Sign In to View Organizational & Contract Pricing.
Select a Size
About This Item
UNSPSC Code:
12352203
NACRES:
NA.41
eCl@ss:
32160702
Conjugate:
unconjugated
Clone:
polyclonal
Application:
IHC, WB
Citations:
-
biological source
rabbit
conjugate
unconjugated
antibody form
serum
antibody product type
primary antibodies
clone
polyclonal
species reactivity
mouse
technique(s)
immunohistochemistry: suitable, western blot: suitable
isotype
IgG
NCBI accession no.
UniProt accession no.
shipped in
wet ice
target post-translational modification
unmodified
Quality Level
Gene Information
mouse ... Neurog3(11925)
General description
32 kDa
Neurogenins are a family of bHLH transcription factors involved in specifying neuronal differentiation. They are related to Drosophila atonal. The neurogenins (ngns) make up one of these atonal-related gene families. In neural crest cells, the atonal-related neurogenin family is particularly important for the sensory lineage (Neurogenins Are Essential for the Formation of dorsal root ganglia), while the achaete-scute homologue ash1 (Mash1) is important for aspects of autonomic neurogenesis (mash1 is essential for noradrenergic differentiation). Neurogenin-3 also promotes pancreatic development.
Immunogen
Epitope: N-terminus
GST-tagged recombinant protein corresponding to the N-terminus of mouse Neurogenin-3.
Application
Detect Neurogenin-3 (rabbit) using this Anti-Neurogenin-3 (rabbit) Antibody validated for use in WB, IH.
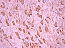
Immunohistochemistry Analysis: A 1:500 dilution from a previous lot detected Neurogenin-3 in mouse embryo E12.5+ tissue.
Research Category
Neuroscience
Neuroscience
Research Sub Category
Developmental Neuroscience
Developmental Neuroscience
Biochem/physiol Actions
This antibody recognizes Neurogenin-3 at the N-terminus.
Physical form
Unpurified
Unpurified rabbit polyclonal serum containing 0.05% sodium azide.
Preparation Note
Stable for 1 year at -20°C from date of receipt.
Handling Recommendations: Upon receipt and prior to removing the cap, centrifuge the vial and gently mix the solution. Aliquot into microcentrifuge tubes and store at -20°C. Avoid repeated freeze/thaw cycles, which may damage IgG and affect product performance.
Handling Recommendations: Upon receipt and prior to removing the cap, centrifuge the vial and gently mix the solution. Aliquot into microcentrifuge tubes and store at -20°C. Avoid repeated freeze/thaw cycles, which may damage IgG and affect product performance.
Analysis Note
Control
mNgn3 transfected and wildtype rabbit reticulocyte lysates
mNgn3 transfected and wildtype rabbit reticulocyte lysates
Evaluated by Western Blot in mNgn3 transfected and wildtype rabbit reticulocyte lysates.
Western Blot Analysis: A 1:1,000 dilution of this antibody detected Neurogenin-3 on 10 µg of mNgn3 transfected rabbit reticulocyte lysates.
Western Blot Analysis: A 1:1,000 dilution of this antibody detected Neurogenin-3 on 10 µg of mNgn3 transfected rabbit reticulocyte lysates.
Disclaimer
Unless otherwise stated in our catalog or other company documentation accompanying the product(s), our products are intended for research use only and are not to be used for any other purpose, which includes but is not limited to, unauthorized commercial uses, in vitro diagnostic uses, ex vivo or in vivo therapeutic uses or any type of consumption or application to humans or animals.
Not finding the right product?
Try our Product Selector Tool.
Storage Class
10 - Combustible liquids
wgk
WGK 1
Certificates of Analysis (COA)
Search for Certificates of Analysis (COA) by entering the products Lot/Batch Number. Lot and Batch Numbers can be found on a product’s label following the words ‘Lot’ or ‘Batch’.
Already Own This Product?
Find documentation for the products that you have recently purchased in the Document Library.
Related Content
Our team of scientists has experience in all areas of research including Life Science, Material Science, Chemical Synthesis, Chromatography, Analytical and many others.
Contact Technical Service