Skip to Content
Merck
CN

07-450-S

Anti-monomethyl-Histone H3 (Lys9) Antibody, Trial Size

Upstate®, from rabbit

Synonym(s):

H3K9me1, Histone H3 (monomethyl K9), H3 histone family, member T, Histone 3, H3, Histone cluster 3, H3

Sign In to View Organizational & Contract Pricing.

Select a Size


About This Item

UNSPSC Code:
12352203
NACRES:
NA.41
eCl@ss:
32160702
Clone:
polyclonal
Species reactivity:
mouse, chicken, human
Application:
DB, ICC, WB, inhibition assay
Citations:
-
Technical Service
Need help? Our team of experienced scientists is here for you.
Let Us Assist
Technical Service
Need help? Our team of experienced scientists is here for you.
Let Us Assist

biological source

rabbit

antibody form

purified immunoglobulin

antibody product type

primary antibodies

clone

polyclonal

species reactivity

mouse, chicken, human

manufacturer/tradename

Upstate®

technique(s)

dot blot: suitable, immunocytochemistry: suitable, inhibition assay: suitable (peptide), western blot: suitable

isotype

IgG

NCBI accession no.

UniProt accession no.

shipped in

wet ice

target post-translational modification

monomethylation (Lys9)

Quality Level

Gene Information

human ... HIST1H3F(8968)

Looking for similar products? Visit Product Comparison Guide

General description

Histone H3 is one of the five main histone proteins involved in the structure of chromatin in eukaryotic cells. Featuring a main globular domain and a long N-terminal tail, H3 is involved with the structure of the nucleosomes of the ′beads on a string′ structure. The N-terminal tail of histone H3 protrudes from the globular nucleosome core and can undergo several different types of epigenetic modifications that influence cellular processes. These modifications include the covalent attachment of methyl or acetyl groups to lysine and arginine amino acids and the phosphorylation of serine or threonine.
17 kDa

Application

Anti-monomethyl-Histone H3 (Lys9) Antibody, Trial Size is a purified rabbit polyclonal that detects Histone H3 monomethylated on lysine 9 (H3K9me1). This Ab is specificity verified by dot blot (DB), and validated in ICC, PIA, WB. The small pack size is ideal for screening applications.

Biochem/physiol Actions

Broad species cross-reactivity is expected based on sequence homology.

Physical form

Format: Purified

Analysis Note

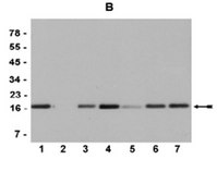
Routinely evaluated by Western Blot on acid extracted proteins from HeLa cells, but did not detect unmethylated recombinant Histone H3.

Western Blot Analysis:
0.1-0.2 μg/mL had detected monomethylated histone H3 in acid extracted proteins from HeLa cells, but did not detect unmethylated recombinant Histone H3 (Catalog # 14-411).

Other Notes

Concentration: Please refer to the Certificate of Analysis for the lot-specific concentration.

Legal Information

UPSTATE is a registered trademark of Merck KGaA, Darmstadt, Germany

Not finding the right product?  

Try our Product Selector Tool.

Storage Class

10 - Combustible liquids

wgk

WGK 1


Certificates of Analysis (COA)

Search for Certificates of Analysis (COA) by entering the products Lot/Batch Number. Lot and Batch Numbers can be found on a product’s label following the words ‘Lot’ or ‘Batch’.

Already Own This Product?

Find documentation for the products that you have recently purchased in the Document Library.

Visit the Document Library

Our team of scientists has experience in all areas of research including Life Science, Material Science, Chemical Synthesis, Chromatography, Analytical and many others.

Contact Technical Service