Skip to Content
Merck
CN

05-1117

Anti-VEGF Antibody, clone VG1

ascites fluid, clone VG1, from mouse

Synonym(s):

Vascular permeability factor, vascular endothelial growth factor, vascular endothelial growth factor A, vascular endothelial growth factor isoform VEGF165

Sign In to View Organizational & Contract Pricing.

Select a Size


About This Item

UNSPSC Code:
12352203
NACRES:
NA.41
eCl@ss:
32160702
Conjugate:
unconjugated
Clone:
VG1, monoclonal
Application:
WB
Citations:
7
Technical Service
Need help? Our team of experienced scientists is here for you.
Let Us Assist
Technical Service
Need help? Our team of experienced scientists is here for you.
Let Us Assist

biological source

mouse

conjugate

unconjugated

antibody form

ascites fluid

clone

VG1, monoclonal

species reactivity

mouse, human, rat

technique(s)

western blot: suitable

isotype

IgG1κ

NCBI accession no.

UniProt accession no.

shipped in

wet ice

target post-translational modification

unmodified

Quality Level

General description

Approx. 12-28 kDa
VEGF (Vascular endothelial growth factor, VEGFA, VEGF-A), a dimeric ligand, is among the most potent angiogenic mitogens. VEGF is secreted by tumor cells and other cells exposed to hypoxia. VEGF is a highly specific mitogen for vascular endothelial cells. Seven VEGF isoforms (a, b, c, d, e, f, g) are generated as a result of alternative splicing from a single VEGF gene. The most commonly studied isoforms are VEGF121, VEGF165, and VEGF189 (f, d and b, respectively) All seven isoforms differ in their molecular mass and in biological properties such as their ability to bind to cell-surface heparan-sulfate proteoglycans. The expression of VEGF is potentiated and is secreted by tumor cells in response to hypoxia, by activated oncogenes, and by a variety of cytokines.

Immunogen

Recombinant human VEGF 189aa isoform

Application

Detect VEGF using this Anti-VEGF Antibody, clone VG1 validated for use in WB.
Research Category
Signaling
Research Sub Category
Growth Factors & Receptors

Biochem/physiol Actions

Detects the 121, 165, and 189 amino acid isoforms of VEGF.

Physical form

Unpurified
Unpurified mouse monoclonal IgG1κ in ascites fluid containing no preservatives.

Preparation Note

Stable for 12 months at -20°C from date of receipt.
Avoid repeated freeze/thaw cycles, which may damage IgG and affect product performance.

Analysis Note

Control
NIH/3T3 cell lysate
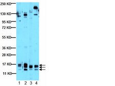
Evaluated by Western Blot in NIH/3T3 cell lysate.
Western Blot Analysis: A 1:500 dilution of this antibody detected VEGF on 10 µg of NIH/3T3 cell lysate.

Other Notes

Replaces: MAB3734

Disclaimer

Unless otherwise stated in our catalog or other company documentation accompanying the product(s), our products are intended for research use only and are not to be used for any other purpose, which includes but is not limited to, unauthorized commercial uses, in vitro diagnostic uses, ex vivo or in vivo therapeutic uses or any type of consumption or application to humans or animals.

Storage Class

10 - Combustible liquids

wgk

WGK 1

flash_point_f

Not applicable

flash_point_c

Not applicable


Certificates of Analysis (COA)

Search for Certificates of Analysis (COA) by entering the products Lot/Batch Number. Lot and Batch Numbers can be found on a product’s label following the words ‘Lot’ or ‘Batch’.

Already Own This Product?

Find documentation for the products that you have recently purchased in the Document Library.

Visit the Document Library

Fares Gouzi et al.
The European respiratory journal, 41(4), 806-814 (2012-07-14)
The impaired skeletal muscle of chronic obstructive pulmonary disease (COPD) patients reduces exercise capacity. Similar to the oxidative muscle fibres, the angio-adaptation of muscle to training may be blunted in these patients, as in other chronic conditions. We therefore compared
Emily C Dunford et al.
Journal of applied physiology (Bethesda, Md. : 1985), 122(3), 492-502 (2016-12-10)
Type-1 diabetes mellitus (T1D) causes impairments within the skeletal muscle microvasculature. Both regular exercise and prazosin have been shown to improve skeletal muscle capillarization and metabolism in healthy rats through distinct angiogenic mechanisms. The aim of this study was to
Stefan Lakemeier et al.
BMC musculoskeletal disorders, 11, 191-191 (2010-08-31)
Long head biceps (LHB) degeneration in combination with rotator cuff tears can be a source of chronic shoulder pain. LHB tenotomy is an approved surgical procedure for pain reduction and improvement of joint function, however, the pathophysiology of LHB degeneration
Lucas Giglio Colli et al.
Scientific reports, 9(1), 11047-11047 (2019-08-01)
Arterial hypertension is a cardiovascular disease that leads to important systemic alterations and drastically impairs normal organ function over time. Hypertension affects around 700 million men of reproductive age and hypertensive men present increased risk for reproductive disorders, such as
Brian Lam et al.
Cells, 10(4) (2021-04-04)
Diabetes promotes an angiostatic phenotype in the microvascular endothelium of skeletal muscle and skin. Angiogenesis-related microRNAs (angiomiRs) regulate angiogenesis through the translational repression of pro- and anti-angiogenic genes. The maturation of micro-RNA (miRs), including angiomiRs, requires the action of DROSHA

Our team of scientists has experience in all areas of research including Life Science, Material Science, Chemical Synthesis, Chromatography, Analytical and many others.

Contact Technical Service