to humans or animals.

Not finding the right product?  

Try our Product Selector Tool.

Storage Class

12 - Non Combustible Liquids

wgk

WGK 2

flash_point_f

Not applicable

flash_point_c

Not applicable


Certificates of Analysis (COA)

Search for Certificates of Analysis (COA) by entering the products Lot/Batch Number. Lot and Batch Numbers can be found on a product’s label following the words ‘Lot’ or ‘Batch’.

Already Own This Product?

Find documentation for the products that you have recently purchased in the Document Library.

Visit the Document Library

Guido Carpino et al.
Stem cells (Dayton, Ohio), 34(5), 1332-1342 (2016-02-07)
Peribiliary glands (PBGs) are niches in the biliary tree and containing heterogeneous endodermal stem/progenitors cells that can differentiate, in vitro and in vivo, toward pancreatic islets. The aim of this study was to evaluate, in experimental and human diabetes, proliferation
Tzu-Lei Kuo et al.
iScience, 26(1), 105881-105881 (2023-01-20)
ARID1A is a tumor suppressor gene mutated in 7-10% of pancreatic cancer patients. However, its function in pancreas development and endocrine regulation is unclear. We generated mice that lack Arid1a expression in the pancreas. Our results showed that deletion of
Fang-Xu Jiang et al.
Stem cells (Dayton, Ohio), 35(5), 1341-1354 (2017-01-17)
Developmental stage-specific differentiation of stem or progenitor cells into safe and functional cells is of fundamental importance in regenerative medicine, including β-cell replacement. However, the differentiation of islet progenitor cells (IPCs) into insulin-secreting β cells remains elusive. Here, we report
Guido Carpino et al.
Journal of anatomy, 228(3), 474-486 (2015-11-28)
Pancreatic duct glands (PDGs) are tubule-alveolar glands associated with the pancreatic duct system and can be considered the anatomical counterpart of peribiliary glands (PBGs) found within the biliary tree. Recently, we demonstrated that endodermal precursor niches exist fetally and postnatally
Junping Wen et al.
Journal of diabetes, 9(7), 707-716 (2016-10-30)
β-Cells at different stages have different functions and capacity for proliferation, regenerative and apoptosis. The aim of the present study was to investigate whether there are changes in β-cell phonotype in the development of diabetes to identify potential β-cell targets

Our team of scientists has experience in all areas of research including Life Science, Material Science, Chemical Synthesis, Chromatography, Analytical and many others.

Contact Technical Service