Skip to Content
Merck
CN

AB15570-I

Anti-Tryptophan hydroxylase 1/TPH1 Antibody

from rabbit, purified by affinity chromatography

Synonym(s):

Tryptophan 5-hydroxylase 1, Tryptophan 5-monooxygenase 1

Sign In to View Organizational & Contract Pricing.

Select a Size


About This Item

UNSPSC Code:
12352203
NACRES:
NA.41
eCl@ss:
32160702
Conjugate:
unconjugated
Clone:
polyclonal
Application:
IHC, WB
Citations:
1
Technical Service
Need help? Our team of experienced scientists is here for you.
Let Us Assist
Technical Service
Need help? Our team of experienced scientists is here for you.
Let Us Assist

biological source

rabbit

conjugate

unconjugated

antibody form

affinity isolated antibody

antibody product type

primary antibodies

clone

polyclonal

purified by

affinity chromatography

species reactivity

mouse

species reactivity (predicted by homology)

rat (based on 100% sequence homology)

technique(s)

immunohistochemistry: suitable (paraffin), western blot: suitable

NCBI accession no.

UniProt accession no.

shipped in

wet ice

target post-translational modification

unmodified

Quality Level

Gene Information

mouse ... Tph1(21990)
rat ... Tph1(24848)

General description

Tryptophan hydroxylase 1/TPH1, also known as Tryptophan 5-hydroxylase 1, also known as Tryptophan 5-monooxygenase 1, and encoded by the gene TPH1/TPH/TPRH/TRPH, is an important biosynthetic enzyme needed for serotonin synthesis from L-trytophan. TPH1 is responsible for the addition of the -OH grouip to 5-hydroxytryptophan which is the initial and rate limiting step in the synthesis of serotonin. Serotonin in a neurotransmitter and has an antidepressant effect on the brain. The activity of TPH1 is also modulated by phosphorylation Protein Kinase A is responsible for the phosphorylation of TPH1 and helps to modulate its activity in neurons. TPH1 is mostly expressed in tissues that express serotonin such as the brain, pineal gland, and CNS but also can be found in skin and intestinal tissues.
~51 kDa observed

Immunogen

Epitope: C-terminus
KLH-conjugated linear peptide corresponding to the C-terminus of rat Tryptophan hydroxylase 1/TPH1.

Application

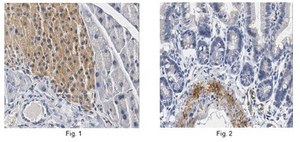
Immunohistochemistry Analysis: A 1:50-500 dilution from a representative lot detected Tryptophan hydroxylase 1/TPH1 in mouse pancreas and mouse colon tissue.
Immunohistochemistry Analysis: A 1:50 dilution from a representative lot detected Tryptophan hydroxylase 1/TPH1 in mouse cerebellum and mouse cerebral cortex tissue.
Research Category
Neuroscience
Research Sub Category
Developmental Signaling
This Anti-Tryptophan hydroxylase 1/TPH1 antibody is validated for use in western blotting & IHC (Paraffin) for the detection of Tryptophan hydroxylase 1/TPH1.

Physical form

Affinity purified
Purified rabbit polyclonal in buffer containing 0.1 M Tris-Glycine (pH 7.4), 150 mM NaCl with 0.05% sodium azide.

Preparation Note

Stable for 1 year at 2-8°C from date of receipt.

Analysis Note

Evaluated by Western Blotting in P815 cell lysate.

Western Blotting Analysis: 2.0 µg/mL of this antibody detected Tryptophan hydroxylase 1/TPH1 in 10 µg of P815 cell lysate.

Other Notes

Concentration: Please refer to the Certificate of Analysis for the lot-specific concentration.
Replaces: AB15570

Disclaimer

Unless otherwise stated in our catalog or other company documentation accompanying the product(s), our products are intended for research use only and are not to be used for any other purpose, which includes but is not limited to, unauthorized commercial uses, in vitro diagnostic uses, ex vivo or in vivo therapeutic uses or any type of consumption or application to humans or animals.

Not finding the right product?  

Try our Product Selector Tool.

Storage Class

12 - Non Combustible Liquids

wgk

WGK 1

flash_point_f

Not applicable

flash_point_c

Not applicable


Certificates of Analysis (COA)

Search for Certificates of Analysis (COA) by entering the products Lot/Batch Number. Lot and Batch Numbers can be found on a product’s label following the words ‘Lot’ or ‘Batch’.

Already Own This Product?

Find documentation for the products that you have recently purchased in the Document Library.

Visit the Document Library

Ryan P Vetreno et al.
Brain, behavior, and immunity, 60, 333-345 (2016-09-21)
Serotonergic neurons of the raphe nucleus regulate sleep, mood, endocrine function, and other processes that mature during adolescence. Alcohol abuse and binge drinking are common during human adolescence. We tested the novel hypothesis that adolescent intermittent ethanol exposure would alter

Our team of scientists has experience in all areas of research including Life Science, Material Science, Chemical Synthesis, Chromatography, Analytical and many others.

Contact Technical Service